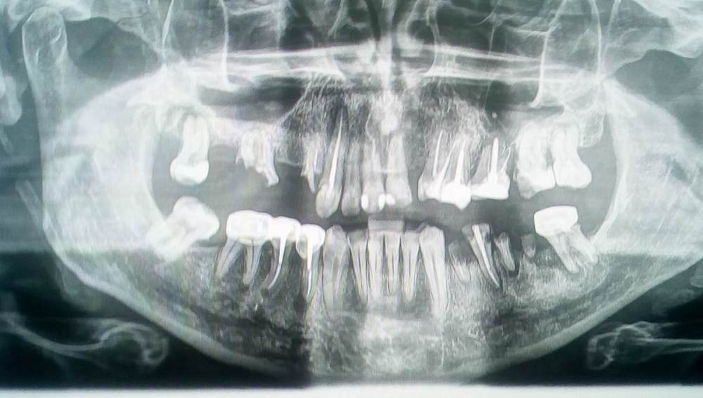
JohnREO Опубликовано 14 ноября, 2021 Поделиться Опубликовано 14 ноября, 2021 Здравствуйте, мне предлагают удалять 5 рабочих зубов, поскольку там киста и нет местами костной ткани. Посоветуйте пожалуйста хорошего специалиста по зубосохраняющим операциям, хочу узнать - есть ли возможность сохранить эти зубы? Ссылка на комментарий
red_butler Опубликовано 14 ноября, 2021 Поделиться Опубликовано 14 ноября, 2021 1.8 1.6 1.4 2.8 3.6 3.4 4.8 удалять. Остальные повторное лечение корневых каналов, но 2.6 прогноз плохой. Зубо сохраняющие операции не нужны. 3 Ссылка на комментарий
Bier Опубликовано 6 декабря, 2021 Поделиться Опубликовано 6 декабря, 2021 наверху тут тотальчик просится уже, на имплантатах. Ссылка на комментарий
Рекомендуемые сообщения
Для публикации сообщений создайте учётную запись или авторизуйтесь
Вы должны быть пользователем, чтобы оставить комментарий
Создать аккаунт
Зарегистрируйте новый аккаунт в нашем сообществе. Это очень просто!
Регистрация нового пользователяВойти
Уже есть аккаунт? Войти в систему.
Войти