Карен Аванесов Опубликовано 10 ноября, 2021 Поделиться Опубликовано 10 ноября, 2021 А что значит не дорогой? What the fuck? Это вопрос к коллеге из Ярославля если он случайно сюда забредет. Не дорогой это какой? Я так понимаю, без графта, с "мутным" имплантатом СРАУМАЦ или ШКОБЭЛЬ с Алиэкспресса и коронкой из стеклянного китайского циркона от туда же? Думаю пациентов все же не надо учить оценивать работу врача (это за нас сделает ИИ, впрочем уже), через дифференциальную диагностику с колбасным изделием, переживания там разные и уровень ответственности. Колбасу съел, высрал shit через 12 часов все ок и цикл повторяется, а тут делаешь работу, волнуешься за себя конечно милого (вче честно) ну и за пациентов если не козлы и козы. Могут перед сном прям позвонить Hello I love you!, потом не уснешь или в выходной (хорошие манеры что уж там), может покуривать cigars, грязнулей быть, антибиотик не принимать это ж вредно для рептилоидов. Важно что бы пациент понимал, что он не радость несет стоматологу, в виде своего периодонтита, адентии и т.д. на фоне острой финансовой недостаточности collar of credits , он должен сам вникнуть в свою проблему и соучаствовать в лечении, решении его проблем, т.к. частицы здоровья врача nerves, только, не достаточно, а вот что бы этот выпавший пазл в виде потерянных часов и дней жизни восстановить, нужна адекватная оплата труда money - искусства врача, опыт, философия, который может утяжелить или облегчить лечение. Недорогой в моем понятии, это быстрый и неутомительный для врача и пациента план реализации хирургического и ортопедического протокола, впрочем я отвлекся. Но как Вы поняли так и становишься мизантропом, в последнее время очень остро ощущается, восраст, рожа распухла и маска доброго доктора айболита мала)))) Итак, а теперь clinical case все быстро и просто, все как я и люблю. Welcome to Yaroslavl 1 2 Ссылка на комментарий
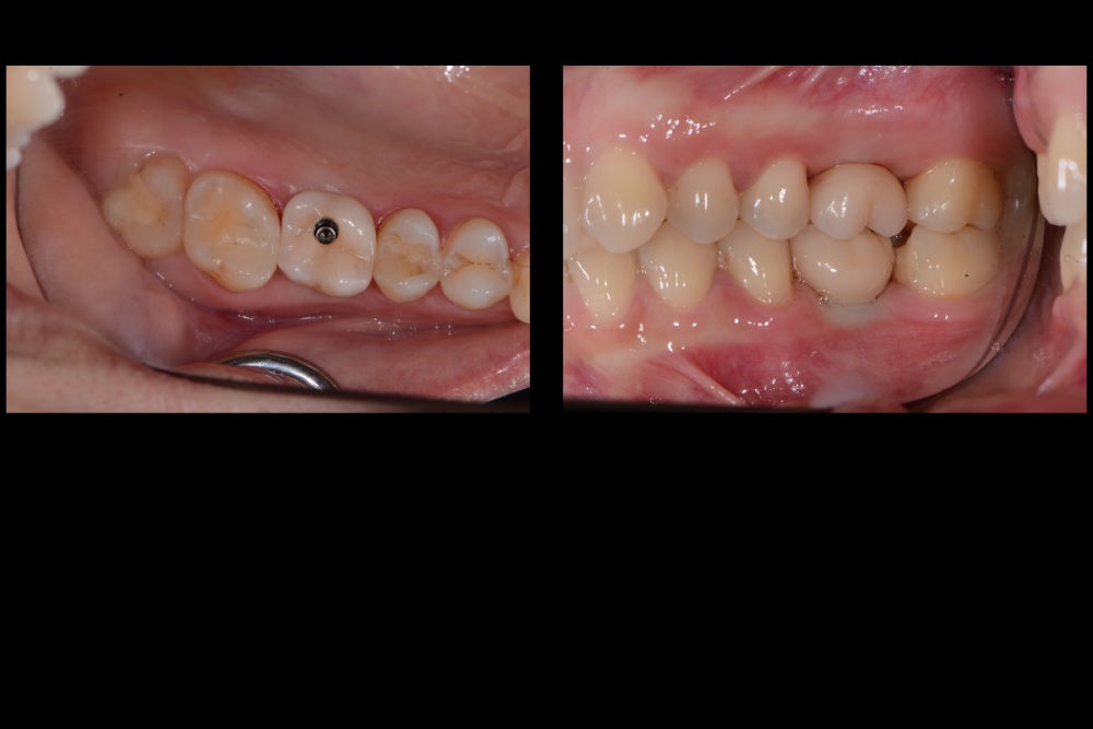
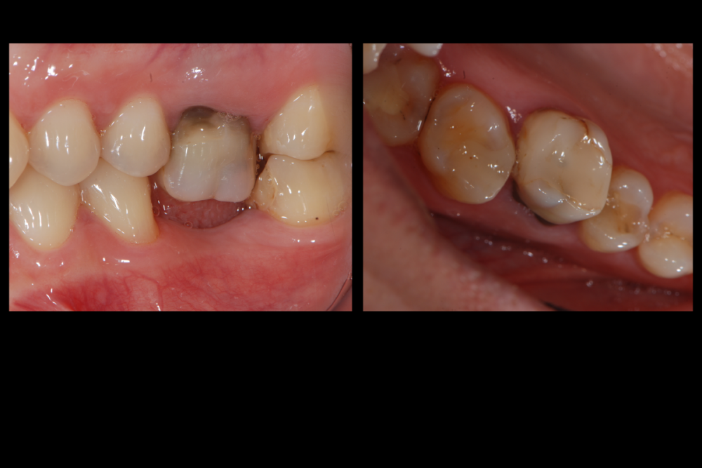
Карен Аванесов Опубликовано 10 ноября, 2021 Автор Поделиться Опубликовано 10 ноября, 2021 Придерживаясь правил форума, второе сообщение содержащее фотоматериал выдержанно в лучших традициях русской словестности, без сквернословия и непонятных иностранных слов, без применения шовного материала, широких формирователей десневой манжеты, без мягкотканной и прочей аугментации (наращивание костей что то все же не звучит прилично)), а самое главное, время затраченное на всю операцию 60 минут (имплантаты на нижней челюсти установил по лазерной технологии, без разрезов, Лазер - сила!). Время ожидания до ортопедического этапа 3 месяца. 6 1 Ссылка на комментарий
Irouil Опубликовано 10 ноября, 2021 Поделиться Опубликовано 10 ноября, 2021 Не удержался 1 6 1 Ссылка на комментарий
АнтонТЛТ Опубликовано 10 ноября, 2021 Поделиться Опубликовано 10 ноября, 2021 Прикольная репортёрша)) https://youtu.be/v9OchRGLpG0 1 Ссылка на комментарий
annda Опубликовано 11 ноября, 2021 Поделиться Опубликовано 11 ноября, 2021 Какой лазер пользуете? Ссылка на комментарий
сирена Опубликовано 11 ноября, 2021 Поделиться Опубликовано 11 ноября, 2021 21 час назад, АнтонТЛТ сказал: Прикольная репортёрша)) https://youtu.be/v9OchRGLpG0 Она постоянно ржёт над новостями,есть несколько роликов в сети. Я,честно,закатывалась вместе с ней.Очень заразительно смеётся) Ссылка на комментарий
Карен Аванесов Опубликовано 11 ноября, 2021 Автор Поделиться Опубликовано 11 ноября, 2021 10.11.2021 в 20:48, Irouil сказал: Не удержался У меня сложности с модемом так сказать, что в этом клипе в двух словах, что бы я тоже хохотнул. 7 часов назад, annda сказал: Какой лазер пользуете? Инженера Гарина. Ссылка на комментарий
Irouil Опубликовано 11 ноября, 2021 Поделиться Опубликовано 11 ноября, 2021 21 минуту назад, Карен Аванесов сказал: что в этом клипе в двух словах 10.11.2021 в 20:05, Карен Аванесов сказал: А что значит не дорогой? What the fuck?.. Колбасу съел, высрал shit через 12 часов все ок… Могут перед сном прям позвонить Hello I love you!, потом не уснешь или в выходной (хорошие манеры что уж там), может покуривать cigars. Важно что бы пациент понимал, что он не радость… на фоне острой финансовой недостаточности collar of credits…т.к. частицы здоровья врача nerves, только, не достаточно, а вот что бы этот выпавший пазл в виде потерянных часов и дней жизни восстановить, нужна адекватная оплата труда money - искусства врача. Итак, а теперь clinical case все быстро и просто, все как я и люблю. Welcome to Yaroslavl Примерно это-же, но в исполнении милой канадской lady) рекомендую терпеливо пережить коммуникационные неурядицы и посмотреть лично без пересказа) чтобы не портить аппетит Ссылка на комментарий
annda Опубликовано 13 ноября, 2021 Поделиться Опубликовано 13 ноября, 2021 11.11.2021 в 23:05, Карен Аванесов сказал: У меня сложности с модемом так сказать, что в этом клипе в двух словах, что бы я тоже хохотнул. Инженера Гарина. У инженера гиперболоид был, однако Не претендую на раскрытие секретов, видимо, что- то сакральное. Ссылка на комментарий
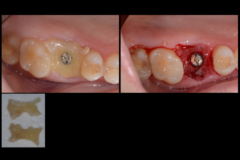
Марья Моревна Опубликовано 13 ноября, 2021 Поделиться Опубликовано 13 ноября, 2021 А что это такое кругленькое виднеется в лунке небного корня на самом левом из трех снимков над панорамой? 1 Ссылка на комментарий
Карен Аванесов Опубликовано 14 ноября, 2021 Автор Поделиться Опубликовано 14 ноября, 2021 13.11.2021 в 08:55, annda сказал: У инженера гиперболоид был, однако Не претендую на раскрытие секретов, видимо, что- то сакральное. Анна Анатольевна, в данном контексте, упоминание лазера, не более чем гипербола. Улыбайтесь чаще, Вам идет улыбка) 13.11.2021 в 20:19, Марья Моревна сказал: А что это такое кругленькое виднеется в лунке небного корня на самом левом из трех снимков над панорамой? А Вы Марья Моревна глазастенькая! Это воздушный пузырь, там две перфорации синуса, после удаления кисты. Ссылка на комментарий
Карен Аванесов Опубликовано 14 ноября, 2021 Автор Поделиться Опубликовано 14 ноября, 2021 (изменено) 13.11.2021 в 20:19, Марья Моревна сказал: А что это такое кругленькое виднеется в лунке небного корня на самом левом из трех снимков над панорамой? Это некий цимус-изюминка, в этой работе Изменено 14 ноября, 2021 пользователем Карен Аванесов Ссылка на комментарий
Рекомендуемые сообщения
Для публикации сообщений создайте учётную запись или авторизуйтесь
Вы должны быть пользователем, чтобы оставить комментарий
Создать аккаунт
Зарегистрируйте новый аккаунт в нашем сообществе. Это очень просто!
Регистрация нового пользователяВойти
Уже есть аккаунт? Войти в систему.
Войти