Перейти к содержанию
Стоматология для всех

Последствия депульпации, парестезия(?)


dorinapos

Рекомендуемые сообщения

Доброго времени суток, уважаемые форумчане и врачи! Хочу попросить вашего участия в теме, тк ситуация выглядит нестандартной. Дано: 5ый нижний зуб слева, рядом коронка на 6ом.

1. Изначально были боли на сладкое, врач пролечил по глубокому кариесу.

2. Неделю зуб был под пломбой, стало болеть сильнее, депульпировали зуб, положили кальций.

3. Ночью были дикие боли, утром сняли кальций и оставили зуб открытым.

4. Через неделю другой врач наложил антибиотик и противовоспалительное на неделю, зуб чувствовал себя хорошо, только была лёгкая вибрация на подбородке в районе зуба.

5. Сняли антибиотик, положили кальций на 2.5 недели, зуб спокоен, но ощущается жжение, покалывание, лёгкое онемение на подбородке в районе зуба. При надкусывании есть пульсация, боли нет.

6. Сделала КТ, врач говорит, что с зубом все ок, нижнечелюстной канал задет быть не может. Сегодня запломбировали постоянным материалом, но симптоматика по жжению, пульсации(при надкусывании) и лёгкому онемению осталась.

Подскажите, в чём может быть причина таких ощущений? Что могло быть задето при депульпации, какой нерв? Помню, что зуб сразу не брала анестезия, видимо, было воспаление. Боли с кальцием(ночью после удаления нерва) были жуткие, никакое обезболивающее не помогало.

 

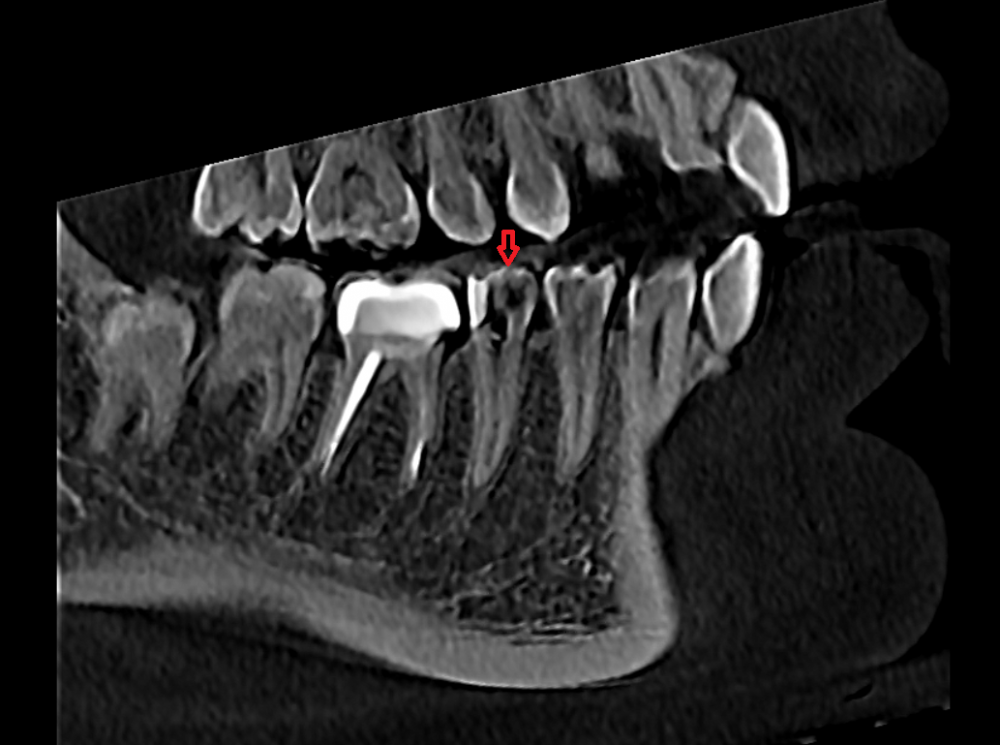
На фото - 5ый нижний зуб рядом с жевательной коронкой. Подскажите, пожалуйста, в чём может быть проблема.

Снимок экрана (150).png

Снимок экрана (151).png

zub.png

zub.png

Ссылка на комментарий

Добрый день. До магистрального нерва по кт далеко, его задеть точно не могли. Насколько хорошо запломбировали канал оценить невозможно, т.к.  не приложили снимок после лечения.

Возможно там какая то дополнительная тоненькая веточка  или же место уколов вас мучает.  Я бы рекомендовала  добавить снимок после пломбировки чтоб убедится что там все ок, и если так то просто понаблюдать пару недель динамику, скорее всего должно пройти. Если беспокоит сильно , можно применять ибупрофен или нимесил

 

Ссылка на комментарий

Для публикации сообщений создайте учётную запись или авторизуйтесь

Вы должны быть пользователем, чтобы оставить комментарий

Создать аккаунт

Зарегистрируйте новый аккаунт в нашем сообществе. Это очень просто!

Регистрация нового пользователя

Войти

Уже есть аккаунт? Войти в систему.

Войти
×
×
  • Создать...
Вверх