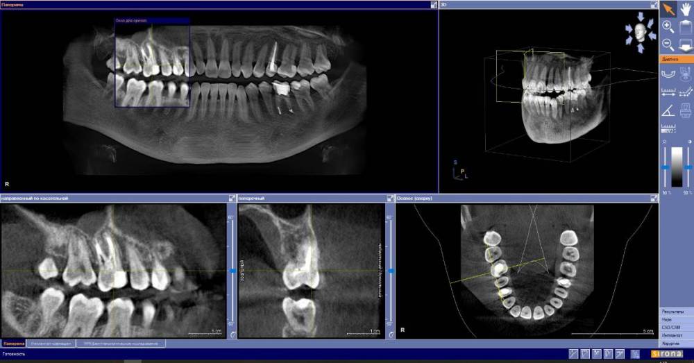
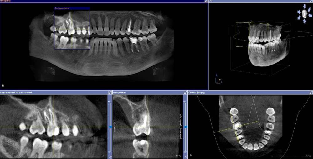
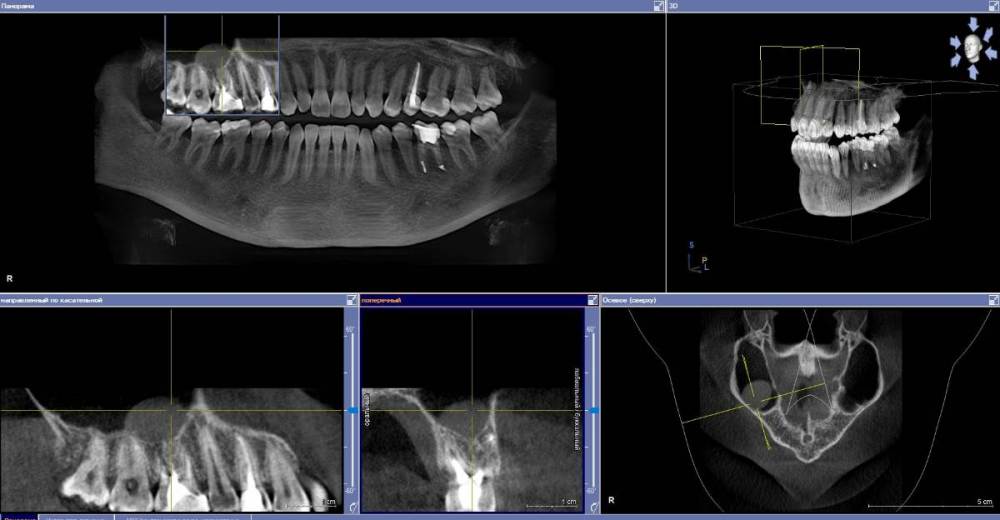
anishuma Опубликовано 1 сентября, 2021 Поделиться Опубликовано 1 сентября, 2021 (изменено) Здравствуйте, прошу помочь разобраться с моими КТ и направить для дальнейших действий. История такая: в 2018 году шестой зуб сверху справа был депульпирован. Долго сохранялись боли при нажатии, при жевании, зуб реагировал на холодной и горячее. Врач, который лечил, заверила что это постпломбировочные боли и скоро пройдет. Коронку побоялась ставить из-за этих болей. Затем примерно через год отлетел кусочек пломбы. Зуб восстановили для дальнейшей установки коронки. На данный момент есть ощутимая реакция на давление, при жевании, при чистки зубной щеткой. Зуб реагирует на холодное-горячее. Один врач сказал, что не видит показаний для перелечивания каналов. Другой врач настаивает на удалении зуба. Подскажите, пожалуйста, где истина, и возможно ли сохранить зуб. Изменено 1 сентября, 2021 пользователем anishuma Ссылка на комментарий
Bier Опубликовано 2 сентября, 2021 Поделиться Опубликовано 2 сентября, 2021 похоже что есть гранулема на корне 2 Ссылка на комментарий
St. Опубликовано 3 сентября, 2021 Поделиться Опубликовано 3 сентября, 2021 +1 к гранулеме. Я бы перелечивала каналы. Но нужно в процессе будет смотреть нет ли трещин в корне. Ссылка на комментарий
Рекомендуемые сообщения
Для публикации сообщений создайте учётную запись или авторизуйтесь
Вы должны быть пользователем, чтобы оставить комментарий
Создать аккаунт
Зарегистрируйте новый аккаунт в нашем сообществе. Это очень просто!
Регистрация нового пользователяВойти
Уже есть аккаунт? Войти в систему.
Войти