Перейти к содержанию
Стоматология для всех

Что делать с этим зубом?


dl562

Рекомендуемые сообщения

Здравствуйте, беспокоит уже несколько месяцев депульпированный зуб: ноет, воспаляется на горячее, периодически может под ночь постреливать в область глаза, а месяц назад (после того как врач в виду моих жалоб на ноющую боль перепломбировал какие-то из каналов неизвестно зачем) начала беспокоить периодическая пульсация в виске/над бровью (без боли, висок и в области тройничного нерва возле уха как бы немного сжимается/отекает или немеет), реагирует на постукивание и накусывание. Ушел от стоматолога, который его делал и обращался еще к двум, но ответ один - на снимке ничего толком не видно, будет дальше беспокоить - удаляйте и ставьте имплант. 

2076088635_Screenshot_1(2).png.e3ed9e7913eaccd73ea70a84f0fe8904.png410191951_Screenshot_2(2).png.57bbbbcee4cc8acd5d58883e9f991bed.png

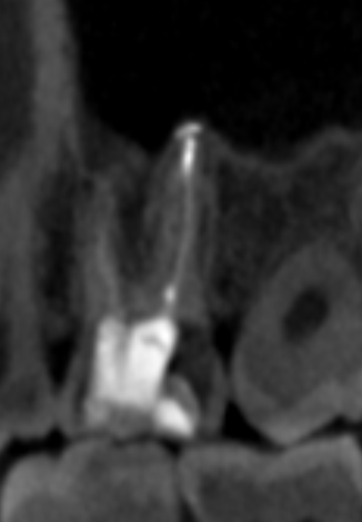
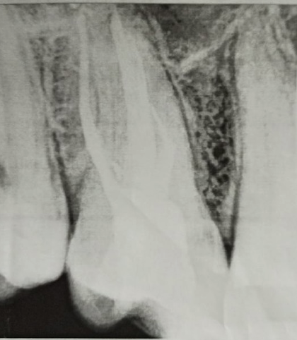
Вчера сделал КТ и стало понятно, что в двух корнях выведен материал за верхушку что аж у корней шляпки появились, а другой корень недопломбирован до конца на несколько миллиметров. Я читал что материалы выводить за апекс в принципе нельзя и это чревато, неужели пульсация над бровью и в области виска связана с этим? Он же и после удаления зуба там останется, как я понял. Где этот материал находится судя по снимкам? Не может ли он как-то влиять на тройничный нерв (не разбираюсь с этим)?

Screenshot_4.png.5e7921a698b28cc04edfe2a9ef1ab7c6.pngScreenshot_5.png.3786d148a30936dc0c8bb6475d7b25c7.pngScreenshot_6.png.cac5adb8499290207c4c9a6019795985.pngScreenshot_7.png.c63e3bf191b149a107f5b4664370a2df.png

 

Screenshot_8.png.9406738a5c81f0d9c01eef7755ea6ea2.png

Или в недопломбированном канале мог остаться нерв и давать такие симптомы?

Подскажите, пожалуйста, что тут можно сделать и насколько опасен этот выведенный материал. Вроде бы пломбировали Thermafil AH+.

 

КТ https://dropmefiles.com/Pr4po

Изменено пользователем dl562
Ссылка на комментарий

Для публикации сообщений создайте учётную запись или авторизуйтесь

Вы должны быть пользователем, чтобы оставить комментарий

Создать аккаунт

Зарегистрируйте новый аккаунт в нашем сообществе. Это очень просто!

Регистрация нового пользователя

Войти

Уже есть аккаунт? Войти в систему.

Войти
×
×
  • Создать...
Вверх