Перейти к содержанию
Стоматология для всех

Кариес или не кариес - разные мнения стоматологов


Arlington

Рекомендуемые сообщения

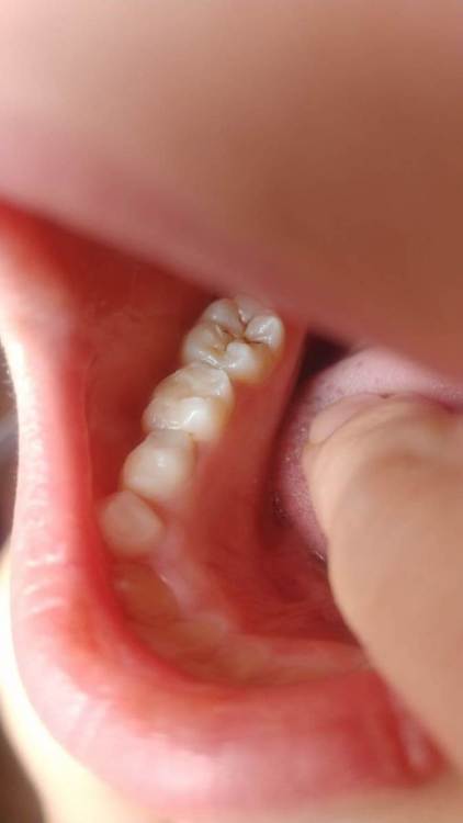
Здравствуйте!

Мальчик, 9 лет, шестерки, фото привожу.

Проконсультирувались у стоматологов, которые имеют опыт, отзывы и пр.

Один говорит, что это не кариес, а пигментация, ее лечить не надо, а надо лишь наблюдать каждые 4-5 месяцев.

Другой говорит, что это кариес, надо срочно ставить пломбу, так как пойдет дальше.

Кому верить и что делать? (на последнем фото хорошо видно).

 

photo_2022-02-08_12-14-32.thumb.jpg.2d69f3e75df7c12ada7aef4834e3f80f.jpg

1218679545_photo_2022-02-08_12-14-40(2).thumb.jpg.f52a9dde9ce10fd008466ebc4784023b.jpg

photo_2022-02-08_12-14-40.thumb.jpg.3b3fcb350e4cbf736b3fd5364b4b9b6a.jpg

photo_2022-02-09_04-31-20.thumb.jpg.b5625f469bdea72f24578e597a4d6477.jpg

 

 

 

Изменено пользователем Arlington
Ссылка на комментарий

Для публикации сообщений создайте учётную запись или авторизуйтесь

Вы должны быть пользователем, чтобы оставить комментарий

Создать аккаунт

Зарегистрируйте новый аккаунт в нашем сообществе. Это очень просто!

Регистрация нового пользователя

Войти

Уже есть аккаунт? Войти в систему.

Войти
×
×
  • Создать...
Вверх