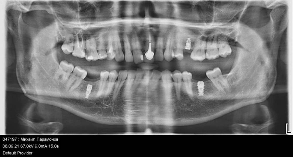
denrusof Опубликовано 10 сентября, 2021 Поделиться Опубликовано 10 сентября, 2021 Помогите пожалуйста советом что делать с 16?, терапевт предложила 3 варианта: 1. Депульпировать+ пломба 2.Депульпировать+ культя с коронкой 3. Удаление+ имплантирование Спасибо за ответы. Ссылка на комментарий
annda Опубликовано 10 сентября, 2021 Поделиться Опубликовано 10 сентября, 2021 Рановато про имплантат тут думать, кмк 2 Ссылка на комментарий
denrusof Опубликовано 10 сентября, 2021 Автор Поделиться Опубликовано 10 сентября, 2021 спасибо, остается выбор между 1 и 2, помогите определиться, надо до завтра решить) Ссылка на комментарий
ЛанаМ Опубликовано 10 сентября, 2021 Поделиться Опубликовано 10 сентября, 2021 Решение пломба или коронка принимается по объему оставшихся тканей после препарирования. Но тут, скорее всего, больше потянет на коронку. 1 Ссылка на комментарий
denrusof Опубликовано 10 сентября, 2021 Автор Поделиться Опубликовано 10 сентября, 2021 спасибо, тогда будем смотреть как пойдет Ссылка на комментарий
denrusof Опубликовано 12 сентября, 2021 Автор Поделиться Опубликовано 12 сентября, 2021 Сегодня депульпировали 4 канала + временная пломба, через 10 дней повторный прием на котором будет решать пломба или коронка Ссылка на комментарий
annda Опубликовано 12 сентября, 2021 Поделиться Опубликовано 12 сентября, 2021 (изменено) Я -за коронку,тем более,что напротив будет тоже коронка из керамики на имплантате. Если пломба,то только с перекрытием всех бугров не менее 2 х мм.Можно и титановый штифт поставить,с целью герметизации СИЦ цементом устьев всех каналов(а не только того,куда штифт воткнут) Изменено 12 сентября, 2021 пользователем annda Ссылка на комментарий
Рекомендуемые сообщения
Для публикации сообщений создайте учётную запись или авторизуйтесь
Вы должны быть пользователем, чтобы оставить комментарий
Создать аккаунт
Зарегистрируйте новый аккаунт в нашем сообществе. Это очень просто!
Регистрация нового пользователяВойти
Уже есть аккаунт? Войти в систему.
Войти