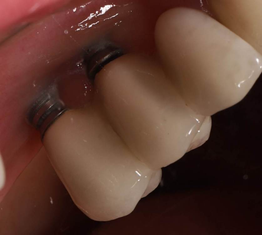
Ponchik Опубликовано 23 ноября, 2021 Поделиться Опубликовано 23 ноября, 2021 Заказ от начальства(ортопеда). Пациентка направлена ко мне со словами: вам сейчас косточки подсыпят, десенки пришьют и всё ок. Инересует второй сегмент, остальные и так ок. Работе всего пара лет. Делал не я. Импланты альфа-био. Прикреплёнки нет нигде. Всё хлюпает. Второй сегмент - я за удаление имплантов, через два месяца сунус+кость+мембрана(титан или полужесткая), через полгода 24, 26 импланты. Через 3 месяца мягкотканные дела, ещё через пару месяцев замаячит протезирование. (если всё остальное сложится) Как "подлепить" десну не снимая ортопедии, за два-три визита, хотя бы прикрыть витки? Я не знаю. Приму любой совет. Ссылка на комментарий
Irouil Опубликовано 23 ноября, 2021 Поделиться Опубликовано 23 ноября, 2021 А удалять то зачем? Ссылка на комментарий
Женька Опубликовано 23 ноября, 2021 Поделиться Опубликовано 23 ноября, 2021 А зачем? Ссылка на комментарий
Ponchik Опубликовано 23 ноября, 2021 Автор Поделиться Опубликовано 23 ноября, 2021 24 минуты назад, Irouil сказал: А удалять то зачем? Чтоб новые поставить. Ссылка на комментарий
Ponchik Опубликовано 23 ноября, 2021 Автор Поделиться Опубликовано 23 ноября, 2021 25 минут назад, Женька сказал: А зачем? Зачем витки обнажённые закрыть? Или зачем удалять? Я не знаю просто как эти витки закрыть у уже установленных винтов. Ссылка на комментарий
АнтонТЛТ Опубликовано 23 ноября, 2021 Поделиться Опубликовано 23 ноября, 2021 Вот так) 1 Ссылка на комментарий
АнтонТЛТ Опубликовано 23 ноября, 2021 Поделиться Опубликовано 23 ноября, 2021 Витки заполировать и провести медикаментозную обработку. Но лучше конечно удалить такие имплантаты. Хорошо что в вашем случае нет зубов дистально) Ссылка на комментарий
Irouil Опубликовано 23 ноября, 2021 Поделиться Опубликовано 23 ноября, 2021 12 минут назад, Ponchik сказал: Чтоб новые поставить. А пациента что-то беспокоит? 1 час назад, Ponchik сказал: Заказ от начальства(ортопеда). Пациентка направлена ко мне со словами: вам сейчас косточки подсыпят, десенки пришьют и всё ок. Вы не со мной в одной клинике работаете?) Ссылка на комментарий
Ponchik Опубликовано 23 ноября, 2021 Автор Поделиться Опубликовано 23 ноября, 2021 1 минуту назад, АнтонТЛТ сказал: Витки заполировать Титановыми ёршиками? 2 минуты назад, АнтонТЛТ сказал: провести медикаментозную обработку Хлоргексидином или чем сильнее ? 2 минуты назад, Irouil сказал: А пациента что-то беспокоит? Только внешний вид Ссылка на комментарий
Женька Опубликовано 23 ноября, 2021 Поделиться Опубликовано 23 ноября, 2021 @Ponchik я про закрытие десной если всё равно решили удалять?♂️ Ссылка на комментарий
Ponchik Опубликовано 23 ноября, 2021 Автор Поделиться Опубликовано 23 ноября, 2021 3 минуты назад, Irouil сказал: Вы не со мной в одной клинике работаете?) К сожалению я один ? Ссылка на комментарий
АнтонТЛТ Опубликовано 23 ноября, 2021 Поделиться Опубликовано 23 ноября, 2021 Ершиками и периопеском, можно гелем Хлоргексидиновым. 1 Ссылка на комментарий
Ponchik Опубликовано 23 ноября, 2021 Автор Поделиться Опубликовано 23 ноября, 2021 Только что, Женька сказал: если всё равно решили удалять?♂️ Я ещё не решил. И я не против экспериментов. Если есть шанс получить хотя бы видимость нормы, то меня и пациента это устроит. Ссылка на комментарий
АнтонТЛТ Опубликовано 23 ноября, 2021 Поделиться Опубликовано 23 ноября, 2021 А как там с небной стороны? Ссылка на комментарий
Ponchik Опубликовано 23 ноября, 2021 Автор Поделиться Опубликовано 23 ноября, 2021 Только что, АнтонТЛТ сказал: А как там с небной стороны? Вот пытаюсь вспомнить ))) Но по-моему прикреплёнка начитается не сразу. Пациентку записал на след неделю. На повторную консультацию. Сделаю больше фото и видео. Ссылка на комментарий
АнтонТЛТ Опубликовано 23 ноября, 2021 Поделиться Опубликовано 23 ноября, 2021 (изменено) Если небно тоже не очень, то добавить ещё разрез, отслоить и притянуть к имплантатам, чтобы более вертикально белый лоскут встал. Мезиально и дистально перемычки оставить для питания. Изменено 23 ноября, 2021 пользователем АнтонТЛТ Ссылка на комментарий
Ponchik Опубликовано 23 ноября, 2021 Автор Поделиться Опубликовано 23 ноября, 2021 Боюсь если я так сделаю, то как минимум дистальный улетит. Ссылка на комментарий
АнтонТЛТ Опубликовано 23 ноября, 2021 Поделиться Опубликовано 23 ноября, 2021 5 минут назад, Ponchik сказал: Боюсь если я так сделаю, то как минимум дистальный улетит. Только насадкой для имплантата звучить. 1 Ссылка на комментарий
Ponchik Опубликовано 23 ноября, 2021 Автор Поделиться Опубликовано 23 ноября, 2021 А если алмазом так? Тут доктор правда результаты не показывает. Ссылка на комментарий
АнтонТЛТ Опубликовано 23 ноября, 2021 Поделиться Опубликовано 23 ноября, 2021 8 минут назад, Ponchik сказал: А если алмазом так? Тут доктор правда результаты не показывает. Фигня, он между витков не обрабатывает Ссылка на комментарий
Ponchik Опубликовано 23 ноября, 2021 Автор Поделиться Опубликовано 23 ноября, 2021 Только что, АнтонТЛТ сказал: Фигня, он между витков не обрабатывает Пескоструй есть, буду им. Механическая и медикаментозная обработка это я представляю. Я с мягкими тканями не знаю что делать. И думаю A-oss (biooss жаба душит) какой добавить. Ссылка на комментарий
АнтонТЛТ Опубликовано 23 ноября, 2021 Поделиться Опубликовано 23 ноября, 2021 6 минут назад, Ponchik сказал: Пескоструй есть, буду им. Механическая и медикаментозная обработка это я представляю. Я с мягкими тканями не знаю что делать. И думаю A-oss (biooss жаба душит) какой добавить. По мягким тканям показал, что примерно нужно делать. Графт не нужно, не приживется. Он катит для кратерообразных дефектов. Ссылка на комментарий
Ponchik Опубликовано 23 ноября, 2021 Автор Поделиться Опубликовано 23 ноября, 2021 1 минуту назад, АнтонТЛТ сказал: По мягким тканям показал Очень благодарен!!! Ссылка на комментарий
stommm Опубликовано 26 ноября, 2021 Поделиться Опубликовано 26 ноября, 2021 Как вариант Ссылка на комментарий
АнтонТЛТ Опубликовано 26 ноября, 2021 Поделиться Опубликовано 26 ноября, 2021 1 час назад, stommm сказал: Как вариант Только коронки не хотят снимать Ссылка на комментарий
Рекомендуемые сообщения
Для публикации сообщений создайте учётную запись или авторизуйтесь
Вы должны быть пользователем, чтобы оставить комментарий
Создать аккаунт
Зарегистрируйте новый аккаунт в нашем сообществе. Это очень просто!
Регистрация нового пользователяВойти
Уже есть аккаунт? Войти в систему.
Войти