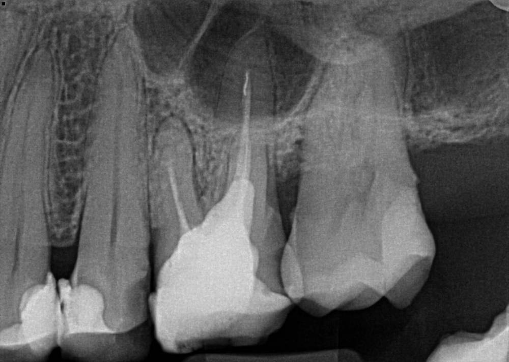
elenaterra Опубликовано 22 декабря, 2021 Поделиться Опубликовано 22 декабря, 2021 (изменено) Проживаю в США в Лос Анджелесе, перед отъездом полечила все зубы, так как знала что здесь очень дорого, да и доверяю только своему стоматологу, к которой хожу лет 20. Так вот где то год назад на нижнем моляре (крупный самый жевательный) снизу слева выпала пломба и там была дыра. Так как денег не было и была депрессия, апатия, зуб не болел и не знала куда идти, я прокрастинировала. Начал он болеть месяц назад, потом прошел, знаю что надо было сразу бежать лечить, но уже есть как есть. В общем он ныл только когда в дырке еда оставалась, я зубочисткой чистила и вроде ок опять. Позавчера поела еду, которую обычно не ем (орехи, каша какая то смесь всего). Ну и начал интенсивно болеть, боль терпимая, но уже на грани. Помогает раствор соль плюс сода. Оформила кредитку местную на лечение, но она все равно не покроет и половину лечения. В одну клинику сегодня позвонила, вроде бы хорошие отзывы, 125 баксов прием первичный посмотреть, они перенаправили к специалисту по Рут каналам из другой клиники. Я позвонила, стоимость Рут канала 1700 это без пломбы, пломбу потом в другой клинике делать. Прием посмотреть 150 долларов. Рассрочки нет никакой у них. Позвонила в другую тоже очень хорошую по отзывам, оказалась можно приехать прямо сейчас. Они сделали три снимка ( у меня ещё две пломбы выпали, но не болят пока что). По итогу несколько зубов удалять, импланты ставить, другую половину коронки и всякий кариес по мелочи. Воспаление мелкое она сказала, вроде как организм мой борется, она так сказала. Этот зуб который болит сказала удалять, я просила Рут канал, сказала очень маленькие шансы на успех и выйдет в тысячи долларов и кучу времени, зато можно вырвать за 500 и поставить имплант и будет как новый (так и сказала). Клиника одна из лучших, отзывы почти все хорошие. Также нашла кусок инструмента который якобы мой стоматолог оставила в другом зубе. Я спросила это точно кусок инструмента (так как своей доверяю и она инструменты не оставляет и после всегда делает снимок), она надо все раскрыть и посмотреть, скорее всего да, вроде как не уверена. Мой вопрос можно ли сохранить зуб или хотя бы попытаться или врач права и только вырывать? Снимок прикрепляю. Ps если можно сохранить, думаю лететь домой, так как здесь у меня вообще доверия не вызвало ничего, даже бахил у них нет, страшно было Изменено 22 декабря, 2021 пользователем elenaterra Ссылка на комментарий
Notherbrick Опубликовано 22 декабря, 2021 Поделиться Опубликовано 22 декабря, 2021 (изменено) Не удаляйте. Судя по снимку зуб более чем имеет шансы и право на жизнь. Изменено 22 декабря, 2021 пользователем Notherbrick 1 Ссылка на комментарий
elenaterra Опубликовано 22 декабря, 2021 Автор Поделиться Опубликовано 22 декабря, 2021 4 минуты назад, Notherbrick сказал: Не удаляйте. Судя по снимку зуб более чем имеет шансы и право на жизнь. Господи спасибо вам огромное, дай бог Вам здоровья, я так и чувствовала все там очень странно было, я теперь вообще боюсь, либо домой, либо русского врача буду искать, как же я здесь встряла.. просто моя врач в России даже за нерв билась, а тут несколько зубов удалять сразу. Конечно я сильно запустила, не буду спорить, сама виновата во всем Того врача где за 1700 почитала отзывы, там вообще после нее несколько операций было, скорее всего и инструмент она придумала, моя врач не могла оставить инструмент и зуб тот не беспокоит никак, зачем его удалять (она сказала его тоже удалить!) Ссылка на комментарий
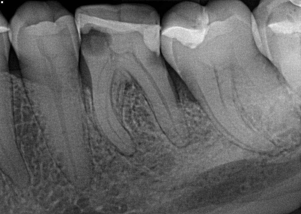
elenaterra Опубликовано 22 декабря, 2021 Автор Поделиться Опубликовано 22 декабря, 2021 Вот этот зуб где инструмент (и который тоже надо удалять она сказала), сверху белое это инструмент (якобы) Ссылка на комментарий
elenaterra Опубликовано 22 декабря, 2021 Автор Поделиться Опубликовано 22 декабря, 2021 Я пока выпила ибупрофен (они мне выписали рецепт на него и зачем, если я его просто и без рецепта в аптеке купила), антибиотики ещё выписали, не стала брать их. Ибупрофен сработал, через 15 минут, буду полоскать соль сода и думать что делать как жить дальше.. спасибо доктору большое, что сказал можно попытаться сохранить зуб, а то я была в отчаянии уже.. Ссылка на комментарий
chervoncevdaniil Опубликовано 22 декабря, 2021 Поделиться Опубликовано 22 декабря, 2021 Может быть удалять нерв,а не зуб? Ссылка на комментарий
Notherbrick Опубликовано 22 декабря, 2021 Поделиться Опубликовано 22 декабря, 2021 7 часов назад, elenaterra сказал: Вот этот зуб где инструмент (и который тоже надо удалять она сказала), сверху белое это инструмент (якобы) Здесь все сложнее. Белое ( более контрастное) действительно похоже на обломок, но наверняка покажет только вскрытие. Что то конкретное по этому зубу можно сказать только при очном осмотре, но оптимизма, увы, не внушает. Ссылка на комментарий
Pavel-Pskov Опубликовано 22 декабря, 2021 Поделиться Опубликовано 22 декабря, 2021 Цитата Не удаляйте. Судя по снимку зуб более чем имеет шансы и право на жизнь. А нечего, что там дистально кариес корня и похоже, что карман ниже середины корня? 1 2 Ссылка на комментарий
Bier Опубликовано 22 декабря, 2021 Поделиться Опубликовано 22 декабря, 2021 25 минут назад, Pavel-Pskov сказал: А нечего, что там дистально кариес корня и похоже, что карман ниже середины корня? согласен. Возможно и на удаление зуб. Ссылка на комментарий
Карен Аванесов Опубликовано 22 декабря, 2021 Поделиться Опубликовано 22 декабря, 2021 45 минут назад, Bier сказал: согласен. Возможно и на удаление зуб. Телемедицина бл 1 1 Ссылка на комментарий
Карен Аванесов Опубликовано 22 декабря, 2021 Поделиться Опубликовано 22 декабря, 2021 47 минут назад, Bier сказал: согласен. Возможно и на удаление зуб. американский дантист гуманный. в будущее смотрит, у нас как всегда американская мода придет через время. 1 Ссылка на комментарий
Карен Аванесов Опубликовано 22 декабря, 2021 Поделиться Опубликовано 22 декабря, 2021 54 минуты назад, Bier сказал: согласен. Возможно и на удаление зуб. Олег, как сюда запилить отрывок из брата2, где русианкриминалитибразер покупал машину? Думаю будет уместно, новый год на носу все же. Ссылка на комментарий
Notherbrick Опубликовано 22 декабря, 2021 Поделиться Опубликовано 22 декабря, 2021 2 часа назад, Pavel-Pskov сказал: А нечего, что там дистально кариес корня и похоже, что карман ниже середины корня? Ктож его знает. Может нечего, а может чего. Современный подход, конечно, безальтернативный. Но коллега не такой категоричный, сомневается. 2 часа назад, Bier сказал: согласен. Возможно и на удаление зуб. А что до гуманности. Мы же не советский суд. Да и шурупов не жалеем. Ссылка на комментарий
Bier Опубликовано 22 декабря, 2021 Поделиться Опубликовано 22 декабря, 2021 давайте без подобной лирики здесь. По факту нужна ревизия с удалением некротизированных тканей, оценка паростатуса и принятие решения. 1 Ссылка на комментарий
Карен Аванесов Опубликовано 22 декабря, 2021 Поделиться Опубликовано 22 декабря, 2021 1 час назад, Bier сказал: давайте без подобной лирики здесь. По факту нужна ревизия с удалением некротизированных тканей, оценка паростатуса и принятие решения. Безусловно ты прав, но когда настроение плохое, чтение пациентского раздела доставляет, я здесь крайне редко, но импровизировать люблю. Впрочем заболтался, встретимся на фейсе в инвесте. Ссылка на комментарий
elenaterra Опубликовано 22 декабря, 2021 Автор Поделиться Опубликовано 22 декабря, 2021 Спасибо вам большое! Я сейчас пытаюсь найти русскоговорящего стоматолога, здесь я так поняла есть еврейские стоматологи либо армянские, у еврейского я была, но к нему сразу не попасть, а только через врача, который меня смотрела и нужно было несколько зубов удалять. Тот где инструмент и ещё один снимок где дыра и рядом с инструментом либо удалять либо Рут канал делать В общем только что я запомнила три зуба удалять, по моему ещё какие то она говорила тоже надо удалить Ссылка на комментарий
elenaterra Опубликовано 22 декабря, 2021 Автор Поделиться Опубликовано 22 декабря, 2021 А скажите пожалуйста сколько можно пить ибупрофен по времени? Я сейчас звонила русскому стоматологу в офис, они делают Рут каналы и все в общей сложности должно выйти около 1200 за зуб и они принимают мою кредитку, единственное на завтра у них все занято и потом они уходят на каникулы до 6 января. Реально переждать на ибупрофене или его так долго нельзя пить? У меня ещё сильно просроченный Кетанов очень много его до января 2020 года Ссылка на комментарий
Карен Аванесов Опубликовано 23 декабря, 2021 Поделиться Опубликовано 23 декабря, 2021 15 часов назад, elenaterra сказал: Спасибо вам большое! Я сейчас пытаюсь найти русскоговорящего стоматолога, здесь я так поняла есть еврейские стоматологи либо армянские, у еврейского я была, но к нему сразу не попасть, а только через врача, который меня смотрела и нужно было несколько зубов удалять. Тот где инструмент и ещё один снимок где дыра и рядом с инструментом либо удалять либо Рут канал делать В общем только что я запомнила три зуба удалять, по моему ещё какие то она говорила тоже надо удалить Национальность стоматолога абсолютно не важна, еврей, армянин, аварец, киргиз, таджик, осетин и т.д., а вот ментальность российская возжно даст аналоговый подход, учитывая финансовую ограниченность указанную вами. По этому американский дантист, заглядывая вперед и с уважением относясь к вашим финансам, предложил зубы удалить и заместить на имплантаты, сразу конечный вариант. Пролечить "спасти" и восстановить зубы можно по разному, они у вас может быть во рту и останутся, но сколько они прослужат не известно, а если их сделают компромисно, то к проблеме не раз придется вернутся и ппри этом испытывать неудобства, боль, запах больных зубов и т.д. Не воспринимайте сразу в штыки, решение американца, я не думаю что кругом одни враги, а вот когда в клиниках внедрят для диагностики ИИ, вот тогда будет совсем просто с диагнозом и планом, потому что глобально ИИ будет рассматривать и финансовые возможности. Разумеется!! для России этот бездушный, цифровой подход не приемлем, как всегда все будут бухтеть как с прививками, но потом всеже будет так как и будет. Понимаю что написал лишнее, но вы от эмоций отойдите и примите трезвое решение. А ибупрофен и тем более просроченный длительно принимать нельзя, но может быть и повезет. 2 2 Ссылка на комментарий
elenaterra Опубликовано 24 декабря, 2021 Автор Поделиться Опубликовано 24 декабря, 2021 Доктор спасибо вам большое за ответ! Вы специалисты, я в этом даже не понимаю, просто я была в шоке, потому что ходила бы вообще без зубов, здесь импланты очень дорого, около 6 тысяч долларов каждый бы обошёлся плюс удаление, у меня нет таких возможностей, либо потом пол жизни отдавать долги за зубы эти. Я нашла специалиста высокой квалификации, наша русская врач стоматолог полечила мне вчера зуб, почистила каналы!! Пока что поставила Лекарство и временную пломбу. Я чувствую прекрасно, все мучения кончились. Далековато от меня (без машины я добиралась рискуя жизнью через сотни настоящих зомби, которых не увидишь и в фильмах ужасов), но это чудо я их нашла. Кабинет очень хороший (у них клиника с отдельным входом), все на высоком уровне, ассистент супер быстрая все схватывает что нужно помочь моментально как у нас (в прошлой американской даже записать нормально не могла, я была поражена). Врач сразу без маркетинга, без втюхиваний, сразу этот зуб вылечила, Человек!! Врач сказала, что без коронки даже разговаривать не будет, поэтому будем ставить коронку, я согласна с ней, с хорошей белой коронкой без металла все вместе обошлось 1900 (с маталлокерамикой 1600 было бы). Берут кредитку по здоровью (она без процентов на полгода специальная для лечения и собак), предоставили рассрочку! Конечно не дёшево, но это труд должен достойно оплачиваться и настоящие специалисты, но цены не задраны, хорошая цена для Лос Анджелеса, ведь в четыре захода все лечение будет. Спасибо большое всем кто отвечал мне в этой теме, я сейчас счастлива и чувствую супер и также теперь есть стоматолог на дальнейшую жизнь, а то даже не знаешь куда бежать в случае чего. Страховка у меня есть, но в США страховка не покрывает зубы, нужна отдельная и она все равно покрывает максимум 50 процентов. И она начинает действовать через 6-12 месяцев, грубо говоря платишь по 50 долларов год просто так и потом она начинает работать. 23.12.2021 в 03:48, Карен Аванесов сказал: Национальность стоматолога абсолютно не важна, еврей, армянин, аварец, киргиз, таджик, осетин и т.д., а вот ментальность российская возжно даст аналоговый подход, учитывая финансовую ограниченность указанную вами. По этому американский дантист, заглядывая вперед и с уважением относясь к вашим финансам, предложил зубы удалить и заместить на имплантаты, сразу конечный вариант. Пролечить "спасти" и восстановить зубы можно по разному, они у вас может быть во рту и останутся, но сколько они прослужат не известно, а если их сделают компромисно, то к проблеме не раз придется вернутся и ппри этом испытывать неудобства, боль, запах больных зубов и т.д. Не воспринимайте сразу в штыки, решение американца, я не думаю что кругом одни враги, а вот когда в клиниках внедрят для диагностики ИИ, вот тогда будет совсем просто с диагнозом и планом, потому что глобально ИИ будет рассматривать и финансовые возможности. Разумеется!! для России этот бездушный, цифровой подход не приемлем, как всегда все будут бухтеть как с прививками, но потом всеже будет так как и буд Доктор спасибо вам большое за ответ! Вы специалисты, я в этом даже не понимаю, просто я была в шоке, потому что ходила бы вообще без зубов, здесь импланты очень дорого, около 6 тысяч долларов каждый бы обошёлся плюс удаление, у меня нет таких возможностей, либо потом пол жизни отдавать долги за зубы эти. Я нашла специалиста высокой квалификации, наша русская врач стоматолог полечила мне вчера зуб, почистила каналы!! Пока что поставила Лекарство и временную пломбу. Я чувствую прекрасно, все мучения кончились. Далековато от меня, но это чудо я их нашла. Кабинет хороший, все на высоком уровне, ассистент супер быстрая все схватывает что нужно помочь моментально как у нас (,в прошлой американской даже записать нормально не могла, я была поражена). Врач сразу без маркетинга, без втюхиваний, сразу этот зуб вылечила, Человек!! Врач сказала, что без коронки даже разговаривать не будет, поэтому будем ставить коронку, я согласна с ней, с хорошей белой коронкой без металла все вместе обошлось 1900 (с маталлокерамикой 1600 было бы). Берут кредитку по здоровью (она без процентов на полгода специальная для лечения и собак), предоставили рассрочку! Конечно не дёшево, но это труд должен достойно оплачиваться и настоящие специалисты, но цены не задраны, хорошая цена для Лос Анджелеса, ведь в четыре захода все лечение будет. Спасибо большое всем кто отвечал мне в этой теме, я сейчас счастлива и чувствую супер и также теперь есть стоматолог на дальнейшую жизнь, а то даже не знаешь куда бежать в случае чего. Страховка у меня есть, но в США страховка не покрывает зубы, нужна отдельная и она все равно покрывает максимум 50 процентов. И она начинает действовать через 6-12 месяцев, грубо говоря не просто платишь по 50 долларов год просто так и потом она начинает работать. 23.12.2021 в 03:48, Карен Аванесов сказал: Национальность стоматолога абсолютно не важна, еврей, армянин, аварец, киргиз, таджик, осетин и т.д., а вот ментальность российская возжно даст аналоговый подход, учитывая финансовую ограниченность указанную вами. По этому американский дантист, заглядывая вперед и с уважением относясь к вашим финансам, предложил зубы удалить и заместить на имплантаты, сразу конечный вариант. Пролечить "спасти" и восстановить зубы можно по разному, они у вас может быть во рту и останутся, но сколько они прослужат не известно, а если их сделают компромисно, то к проблеме не раз придется вернутся и ппри этом испытывать неудобства, боль, запах больных зубов и т.д. Не воспринимайте сразу в штыки, решение американца, я не думаю что кругом одни враги, а вот когда в клиниках внедрят для диагностики ИИ, вот тогда будет совсем просто с диагнозом и планом, потому что глобально ИИ будет рассматривать и финансовые возможности. Разумеется!! для России этот бездушный, цифровой подход не приемлем, как всегда все будут бухтеть как с прививками, но потом всеже будет так как и будет. Понимаю что написал лишнее, но вы от эмоций отойдите и примите трезвое решение. А ибупрофен и тем более просроченный длительно принимать нельзя, но может быть и повезет. ет. Понимаю что написал лишнее, но вы от эмоций отойдите и примите трезвое решение. А ибупрофен и тем более просроченный длительно принимать нельзя, но может быть и повезет. 1 Ссылка на комментарий
Irouil Опубликовано 24 декабря, 2021 Поделиться Опубликовано 24 декабря, 2021 Вы только не забрасывайте эту тему, пишите ещё. 1 Ссылка на комментарий
Рекомендуемые сообщения
Для публикации сообщений создайте учётную запись или авторизуйтесь
Вы должны быть пользователем, чтобы оставить комментарий
Создать аккаунт
Зарегистрируйте новый аккаунт в нашем сообществе. Это очень просто!
Регистрация нового пользователяВойти
Уже есть аккаунт? Войти в систему.
Войти