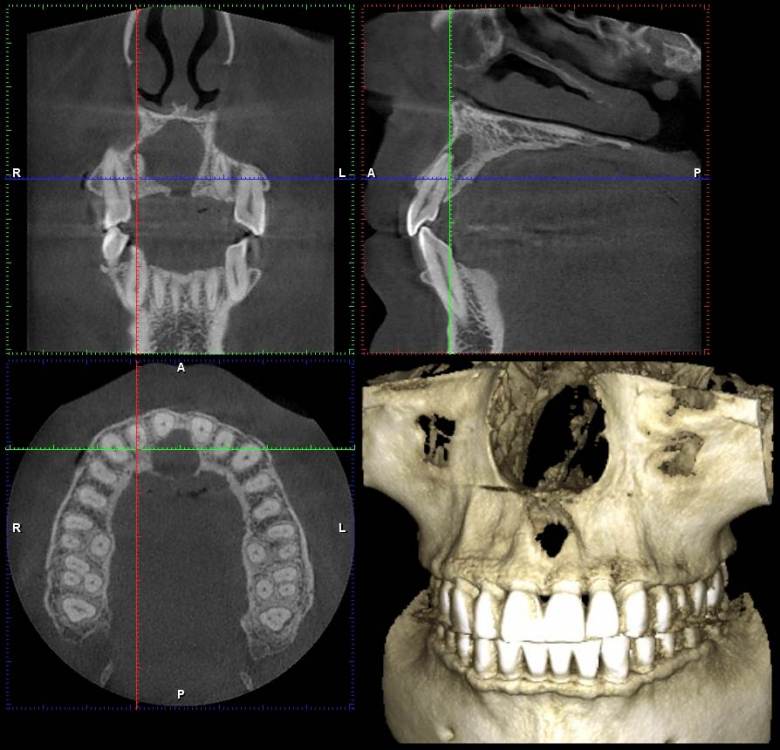
NazranDantist Опубликовано 3 декабря, 2021 Поделиться Опубликовано 3 декабря, 2021 Всем привет. Коллеги, вот такая ситуация обнаружилась на снимке. Со слов пациента, ничего не беспокоит, зубы интактные, травмы не было,холодовая проба положительная. Какую тактику лечения выбрать? Ну и в чем причина? Ссылка на комментарий
Irouil Опубликовано 3 декабря, 2021 Поделиться Опубликовано 3 декабря, 2021 Похоже на кисту резцового канала я бы пошёл на декомпрессию, потом удалил 4 3 Ссылка на комментарий
wladdX Опубликовано 3 декабря, 2021 Поделиться Опубликовано 3 декабря, 2021 Полностью поддерживаю Irouil Ссылка на комментарий
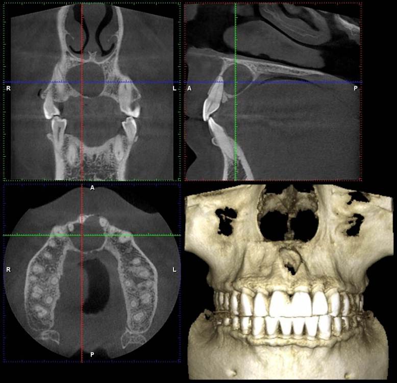
NazranDantist Опубликовано 4 декабря, 2021 Автор Поделиться Опубликовано 4 декабря, 2021 (изменено) 15 часов назад, Irouil сказал: Похоже на кисту резцового канала я бы пошёл на декомпрессию, потом удалил Спасибо. Как считаете, доступ небный делать? Или вестибулярной тоже зайти? Изменено 4 декабря, 2021 пользователем NazranDantist Ссылка на комментарий
Irouil Опубликовано 4 декабря, 2021 Поделиться Опубликовано 4 декабря, 2021 39 минут назад, NazranDantist сказал: Спасибо. Как считаете, доступ небный делать? Или вестибулярной тоже зайти? Основной у Вас будет все равно небный, а если встретите сложности с диссекцией в области вестибулярной узуры (что навряд) - добавите второй. Ссылка на комментарий
kriokov Опубликовано 5 декабря, 2021 Поделиться Опубликовано 5 декабря, 2021 04.12.2021 в 11:27, Irouil сказал: добавите второй. не стоит, потеряет стенку вестибулярно, получит сквозной дефект. Если подпаяно в обл неба будет, всегда можно остро отойти Ссылка на комментарий
Рекомендуемые сообщения
Для публикации сообщений создайте учётную запись или авторизуйтесь
Вы должны быть пользователем, чтобы оставить комментарий
Создать аккаунт
Зарегистрируйте новый аккаунт в нашем сообществе. Это очень просто!
Регистрация нового пользователяВойти
Уже есть аккаунт? Войти в систему.
Войти