Перейти к содержанию
Стоматология для всех

Чувствительность под короной


Sergey5263883

Рекомендуемые сообщения

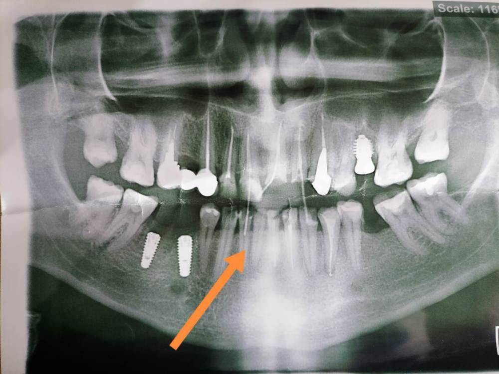
Добрый день, уважаемые доктора ответьте пожалуйста на вопрос. Врач обточил зубы под безметаловые коронки e. Max.
Два зуба депульпированных, а два живых.
И вот один из этих живых зубов, реагирует на нажатие, холод и горячее.
Сам по себе не болит.
На сколько это критично? Нужно ли удалять нерв?
Сейчас хожу с временными коронками, постоянные будут готовы к концу месяца, хотелось бы решить вопрос до установки постоянных коронок.
Врач говорит, что плохо если будет болеть самопроизвольно, ночью и т. Д. А так - нормально, потому что зуб живой. Хотелось бы услышать ваше мнение. Спасибо!

Ps. Палочка на снимке с верхнего зуба торчит :)

IMG_20220216_131357.jpg

Ссылка на комментарий

Для публикации сообщений создайте учётную запись или авторизуйтесь

Вы должны быть пользователем, чтобы оставить комментарий

Создать аккаунт

Зарегистрируйте новый аккаунт в нашем сообществе. Это очень просто!

Регистрация нового пользователя

Войти

Уже есть аккаунт? Войти в систему.

Войти
×
×
  • Создать...
Вверх