Перейти к содержанию
Стоматология для всех

Имеет ли смысл лечить?


LastDragon

Рекомендуемые сообщения

Добрый день.

 

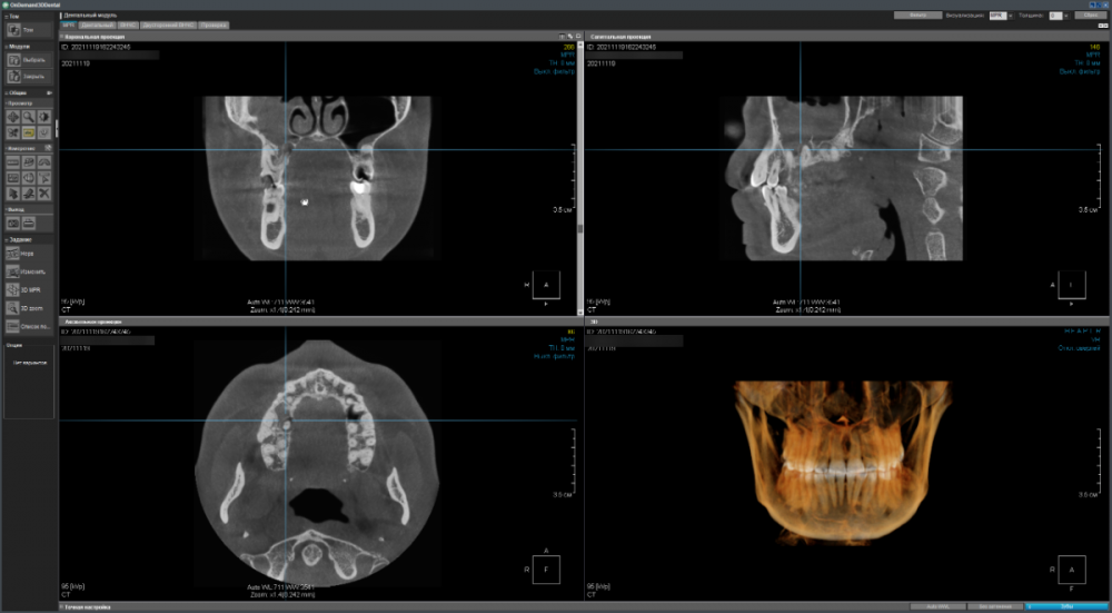
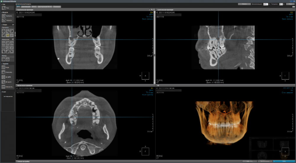
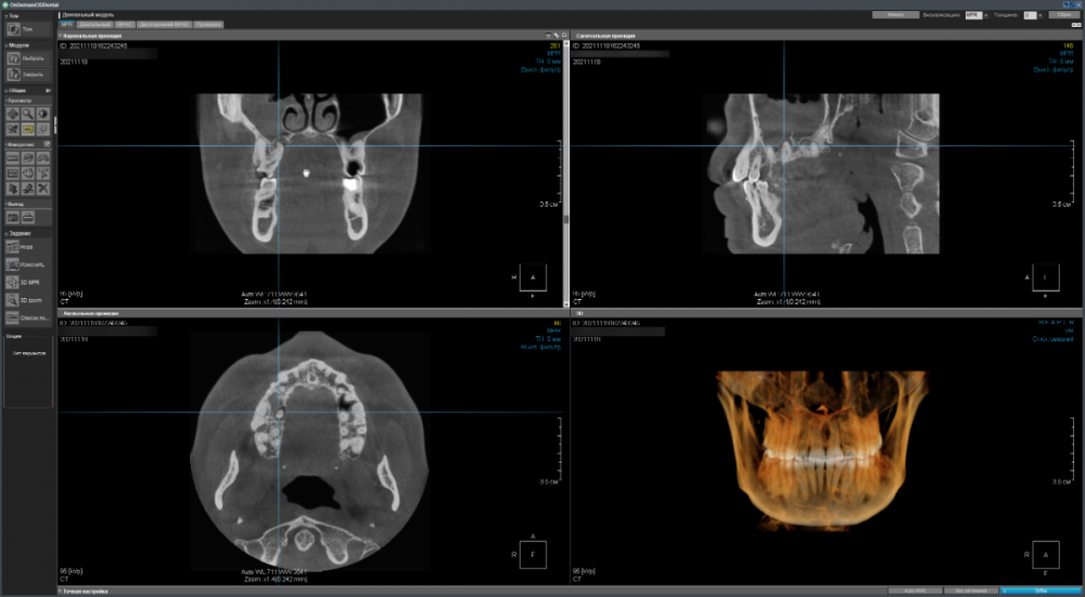
Имеется два сильно запущенных зуба на верхней челюсти справа - хотелось бы понять имеет ли смысл пытаться вылечить их терапевтически (чтобы потом поставить коронки) или уже поздно и надо/лучше удалить (и установить импланты)?

 

Больше фото: https://disk.yandex.ru/a/dXJmM3cDXfx2QA (17 шт)

КТ (файлы): https://disk.yandex.ru/d/DHUlauxr81sBtQ

КТ (диск): https://disk.yandex.ru/d/ho7zxIfP3VZgaA

 

CDViewer_2IFjwB8Na7.png

CDViewer_MseUIjLWPK.png

CDViewer_yU53R3mCpM.png

CDViewer_dCHcVlYIq2.png

Ссылка на комментарий

Для публикации сообщений создайте учётную запись или авторизуйтесь

Вы должны быть пользователем, чтобы оставить комментарий

Создать аккаунт

Зарегистрируйте новый аккаунт в нашем сообществе. Это очень просто!

Регистрация нового пользователя

Войти

Уже есть аккаунт? Войти в систему.

Войти
×
×
  • Создать...
Вверх