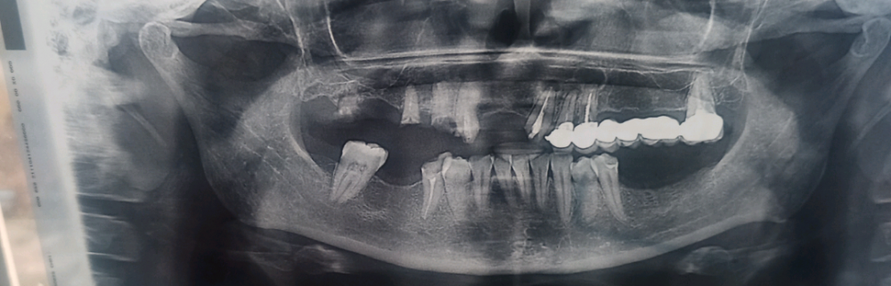
Likali Опубликовано 8 ноября, 2021 Поделиться Опубликовано 8 ноября, 2021 здравствуйте, можно ли закрепить коронку вверху слева на оставшихся корнях? или корни уже полностью разрушены и не удержат коронку на штифтах Ссылка на комментарий
Notherbrick Опубликовано 8 ноября, 2021 Поделиться Опубликовано 8 ноября, 2021 Если отталкиваться от предоставленной ортопантомогоаммы, а она малоинформативна, то очень маловероятно что сохранившиеся корни на верхней челюсти справа хоть сколько то состоятельны в качестве опорных для любых конструкций. И в цело состояние зубочелюстной системы требует гораздо более комплексного подхода. Ссылка на комментарий
Likali Опубликовано 9 ноября, 2021 Автор Поделиться Опубликовано 9 ноября, 2021 спасибо за ответ, значит,придется удалять верхние пеньки? Ссылка на комментарий
red_butler Опубликовано 9 ноября, 2021 Поделиться Опубликовано 9 ноября, 2021 5 часов назад, Likali сказал: спасибо за ответ, значит,придется удалять верхние пеньки? Начните с очной консультации стоматолога ортопеда. Ссылка на комментарий
Likali Опубликовано 9 ноября, 2021 Автор Поделиться Опубликовано 9 ноября, 2021 я уже была,он мне сказал тоже самое,что и вы Ссылка на комментарий
Likali Опубликовано 9 ноября, 2021 Автор Поделиться Опубликовано 9 ноября, 2021 очно сказали,что только протез на верх и нижнюю тоже надо делать Ссылка на комментарий
Рекомендуемые сообщения
Для публикации сообщений создайте учётную запись или авторизуйтесь
Вы должны быть пользователем, чтобы оставить комментарий
Создать аккаунт
Зарегистрируйте новый аккаунт в нашем сообществе. Это очень просто!
Регистрация нового пользователяВойти
Уже есть аккаунт? Войти в систему.
Войти