Перейти к содержанию
Стоматология для всех

Подскажите как лучше


olivka90

Рекомендуемые сообщения

Здравствуйте

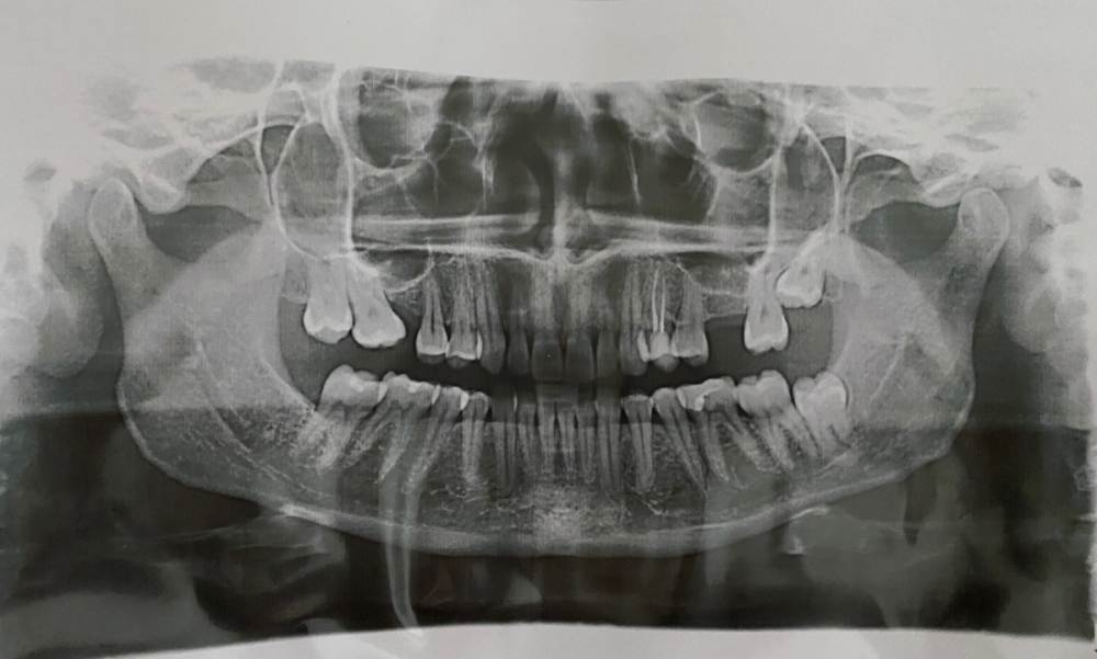
Подскажите, возможно ли перемещение верхних 8к на место 7к , а 7к на 6ки в моем случае? Я знаю, что это долго.
До пандемии я нашла двух врачей, которые уверенно сказали, что такое возможно. Далее, случилась пандемия и брекеты пришлось отложить) Придя недавно на консультацию мне вдруг оба заявили, что нет двигать не будет: долго, пазуха низко, вообще только имплант. 

Не совсем понятно, что произошло за 2 года, возможно клиникам выгодней 1,5 года налегке отлечить и отпустить, чем 3 года заморачиваться. 
Еще меня беспокоит нижняя 8-ка, по кт в ее корнях проходит нерв, и как мне сказали, при удалении его повредят и будут разные последствия. Можно ли его оставить на месте?

мне 33 года

 

FB5E8F99-7980-41FB-A154-EAF3E33FD2C0.jpeg

48E17360-8D5A-44A6-BDD9-AED5CF673CA7.jpeg

Ссылка на комментарий

Для публикации сообщений создайте учётную запись или авторизуйтесь

Вы должны быть пользователем, чтобы оставить комментарий

Создать аккаунт

Зарегистрируйте новый аккаунт в нашем сообществе. Это очень просто!

Регистрация нового пользователя

Войти

Уже есть аккаунт? Войти в систему.

Войти
×
×
  • Создать...
Вверх