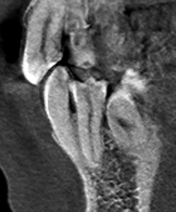
Александр9 Опубликовано 26 ноября, 2021 Поделиться Опубликовано 26 ноября, 2021 Мне предлагают удалить дистопированный 35 зуб, но он мне не мешает. Меня только пугает, что из-за него "страдают" соседние зубы. И если его не удалить, то со временем придется удалять и их. Подскажите пожалуйста, оправданно ли его удаление с целью улучшения "жизни" соседних 34, 36 зубов? (при условии нормальной гигиены (ирригатор, зубные нити) и лечении кариеса). Ссылка на комментарий
shishok Опубликовано 26 ноября, 2021 Поделиться Опубликовано 26 ноября, 2021 А зачем он нужен? Свою функцию зуб не выполняет ( он вне прикуса). А проблемы создаёт. 1 1 Ссылка на комментарий
Александр9 Опубликовано 27 ноября, 2021 Автор Поделиться Опубликовано 27 ноября, 2021 26.11.2021 в 17:35, shishok сказал: А зачем он нужен? Свою функцию зуб не выполняет ( он вне прикуса). А проблемы создаёт. мне еще две восьмерки предстоит удалить. Устал уже от этих "процедур". Вот и думаю, можно ли отложить удаление хотя бы этого зуба на неопределенное время без серьезных последствий. Ссылка на комментарий
red_butler Опубликовано 28 ноября, 2021 Поделиться Опубликовано 28 ноября, 2021 Ортодонтию планируете? Ссылка на комментарий
Александр9 Опубликовано 28 ноября, 2021 Автор Поделиться Опубликовано 28 ноября, 2021 3 часа назад, red_butler сказал: Ортодонтию планируете? нет Ссылка на комментарий
red_butler Опубликовано 28 ноября, 2021 Поделиться Опубликовано 28 ноября, 2021 43 минуты назад, Александр9 сказал: нет Тогда удаляйте Ссылка на комментарий
Рекомендуемые сообщения
Для публикации сообщений создайте учётную запись или авторизуйтесь
Вы должны быть пользователем, чтобы оставить комментарий
Создать аккаунт
Зарегистрируйте новый аккаунт в нашем сообществе. Это очень просто!
Регистрация нового пользователяВойти
Уже есть аккаунт? Войти в систему.
Войти