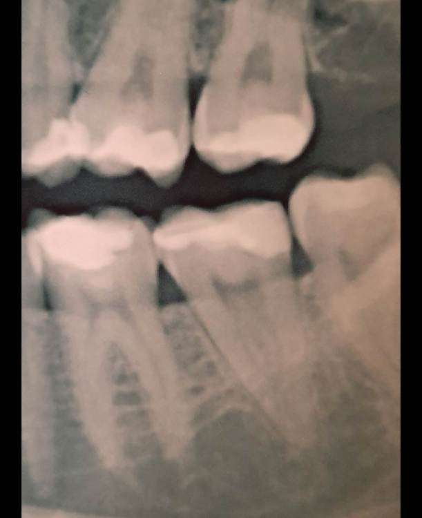
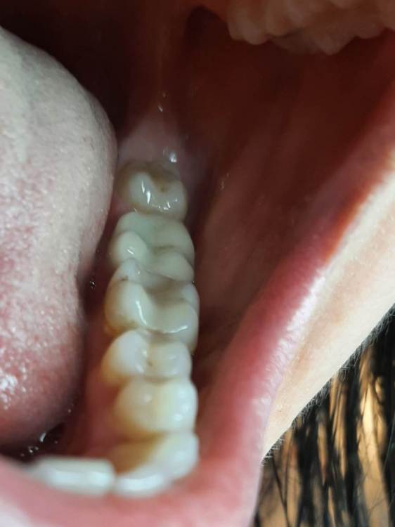
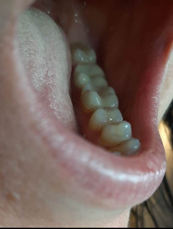
Лана-Лана Опубликовано 6 декабря, 2021 Поделиться Опубликовано 6 декабря, 2021 (изменено) Добрый день. Установили цирконевую коронку на нижнюю семёрку, при примерке я заметила что коронка низкая , но врач убедила что все впорядке типа мой зуб такой и был, самый последний бугор на контакте с восмым зубом с язычной стороны чуть ли не на уровне десны. Теперь когда жуешь и туда попадает что то твердое мясо, яблоко очень больно десну .. я сказала об этом ортопеду но она говорит что по другому не сделать, и предлагает вырвать восьмёрку и засчет этого опустится десна, но это же не выход , да и не хочу я ее удалять, раньше у меня с моим натуральным зубом таких проблем не было.... посмотрите пожалуйста снимки зуба до и фото после, действительно ли у меня был такой низкий зуб? Или это портак? На фото во рту видно что он ниже восьмёрки а край с язычной стороны ещё ниже...и если это плохо сделанно? Можно ли просить переделки ведь он ещё на гарантии? Или это проблемно снять? И что вообще в таких случаях делать если ортопед отказывает в переделке? Писать претензию? Изменено 6 декабря, 2021 пользователем Лана-Лана Ссылка на комментарий
dentikl Опубликовано 6 декабря, 2021 Поделиться Опубликовано 6 декабря, 2021 а есть рентген с коронкой во рту? Ссылка на комментарий
Лана-Лана Опубликовано 6 декабря, 2021 Автор Поделиться Опубликовано 6 декабря, 2021 Вот с коронкой снимка нет( Ссылка на комментарий
Рекомендуемые сообщения
Для публикации сообщений создайте учётную запись или авторизуйтесь
Вы должны быть пользователем, чтобы оставить комментарий
Создать аккаунт
Зарегистрируйте новый аккаунт в нашем сообществе. Это очень просто!
Регистрация нового пользователяВойти
Уже есть аккаунт? Войти в систему.
Войти