Fin Опубликовано 15 декабря, 2021 Поделиться Опубликовано 15 декабря, 2021 Здравствуйте коллеги. Сразу же отмечу момент, что знаю что нельзя спаивать коронки на имплантах и на зубах.Но листая ленту Инстаграмма наткнулся на последнюю публикацию Иниаки Гамбореня сразу же вспомнился один мой пациент и возникла идея.. Теперь немного подробнее.Есть у меня один пациент у которого отсутствует зубы 1.4, 1.6, 1.7. Кость в Областм 1.7 и 1.4 позволяет провести имплацтю без проблем в обл 1.6 требуется сделать ОСЛ. Зуб 1.5 в с большим количеством пломб ,но витальный. Получается нужно делать ОСЛ у 1.6 и ставить 3 импл. Если бы не было зуба 1.5. поставил бы 2 импланта и сделал бы мост без ОСЛ. Так вот какая идея пришла.Может поставить 1.4 и 1.7 импл., Зуб обточить под коронку и сделать единую цементно винтовую конструкцию. 1.7-1.4. На зуб по сути не будет никакой нагрузки и не будет проблем. Как Вы считает стоит ли заморачиваться? Ссылка на комментарий
Raystom Опубликовано 15 декабря, 2021 Поделиться Опубликовано 15 декабря, 2021 Здравствуйте. Какова цель их соединять, если на нём не будет нагрузки? Тогда получится мостовидный протез 14-17. Ссылка на комментарий
Fin Опубликовано 15 декабря, 2021 Автор Поделиться Опубликовано 15 декабря, 2021 1 час назад, Raystom сказал: Здравствуйте. Какова цель их соединять, если на нём не будет нагрузки? Тогда получится мостовидный протез 14-17. Все верно.обойтись без ОСЛ и имплантации в области зуба 1.6, уходим от некоторых хирургических вмешательств+экономия. Ссылка на комментарий
Raystom Опубликовано 16 декабря, 2021 Поделиться Опубликовано 16 декабря, 2021 @Fin мне кажется что-то из этого быстро сломается Ссылка на комментарий
АнтонТЛТ Опубликовано 16 декабря, 2021 Поделиться Опубликовано 16 декабря, 2021 Обговорите с пациентом рациональность протезирования. Может будет лучше заменить 15 на имплантат? 1 Ссылка на комментарий
Fin Опубликовано 16 декабря, 2021 Автор Поделиться Опубликовано 16 декабря, 2021 1 час назад, АнтонТЛТ сказал: Обговорите с пациентом рациональность протезирования. Может будет лучше заменить 15 на имплантат? Да, так коненчо лучше))Но тут работает юнешский интузиазм? Думал проэкспериментировать Ссылка на комментарий
Raystom Опубликовано 16 декабря, 2021 Поделиться Опубликовано 16 декабря, 2021 20 минут назад, Fin сказал: Но тут работает юнешский интузиазм? Думал проэкспериментировать Когда жизнь размеренна и не хватает острых ощущений))) Ссылка на комментарий
Fin Опубликовано 16 декабря, 2021 Автор Поделиться Опубликовано 16 декабря, 2021 1 минуту назад, Raystom сказал: Когда жизнь размеренна и не хватает острых ощущений))) Это точно не про меня)))В данном случае были мысли попробовать. Ссылка на комментарий
Irouil Опубликовано 16 декабря, 2021 Поделиться Опубликовано 16 декабря, 2021 Если зуб витальный и без выраженной патологии, то как может быть его лучше заменить на имплант? Возможность избежать синуса того явно не стоит, имхо 1 Ссылка на комментарий
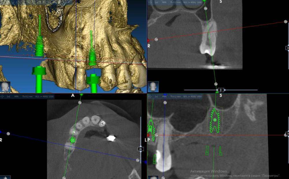
Fin Опубликовано 16 декабря, 2021 Автор Поделиться Опубликовано 16 декабря, 2021 3 часа назад, Irouil сказал: Если зуб витальный и без выраженной патологии, то как может быть его лучше заменить на имплант? Возможность избежать синуса того явно не стоит, имхо Имел ввиду что так проще, чем мудрить что то новое. Выраженных показаний нет, только небольшая атрофия. Наконец добрался до КТшки. Ссылка на комментарий
Рекомендуемые сообщения
Для публикации сообщений создайте учётную запись или авторизуйтесь
Вы должны быть пользователем, чтобы оставить комментарий
Создать аккаунт
Зарегистрируйте новый аккаунт в нашем сообществе. Это очень просто!
Регистрация нового пользователяВойти
Уже есть аккаунт? Войти в систему.
Войти