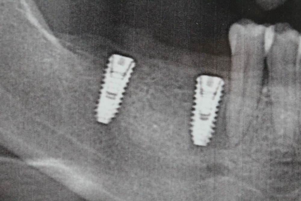
Олеся С Опубликовано 22 октября, 2021 Поделиться Опубликовано 22 октября, 2021 (изменено) Здравствуйте. Установили два импланта, нижние 6 и 7. На месте шестерки через неделю воспалилась десна, вышла шишечка на десне (со стороны щеки). Болей и температуры не было. Швы сняли, заодно промыли, выходила кровь. После промывания продолжила делать ванночки, пропила курс Азимак. Три дня все было хорошо. Снова появилась шишечка, снова прокололи, промыли. Пренеприятнейшее занятие) Сейчас второй день после промывания, воспаления сильного нет, шишечка вроде ушла, болей нет. Сделала снимок. Что там не так? Врач не сдается, сегодня раскрутил заглушку, что-то там колдовал. Мало что рассказывает. Имплант снимать не хочет, сказал ходить еще неделю. Говорит, сниму за минуту, но не надо торопиться. Стоит ли тратить время или все таки надо снимать имплант? Возможно ли, что приживется нормально? Изменено 22 октября, 2021 пользователем Олеся С Ссылка на комментарий
Irouil Опубликовано 22 октября, 2021 Поделиться Опубликовано 22 октября, 2021 Я бы рекомендовал сделать компьютерную томографию, если судить только по этому снимку то однозначную оценку дать сложно Ссылка на комментарий
Олеся С Опубликовано 22 октября, 2021 Автор Поделиться Опубликовано 22 октября, 2021 @Irouil Спасибо за ответ. Врач сначала хотел точечный снимок. Потом дал все ж направление на 2D. Больше направление на этой неделе точно не даст, будет спорить) Буду ждать неделю, а там уже решится. Но хочется сейчас услышать мнение, если уже есть воспаление, это не всегда приговор импланту? Неделю волноваться буду. Ссылка на комментарий
Irouil Опубликовано 22 октября, 2021 Поделиться Опубликовано 22 октября, 2021 Не всегда приговор 1 Ссылка на комментарий
Рекомендуемые сообщения
Для публикации сообщений создайте учётную запись или авторизуйтесь
Вы должны быть пользователем, чтобы оставить комментарий
Создать аккаунт
Зарегистрируйте новый аккаунт в нашем сообществе. Это очень просто!
Регистрация нового пользователяВойти
Уже есть аккаунт? Войти в систему.
Войти