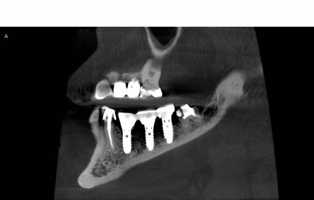
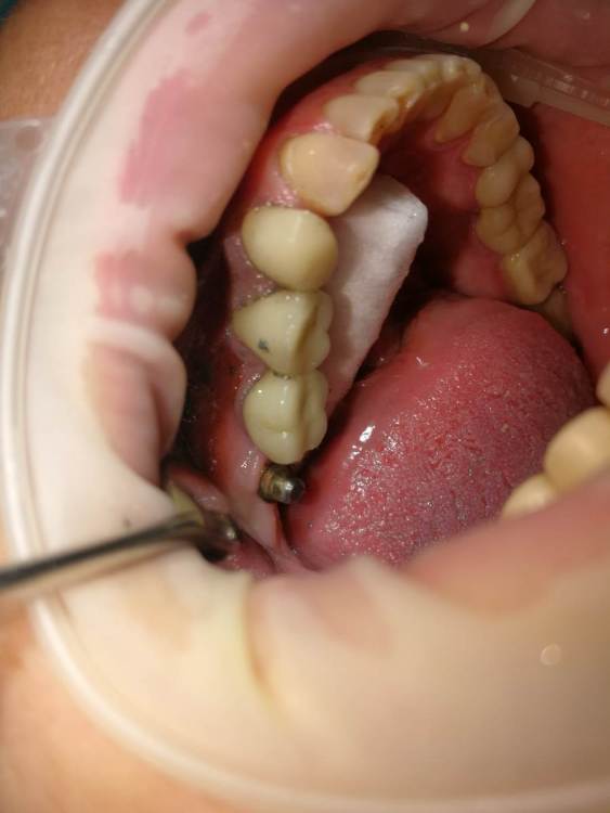
Turalyon Опубликовано 24 декабря, 2021 Поделиться Опубликовано 24 декабря, 2021 Приветствую, коллеги. У пациентки лет 10 назад установлены предположительно импланты Straumann, планируется замена коронок. Под старой коронкой вот такой мультиюнит, не знаю чем открутить. В каталоге подходящих ключей не нашел. 1) каким ключом можно попробовать открутить? диаметр около 3 мм 2)Что, если не откручивая снять оттиск с уже установленных мультиюнитов для изготовления новых коронок? Ссылка на комментарий
kramer Опубликовано 24 декабря, 2021 Поделиться Опубликовано 24 декабря, 2021 Это не мультиюнит, а монолитный абатмент. Откручивается специальным ключом. Или снимать оттиск с уровня абатмента 1 Ссылка на комментарий
DoctorT Опубликовано 27 декабря, 2021 Поделиться Опубликовано 27 декабря, 2021 Если нет спецключа, сходи в магазин инструментов, возможно, что-то и найдешь. Я таким образом подобрал отвертку, чтобы открутить винт соединения абатмент-имплантант. До сих пор лежит в надежном месте для непредвиденных ситуаций. 1 Ссылка на комментарий
Turalyon Опубликовано 2 января, 2022 Автор Поделиться Опубликовано 2 января, 2022 Спасибо за советы, связался с представителем штрауманн, ключ для подобных абатментов у них имеется. Сами абатменты в подобном исполнении сняты с производства, хотя раньше их широко применяли. Ссылка на комментарий
Рекомендуемые сообщения
Для публикации сообщений создайте учётную запись или авторизуйтесь
Вы должны быть пользователем, чтобы оставить комментарий
Создать аккаунт
Зарегистрируйте новый аккаунт в нашем сообществе. Это очень просто!
Регистрация нового пользователяВойти
Уже есть аккаунт? Войти в систему.
Войти