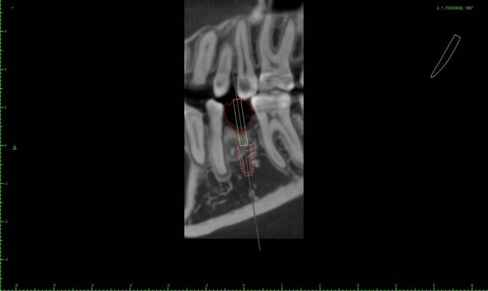
Женька Опубликовано 1 марта, 2022 Поделиться Опубликовано 1 марта, 2022 Коллеги помогайте. За качество КТ извиняйте, снимали весь череп разрешение упало у снимка. Как бы так достать его, чтобы имплантации не помешать одномоментной? Ссылка на комментарий
Irouil Опубликовано 1 марта, 2022 Поделиться Опубликовано 1 марта, 2022 Винт сместить дистальнее и чуть больше ангуляцию, примерно параллельно корням моляра соседнего судя по КТ - вестибулярно самая тонкая стенка, я бы вскрывал ее Ссылка на комментарий
Женька Опубликовано 1 марта, 2022 Автор Поделиться Опубликовано 1 марта, 2022 @Irouil тоже думал вестибулярно. Ангуляцию в сторону верхнего первого премоляра имеете ввиду? Ссылка на комментарий
Irouil Опубликовано 1 марта, 2022 Поделиться Опубликовано 1 марта, 2022 Ну да, медио-дистальную, но сохраняя выход шахты где-то в середине крестильного окна тогда в области ожидаемого дефекта кортикалки будет краешек платформы только Ссылка на комментарий
TIGER Опубликовано 3 марта, 2022 Поделиться Опубликовано 3 марта, 2022 @Женька вообще не парьтесь Ссылка на комментарий
Женька Опубликовано 3 марта, 2022 Автор Поделиться Опубликовано 3 марта, 2022 @TIGER в смысле? хотите сказать не трогать? просто преп и уйдет само? Ссылка на комментарий
TIGER Опубликовано 4 марта, 2022 Поделиться Опубликовано 4 марта, 2022 @Женька преп и после убрать 1 Ссылка на комментарий
Рекомендуемые сообщения
Для публикации сообщений создайте учётную запись или авторизуйтесь
Вы должны быть пользователем, чтобы оставить комментарий
Создать аккаунт
Зарегистрируйте новый аккаунт в нашем сообществе. Это очень просто!
Регистрация нового пользователяВойти
Уже есть аккаунт? Войти в систему.
Войти