Александр9 Опубликовано 14 ноября, 2021 Поделиться Опубликовано 14 ноября, 2021 (изменено) болит нижняя 7-ка. Хотелось бы как можно скорее вылечить. Запись к врачу (у которого лечил каналы в другом зубе в прошлом году) только через месяц. "Случайный" врач "приговорил" к удалению. В клинике, где я ставил импланты - новый молодой врач готов лечить, но у него нет микроскопа. Мне надо решить, искать ли врача с микросокопом. Подскажите насколько это важно ( микроскоп) в моем случае. Или может потерпеть месяц? Насколько критично как можно скорее начать лечение (неохота терять зуб)? Изменено 14 ноября, 2021 пользователем Александр9 Ссылка на комментарий
St. Опубликовано 17 ноября, 2021 Поделиться Опубликовано 17 ноября, 2021 Зависит от того насколько сильно болит. Если сильно, то оттягивать визит на месяц точно не стоит. Микроскоп очень облегчает работу но не будет 100% гарантией успеха. Прогноз у зуба действительно так себе, но шансы есть.. Как давно удалили соседний? 1 Ссылка на комментарий
Александр9 Опубликовано 17 ноября, 2021 Автор Поделиться Опубликовано 17 ноября, 2021 (изменено) 1 час назад, St. сказал: Прогноз у зуба действительно так себе, но шансы есть.. Как давно удалили соседний? Спасибо за ответ! Соседний удалили два месяца назад. Нашел нового врача с микроскопом, хоть и дорого, но решил рискнуть сделать у него. Смущает только, что поскольку в назначенный день он считает, что ему не хватит полтора часа, то он применит мышьяк, а лечить будет в следующий прием. Это нормально? Изменено 17 ноября, 2021 пользователем Александр9 Ссылка на комментарий
АнтонТЛТ Опубликовано 17 ноября, 2021 Поделиться Опубликовано 17 ноября, 2021 Скорее всего не мышьяк, а другой препарат с таким же эффектом. Такое в принципе допустимо, т.к. сначала нужно восстановить заднюю стенку зуба, а это дополнительное время. 2 Ссылка на комментарий
St. Опубликовано 20 ноября, 2021 Поделиться Опубликовано 20 ноября, 2021 Да, время лечения может быть и 2-2,5 часа, не то что 1,5.. Если вдруг доктор не успеет за 1 визит не расстраивайтесь, тут важнее качество чем скорость. 1 Ссылка на комментарий
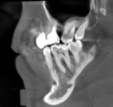
Александр9 Опубликовано 24 ноября, 2021 Автор Поделиться Опубликовано 24 ноября, 2021 спасибо за ответы! Впервые наблюдал за лечением своего зуба на экране. С микроскопом оказалось действительно лучше, т.к. зуб достаточно глубоко был поражен и приходилось тщательно его "вычищать" изнутри. Правда в стенке все же образовалась дырка и пришлось ее заделывать "заплаткой". На снимке видно темные области под временной пломбой. Это не помешает проходить с ней 4 месяца до установки коронки? 1 Ссылка на комментарий
St. Опубликовано 26 ноября, 2021 Поделиться Опубликовано 26 ноября, 2021 По снимку все красиво! Под такой временной пломбой может быть неконтрастный материал или "ваточка". Тем не менее долго ходить с временной пломбой не стоит и чем быстрее Вы попадете на восстановление и коронку тем лучше (меньше риск что отколите остатки стенок и повторного попадения микробов). Кстати, если вдруг временная выпадет, обязательно показаться доктору и вернуть ее на место. без временной ходить категорически нельзя. 1 1 Ссылка на комментарий
Рекомендуемые сообщения
Для публикации сообщений создайте учётную запись или авторизуйтесь
Вы должны быть пользователем, чтобы оставить комментарий
Создать аккаунт
Зарегистрируйте новый аккаунт в нашем сообществе. Это очень просто!
Регистрация нового пользователяВойти
Уже есть аккаунт? Войти в систему.
Войти