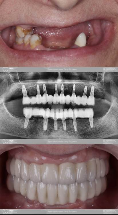
pit Опубликовано 29 ноября, 2021 Поделиться Опубликовано 29 ноября, 2021 (изменено) Планировал верх сделать из 4х сегментов, но не смог установить имплант в позицию 24 зуба- сломал гребень. Решил сделать в/ч подковой. Видео имплантации на н/челюсти здесь: https://youtu.be/T2__zlmJEm8 Изменено 29 ноября, 2021 пользователем pit 8 1 2 Ссылка на комментарий
Fin Опубликовано 30 ноября, 2021 Поделиться Опубликовано 30 ноября, 2021 (изменено) Крутая работа. Подскажите пожалуйста какой временный протез у Вас была сверху? По видео перед вестибулярной стенкой импл. 41 Вы вносили графт без каркаса и мембраны с какой целью это делали? Непонятно конечно, но вроде нет щели между вестибулярной стенкой и имплантом. Изменено 30 ноября, 2021 пользователем Fin Ссылка на комментарий
pit Опубликовано 30 ноября, 2021 Автор Поделиться Опубликовано 30 ноября, 2021 3 часа назад, Fin сказал: Крутая работа. Подскажите пожалуйста какой временный протез у Вас была сверху? По видео перед вестибулярной стенкой импл. 41 Вы вносили графт без каркаса и мембраны с какой целью это делали? Непонятно конечно, но вроде нет щели между вестибулярной стенкой и имплантом. Остался лишний, чтобы не выбрасывать. НКР была не предусмотрена Ссылка на комментарий
Карен Аванесов Опубликовано 30 ноября, 2021 Поделиться Опубликовано 30 ноября, 2021 машина! 1 Ссылка на комментарий
Большой Зеленый Опубликовано 1 декабря, 2021 Поделиться Опубликовано 1 декабря, 2021 Силён... 1 Ссылка на комментарий
Korabahtoff Опубликовано 9 декабря, 2021 Поделиться Опубликовано 9 декабря, 2021 Мастер! Надеюсь не проспать поезд и быть 11го на месте, чтоб руку пожать. Ссылка на комментарий
Рекомендуемые сообщения
Для публикации сообщений создайте учётную запись или авторизуйтесь
Вы должны быть пользователем, чтобы оставить комментарий
Создать аккаунт
Зарегистрируйте новый аккаунт в нашем сообществе. Это очень просто!
Регистрация нового пользователяВойти
Уже есть аккаунт? Войти в систему.
Войти