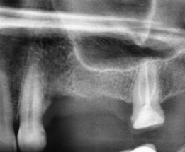
VarvaraLanina Опубликовано 3 января, 2022 Поделиться Опубликовано 3 января, 2022 Долго был разрушенный зуб - 4, не удаляла, потому что был опорой мосту и далее неизвестно как быть.. Удалили в прошлом мае, т.е. 8 месяцев прошло. Но с тех пор так и не проходят периодические ноющие боли в месте удаления и немного тянет к носу. Врач ничего не увидел "критичного". Посмотрите, пожалуйста фрагмент снимка. Спасибо. Ссылка на комментарий
It'sGeorgy Опубликовано 3 января, 2022 Поделиться Опубликовано 3 января, 2022 Добрый вечер. Немного смущает отмеченный участок. Сказать на 100% что это без КТ невозможно. 8 часов назад, VarvaraLanina сказал: далее неизвестно как быть Поставить два имплантата и восстановить жевательную функцию. Ссылка на комментарий
Irouil Опубликовано 3 января, 2022 Поделиться Опубликовано 3 января, 2022 Сделайте КТ, по приведённому снимку явных причин описанных жалоб не видно Ссылка на комментарий
VarvaraLanina Опубликовано 4 января, 2022 Автор Поделиться Опубликовано 4 января, 2022 спасибо. буду делать кт.. это может быть киста??? там кариес на клыке, сейчас собираюсь к стоматологу чинить его.. может ли он давать такое? Ссылка на комментарий
Рекомендуемые сообщения
Для публикации сообщений создайте учётную запись или авторизуйтесь
Вы должны быть пользователем, чтобы оставить комментарий
Создать аккаунт
Зарегистрируйте новый аккаунт в нашем сообществе. Это очень просто!
Регистрация нового пользователяВойти
Уже есть аккаунт? Войти в систему.
Войти