Карен Аванесов Опубликовано 6 декабря, 2021 Поделиться Опубликовано 6 декабря, 2021 Этот силер-шмилер даже не заметил, не перекрутил, наверно зря? Ссылка на комментарий
Fin Опубликовано 7 декабря, 2021 Поделиться Опубликовано 7 декабря, 2021 18 часов назад, Карен Аванесов сказал: Этот силер-шмилер даже не заметил, не перекрутил, наверно зря? Вы же сами знаете что проблем быть не должно ? Ссылка на комментарий
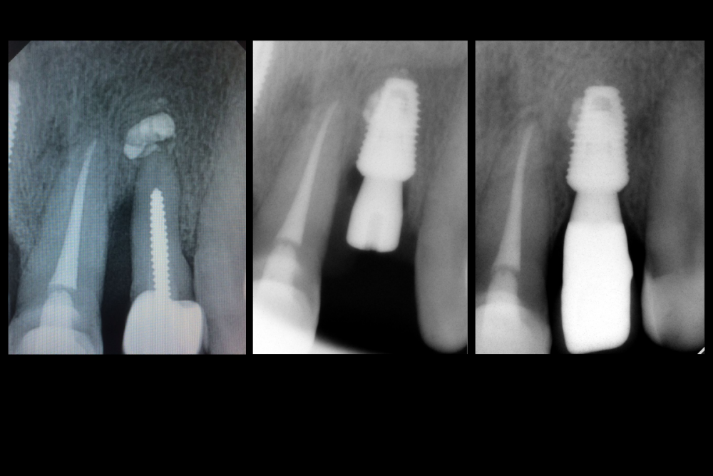
Карен Аванесов Опубликовано 7 декабря, 2021 Автор Поделиться Опубликовано 7 декабря, 2021 (изменено) 2 часа назад, Fin сказал: Вы же сами знаете что проблем быть не должно ? Старт. И гной и пузырь-волдырь и свищ, классика. Это латеральный резец слева. Изменено 7 декабря, 2021 пользователем Карен Аванесов Ссылка на комментарий
Карен Аванесов Опубликовано 7 декабря, 2021 Автор Поделиться Опубликовано 7 декабря, 2021 3 часа назад, Fin сказал: Вы же сами знаете что проблем быть не должно ? Это я давно делал, ну подумал и конечно решил что волнений это не стоит. Больше волновался за центральный резец. Ссылка на комментарий
Fin Опубликовано 7 декабря, 2021 Поделиться Опубликовано 7 декабря, 2021 2 часа назад, Карен Аванесов сказал: Старт. И гной и пузырь-волдырь и свищ, классика. Это латеральный резец слева. Классно, без графта? Формироваетль 5 мм ? Ссылка на комментарий
Карен Аванесов Опубликовано 7 декабря, 2021 Автор Поделиться Опубликовано 7 декабря, 2021 Только что, Fin сказал: Классно, без графта? Формироваетль 5 мм ? здесь без всего, графт очень редко. Ссылка на комментарий
Карен Аванесов Опубликовано 7 декабря, 2021 Автор Поделиться Опубликовано 7 декабря, 2021 Результат 2 Ссылка на комментарий
Карен Аванесов Опубликовано 7 декабря, 2021 Автор Поделиться Опубликовано 7 декабря, 2021 Не нравится мне состояние периапикальных тканей у центрального резца, жалоб у пациента нет, но что то не нравится мне. Грешу на то, что он между двумя имплантатами, но, контакты физиологичны, без сдавливания. Ссылка на комментарий
Fin Опубликовано 7 декабря, 2021 Поделиться Опубликовано 7 декабря, 2021 (изменено) 5 минут назад, Карен Аванесов сказал: Результат Имплант похож на 4,5 х 8, бкз графта т.к. когда ставили щель между импл. и вестибулярной стенкой была меньше 1мм? Изменено 7 декабря, 2021 пользователем Fin Ссылка на комментарий
Fin Опубликовано 7 декабря, 2021 Поделиться Опубликовано 7 декабря, 2021 5 минут назад, Карен Аванесов сказал: Не нравится мне состояние периапикальных тканей у центрального резца, жалоб у пациента нет, но что то не нравится мне. Грешу на то, что он между двумя имплантатами, но, контакты физиологичны, без сдавливания. На втором снимке кажется, что уже есть изменения в периодонте резца. Ссылка на комментарий
kamranchick Опубликовано 10 декабря, 2021 Поделиться Опубликовано 10 декабря, 2021 Карен приветствую, почему такой толстый имплантатик?:) Ссылка на комментарий
Irouil Опубликовано 10 декабря, 2021 Поделиться Опубликовано 10 декабря, 2021 Он не толстый, он бодипозитивныф) Ссылка на комментарий
kamranchick Опубликовано 11 декабря, 2021 Поделиться Опубликовано 11 декабря, 2021 сегодня поставил импланатат дентиум, который предназначен для внутреннего рынка в корее, на мой взгляд есть конструктинвые различия в имплантатах небольшие 1 Ссылка на комментарий
Карен Аванесов Опубликовано 22 декабря, 2021 Автор Поделиться Опубликовано 22 декабря, 2021 10.12.2021 в 20:03, kamranchick сказал: Карен приветствую, почему такой толстый имплантатик?:) Торк же?) 07.12.2021 в 22:44, Fin сказал: На втором снимке кажется, что уже есть изменения в периодонте резца. Ключевое слово "кажется", вот и думаю забить. Ссылка на комментарий
Карен Аванесов Опубликовано 22 декабря, 2021 Автор Поделиться Опубликовано 22 декабря, 2021 2 минуты назад, Карен Аванесов сказал: Торк же?) Ключевое слово "кажется", вот и думаю забить. пациен то не жалуется Ссылка на комментарий
Рекомендуемые сообщения
Для публикации сообщений создайте учётную запись или авторизуйтесь
Вы должны быть пользователем, чтобы оставить комментарий
Создать аккаунт
Зарегистрируйте новый аккаунт в нашем сообществе. Это очень просто!
Регистрация нового пользователяВойти
Уже есть аккаунт? Войти в систему.
Войти