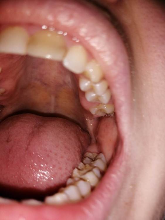
Юлия Мясоедова Опубликовано 6 января, 2022 Поделиться Опубликовано 6 января, 2022 Вскачила шишка твёрдая не болит внутри обнаружила 2 чёрных точки. Что это может быть? Спасибо за ответ Ссылка на комментарий
Рекомендуемые сообщения
Для публикации сообщений создайте учётную запись или авторизуйтесь
Вы должны быть пользователем, чтобы оставить комментарий
Создать аккаунт
Зарегистрируйте новый аккаунт в нашем сообществе. Это очень просто!
Регистрация нового пользователяВойти
Уже есть аккаунт? Войти в систему.
Войти