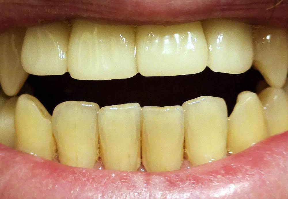
Dude Опубликовано 30 января, 2022 Поделиться Опубликовано 30 января, 2022 (изменено) Верхние резцы 12, 11, 21, 22. Поставили E-max, но что-то очень одолевают сомнения, что это оно. Нет прозрачности на краях. Можно ли как-то определить, что стоИт? К другому ортопеду сходить на приём? Изменено 30 января, 2022 пользователем Dude Ссылка на комментарий
red_butler Опубликовано 30 января, 2022 Поделиться Опубликовано 30 января, 2022 Отличить не сможете. Хорошая работа. Ссылка на комментарий
Dude Опубликовано 30 января, 2022 Автор Поделиться Опубликовано 30 января, 2022 Эх. Смириться? Да и заменить без риска повреждения имплантата уже не получится, как я понял ( Ссылка на комментарий
red_butler Опубликовано 30 января, 2022 Поделиться Опубликовано 30 января, 2022 42 минуты назад, Dude сказал: Эх. Смириться? Да и заменить без риска повреждения имплантата уже не получится, как я понял ( А что конкретно не устраивает? Ссылка на комментарий
Dude Опубликовано 30 января, 2022 Автор Поделиться Опубликовано 30 января, 2022 27 минут назад, red_butler сказал: А что конкретно не устраивает? Непохожи на настоящие - нет прозрачности на краях (из-за неё E-max и хотел). Ссылка на комментарий
Irouil Опубликовано 30 января, 2022 Поделиться Опубликовано 30 января, 2022 (изменено) Если Вы обсуждали с врачом до лечения условие прозрачности краев, то стоит поднять с ним этот вопрос Изменено 30 января, 2022 пользователем Irouil Ссылка на комментарий
Dude Опубликовано 30 января, 2022 Автор Поделиться Опубликовано 30 января, 2022 Нет, врач не спросил, и я не сказал - почему-то подумал, что они по умолчанию из E-max такие. Даже почему-то и мыслей не было, что могут делать не так, думал что делают максимально похожими на настоящие и это дополнительно оговаривать не стоит. Ну, сам виноват. Ссылка на комментарий
kramer Опубликовано 30 января, 2022 Поделиться Опубликовано 30 января, 2022 По снимку можно определить при желании. Ссылка на комментарий
Dude Опубликовано 30 января, 2022 Автор Поделиться Опубликовано 30 января, 2022 38 минут назад, kramer сказал: По снимку можно определить при желании. По какому? Ссылка на комментарий
Женька Опубликовано 30 января, 2022 Поделиться Опубликовано 30 января, 2022 @Dude по рентгенографическому Ссылка на комментарий
Dude Опубликовано 30 января, 2022 Автор Поделиться Опубликовано 30 января, 2022 Попробовать сделать и выложить сюда? Ссылка на комментарий
Pavel-Pskov Опубликовано 31 января, 2022 Поделиться Опубликовано 31 января, 2022 Попробовать сделать и выложить сюда? Цитата Попробовать сделать и выложить сюда? Да, ДЦ более рентгеноконтрастен, чем E-max/ Ссылка на комментарий
Карен Аванесов Опубликовано 31 января, 2022 Поделиться Опубликовано 31 января, 2022 Читаю тему и вспомнился анекдот: Ребе куры дохнут... Коллеги, есть еще метод для "проверки", плавиковая кислота! Ссылка на комментарий
red_butler Опубликовано 31 января, 2022 Поделиться Опубликовано 31 января, 2022 6 минут назад, Карен Аванесов сказал: Читаю тему и вспомнился анекдот: Ребе куры дохнут... Коллеги, есть еще метод для "проверки", плавиковая кислота! ага еще распилить можно ))) Ссылка на комментарий
Карен Аванесов Опубликовано 31 января, 2022 Поделиться Опубликовано 31 января, 2022 6 минут назад, red_butler сказал: ага еще распилить можно ))) Отличная идея! как и коп) 1 Ссылка на комментарий
dentikl Опубликовано 31 января, 2022 Поделиться Опубликовано 31 января, 2022 отличить,если цельнофрезерованное-2 секунды.А если каркасное-оно по красоте идентично имаксу(практически) Ссылка на комментарий
red_butler Опубликовано 15 февраля, 2022 Поделиться Опубликовано 15 февраля, 2022 Dude тему можно закрывать? Ссылка на комментарий
Рекомендуемые сообщения
Для публикации сообщений создайте учётную запись или авторизуйтесь
Вы должны быть пользователем, чтобы оставить комментарий
Создать аккаунт
Зарегистрируйте новый аккаунт в нашем сообществе. Это очень просто!
Регистрация нового пользователяВойти
Уже есть аккаунт? Войти в систему.
Войти