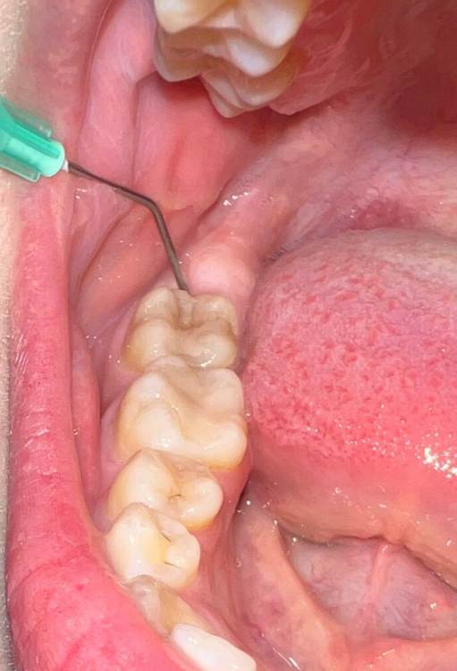
Karina21 Опубликовано 10 января, 2022 Поделиться Опубликовано 10 января, 2022 Здравствуйте, у меня такая проблема. Мне в августе удалили зуб мудрости внизу с правой стороны, восстановление было сложным и долгим из-за альвеолита, лечили его просто ежедневными промываниями у врача на протяжении 1.5 недель, потом промывала со шприца сама где-то месяц. Место не беспокоило, лишь кроме того, что десна не приросла у 7 зубу и игла шприца спокойно проходит миллиметра на 3 в глубину(вдоль красной линии, которую я нарисовала) и все бы ничего, я бы и дальше ждала ее самостоятельного заживления как вдруг несколько дней назад я начала чувствовать неприятные ощущения там, небольшая ноющая боль, не сильная, но периодами может стать чуть сильнее, то чуть слабее, сегодня утром воспалились лимфоузлы под челюстью справой стороны, что больно даже наклонить голову, ну и немного повышена температура тела. К стоматологу я уже записалась но аж на пятницу, хотела бы узнать мнение специалистов, кто с таким сталкивался, поскольку я не хочу навредить седьмому зубу Ссылка на комментарий
Irouil Опубликовано 10 января, 2022 Поделиться Опубликовано 10 января, 2022 Зачем Вы создаёте новую тему? Одной достаточно Ссылка на комментарий
Karina21 Опубликовано 10 января, 2022 Автор Поделиться Опубликовано 10 января, 2022 @Irouil здравствуйте, на старой не отвечают, я думала ее не видят из-за того, что она давно начата. И когда писала в последний раз, то не было этой ноющей боли отдающей в челюсть. Извините Ссылка на комментарий
сирена Опубликовано 10 января, 2022 Поделиться Опубликовано 10 января, 2022 Снимок нужен(рентгеновский),без снимка - гадание на кофейной гуще.Там всё,что угодно может быть: может восьмой недоудалён,а может и седьмой даёт симптоматику,или шестой. Ссылка на комментарий
Karina21 Опубликовано 10 января, 2022 Автор Поделиться Опубликовано 10 января, 2022 @сирена здравствуйте, завтра обязательно сделаю и прикреплю сюда. Но при надавливании на зубы ничего не беспокоит, больше всего концентрация боли именно в том месте, где я могу иглой от шприца залезть, но снимок сделаю. Ссылка на комментарий
Рекомендуемые сообщения
Для публикации сообщений создайте учётную запись или авторизуйтесь
Вы должны быть пользователем, чтобы оставить комментарий
Создать аккаунт
Зарегистрируйте новый аккаунт в нашем сообществе. Это очень просто!
Регистрация нового пользователяВойти
Уже есть аккаунт? Войти в систему.
Войти