Перейти к содержанию
Стоматология для всех

Исправление челюсти элайнерами


progerka

Рекомендуемые сообщения

 

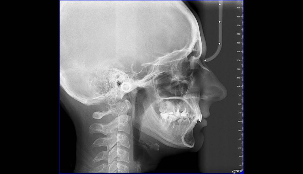
Добрый день!

Очень давно, в 2010-2012гг после удаления 26 и 46 зубов челюсть начала заедать и щелкать.
Ходила к стоматологам-хирургам, челюстно-лицевому хирургу - ничего сделать не смогли, никуда не направили.
Я смирилась и жила дальше. Со временем это почти исчезло.

Сейчас я обратилась к ортодонтам с целью выровнять только нижний зубной ряд (искривлен из за воздействия 8ок), с последующей установкой импланта (46 зуб). Нижние восьмерки удалены.


26 отсутствует, 27 стоит на месте 26, 28 стоит на месте 27
11 сломан в корне, держится на штифте + пломба соединяющая его с соседними зубами.

Как считаете, с чего стоит начать?
Какой план действий?
Нужно ли и можно ли двигать верхний ряд?
Какие зубы имеют показания к удалению?
Есть ли воспаления? (если это можно определить по моему панорамному снимку).
15-16 зуб - черная дыра - что это может быть? Есть ли шансы спасти?

Лечение планирую исключительно на элайнерах.

Заранее благодарю каждого ответившего и обратившего внимание!!!

Снимок экрана 2021-08-31 в 11.24.17.png

Снимок экрана 2021-08-31 в 11.24.31.png

Снимок экрана 2021-08-31 в 11.24.44.png

Снимок экрана 2021-08-31 в 11.25.14.png

2021-08-31 11.44.27.jpg

2021-08-31 11.44.33.jpg

Изменено пользователем progerka
Ссылка на комментарий

Для публикации сообщений создайте учётную запись или авторизуйтесь

Вы должны быть пользователем, чтобы оставить комментарий

Создать аккаунт

Зарегистрируйте новый аккаунт в нашем сообществе. Это очень просто!

Регистрация нового пользователя

Войти

Уже есть аккаунт? Войти в систему.

Войти
×
×
  • Создать...
Вверх