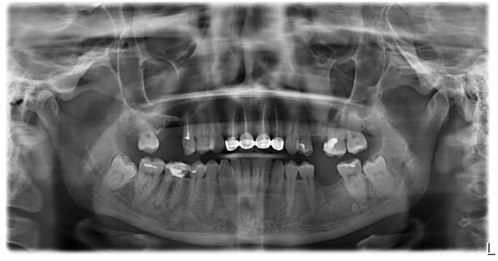
АйгульШ Опубликовано 12 ноября, 2021 Поделиться Опубликовано 12 ноября, 2021 Здравствуйте! Подскажите пожалуйста, можно ли по моему снимку определить все ли нормально с зубами под коронками? Нужно ли менять? И буду благодарна за информацию какие зубы нужно срочно лечить, а какие ещё могут подождать Ссылка на комментарий
Notherbrick Опубликовано 13 ноября, 2021 Поделиться Опубликовано 13 ноября, 2021 Конкретно этот снимок даёт нам понять, что зубы под коронками требуют ревизии и с ними не все нормально. 15, 26, 46 требуют внимания 100%. И необходимо вернуть на место отсутствующие три зуба (16, 25, 36) Зубы мудрости желательно планово удалить. Это что касается предоставленного снимка. Более основательно составить план можно после очного осмотра и дополнительного обследования. 1 Ссылка на комментарий
АйгульШ Опубликовано 13 ноября, 2021 Автор Поделиться Опубликовано 13 ноября, 2021 Спасибо большое! Ссылка на комментарий
Рекомендуемые сообщения
Для публикации сообщений создайте учётную запись или авторизуйтесь
Вы должны быть пользователем, чтобы оставить комментарий
Создать аккаунт
Зарегистрируйте новый аккаунт в нашем сообществе. Это очень просто!
Регистрация нового пользователяВойти
Уже есть аккаунт? Войти в систему.
Войти