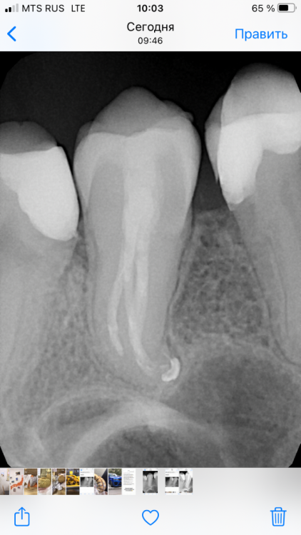
Mel17 Опубликовано 8 сентября, 2021 Поделиться Опубликовано 8 сентября, 2021 Здравствуйте! Подскажите пожалуйста, 26 зуб после эндодонтии, полтора года назад была эндодонтия, по снимку есть выход за апекс немного, но это никак не беспокоило все время, была 3 недели назад механическая трамва ( прикусила косточку на эту сторону челюсти), с тех пор как ощущаю как будто дискомфорт на этот зуб (по ощущениям как чувство распирания и отека, но визуально Отека нет). На десне появилось небольшое пятна к месту прилегание зуба к десне. Врач на Приём посмотрел, сказал на прошлом приеме до травмы 2 недели назад десна была намного Лучше... по кт и прицельному снимку признаков нет. Какие исходя из вашей практики признаки vfr и через какое время должно быть проявление на десне (одиночный карман) и рентгенологические признаки ? Спасибо... Ссылка на комментарий
dentikl Опубликовано 8 сентября, 2021 Поделиться Опубликовано 8 сентября, 2021 покажите прицельный плз и срезы кт.если с ними врач на очном приеме затруднился,как мы на заочном без них? Ссылка на комментарий
Mel17 Опубликовано 14 сентября, 2021 Автор Поделиться Опубликовано 14 сентября, 2021 @dentikl подскажите пожалуйста если ли на снимке признаки трещины? Ссылка на комментарий
red_butler Опубликовано 14 сентября, 2021 Поделиться Опубликовано 14 сентября, 2021 3 минуты назад, Mel17 сказал: подскажите пожалуйста если ли на снимке признаки трещины? нет Ссылка на комментарий
dentikl Опубликовано 14 сентября, 2021 Поделиться Опубликовано 14 сентября, 2021 (изменено) 1 час назад, Mel17 сказал: @dentikl подскажите пожалуйста если ли на снимке признаки трещины? снимок когда сделали?(сегодня,вчера,3 месяца тому???) Изменено 14 сентября, 2021 пользователем dentikl Ссылка на комментарий
Mel17 Опубликовано 14 сентября, 2021 Автор Поделиться Опубликовано 14 сентября, 2021 (изменено) @dentikl после Эндо 1,5 года, после того как прикусила косточку месяц прошёл, снимок вчера. Изменено 14 сентября, 2021 пользователем Mel17 Ссылка на комментарий
dentikl Опубликовано 14 сентября, 2021 Поделиться Опубликовано 14 сентября, 2021 зуб 5й депульпирован.Точно 26?Врач на прошлом приеме (2 недели тому)что делал? Ссылка на комментарий
Mel17 Опубликовано 14 сентября, 2021 Автор Поделиться Опубликовано 14 сентября, 2021 (изменено) @dentikl нет 5 витальный, и 7 витальная. Вопрос точно по 26, есть ли признаки. Две недели назад ничего не делали, только карман зондировали. Изменено 14 сентября, 2021 пользователем Mel17 Ссылка на комментарий
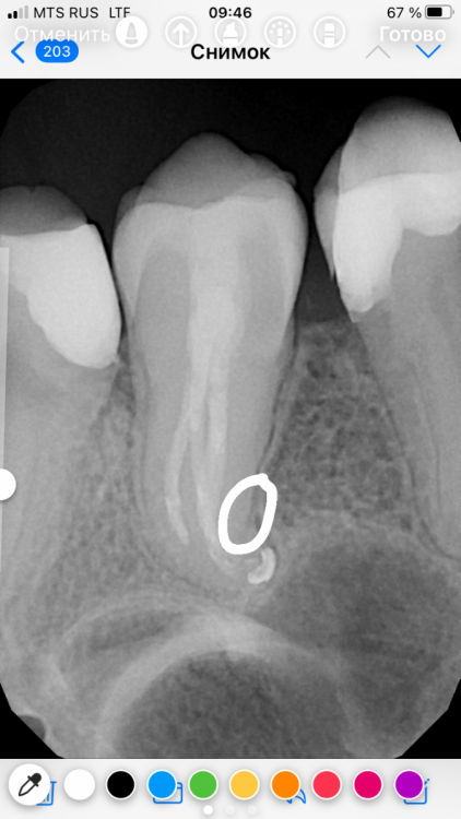
Mel17 Опубликовано 14 сентября, 2021 Автор Поделиться Опубликовано 14 сентября, 2021 @red_butler Спасибо, а вот это тень так падает да, как затемнение чёрточкой ? Ссылка на комментарий
dentikl Опубликовано 14 сентября, 2021 Поделиться Опубликовано 14 сентября, 2021 3 часа назад, Mel17 сказал: @dentikl нет 5 витальный, и 7 витальная. Вопрос точно по 26, есть ли признаки. Две недели назад ничего не делали, только карман зондировали. получается -только я вижу на снимке премоляр? Ссылка на комментарий
chervoncevdaniil Опубликовано 14 сентября, 2021 Поделиться Опубликовано 14 сентября, 2021 Рентгенологически трещину увидеть очень сложно,на ранних этапах чаще всего невозможно. Чаще всего когда рентген картина будет,то там и без снимка по жалобам и объективному осмотру будет ясно что она есть Ссылка на комментарий
St. Опубликовано 15 сентября, 2021 Поделиться Опубликовано 15 сентября, 2021 14.09.2021 в 10:59, Mel17 сказал: это тень так падает да, как затемнение чёрточкой ? Это так поверхности корней друг на друга накладываются. Ссылка на комментарий
Рекомендуемые сообщения
Для публикации сообщений создайте учётную запись или авторизуйтесь
Вы должны быть пользователем, чтобы оставить комментарий
Создать аккаунт
Зарегистрируйте новый аккаунт в нашем сообществе. Это очень просто!
Регистрация нового пользователяВойти
Уже есть аккаунт? Войти в систему.
Войти