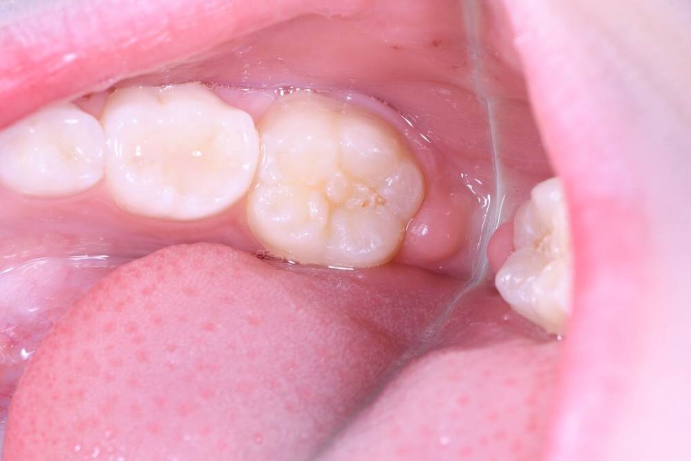
Svetlana Koveshnikova Опубликовано 21 августа, 2021 Поделиться Опубликовано 21 августа, 2021 Добрый день! Подскажите пожалуйста верно ли проведено лечение! У сына 6 лет увидели не большую дырочку на фиссуре 6 коренного зуба, объехали несколько клиник в Москве, 3 врача сказали ставить пломбу, один врач предложил сдедать КТ 3Д и сказала, что тогда возможно обойдётся герметизацией фиссур. Мы испугались облучения для ребёнка от КТ 3Д, не посчитав целесообразным уехали оттуда. Поехали ещё на одну консультацию, врач опять сказала ставить пломбу, объяснив тем, что если сделать герметизацию кариес может развиться внутри зуба, под ней, подтвердив, что КТ 3Д делать не целесообразно в этом случае и она в микроскоп при лечении увидит все необходимое. В результате сделали ренген снимок зуба и под микроскопом поставили пломбу. Вторую неделю мучаюсь от сомнений правильно ли произведено лечение, нужно ли было сверлить зуб, он же уже коренной, что возможно надо было сделать КТ 3Д и обошлись бы герметизацией фиссур, зачистив только на уровне эмали зуб. Зачем вычищать такую большую полость внутри зуба, при такой маленькой дырочке сверху? Врач сказала, что в микроскоп было видно, что дентин рыхлый и поэтому сделала полость чуть ниже дентина, по протоколу лечения зубов. Но зуб рано вырос, он же ещё не окрепший, может поэтому и дентин рыхлый? Что информативнее микроскоп или снимок КТ 3Д? Видно ли по ренгену, что нужно сверлить зуб? Пожалуйста помогите развеять сомнения, я уже вся извелась от переживаний... Ссылка на комментарий
St. Опубликовано 21 августа, 2021 Поделиться Опубликовано 21 августа, 2021 Добрый день. Вы нашли хорошего доктора и все сделали правильно. Необходимости в КТ нет, лечение адекватное и по показаниям. Теперь поддерживайте тщательную гигиену и регулярно ходите на осмотры к доктору чтоб не вырастить такие же кариесы на других зубах. 2 1 1 Ссылка на комментарий
red_butler Опубликовано 26 августа, 2021 Поделиться Опубликовано 26 августа, 2021 +1 у Вас отличный доктор 1 1 Ссылка на комментарий
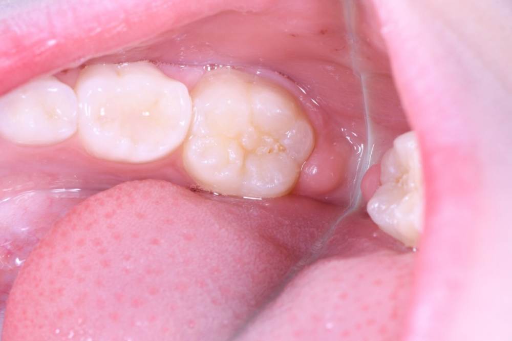
Svetlana Koveshnikova Опубликовано 31 августа, 2021 Автор Поделиться Опубликовано 31 августа, 2021 Уважаемые доктора, спасибо огромное, что отвечаете!!! Ваши ответы очень ценны! Но мучают вопросы, зачем ребёнку высверлили такую большую дырку, при мизерном кариесе, ведь это коренной зуб и могло бы КТ 3д подтвердить то, что нет необходимости столько высверливать? Лечили зуб в дорогой клинике Москвы, сложилось впечатление, что специально высверлили так много что бы повысить ценник лечения. Почему нельзя было почистить зуб на уровне эмали и обойтись маленькой пломбочкой и потом загерметизировать зуб? Получается нет доказательств того, что была необходимость в такой большой пломбе, на рентген снимке ведь вроде все чистое. Ссылка на комментарий
1586Doc Опубликовано 31 августа, 2021 Поделиться Опубликовано 31 августа, 2021 (изменено) 7 часов назад, Svetlana Koveshnikova сказал: Уважаемые доктора, спасибо огромное, что отвечаете!!! Ваши ответы очень ценны! Но мучают вопросы, зачем ребёнку высверлили такую большую дырку, при мизерном кариесе, ведь это коренной зуб и могло бы КТ 3д подтвердить то, что нет необходимости столько высверливать? Лечили зуб в дорогой клинике Москвы, сложилось впечатление, что специально высверлили так много что бы повысить ценник лечения. Почему нельзя было почистить зуб на уровне эмали и обойтись маленькой пломбочкой и потом загерметизировать зуб? Получается нет доказательств того, что была необходимость в такой большой пломбе, на рентген снимке ведь вроде все чистое. К сожалению так часто бывает. Мы начинаем снимать пораженные ткани и полость уходить все глубже. Если доктор хороший ( как в Вашем случае) он хорошо очистит полость и уберет все пораженные ткани. А вот если врач не качественно выполнит свою работу, не очистит ткани до твердого дентина, Вы получите рецидив кариеса или еще более крупное осложнение. Работу доктора считаю качественной. Изменено 31 августа, 2021 пользователем 1586Doc 1 Ссылка на комментарий
Sier10 Опубликовано 1 сентября, 2021 Поделиться Опубликовано 1 сентября, 2021 31.08.2021 в 15:20, Svetlana Koveshnikova сказал: Уважаемые доктора, спасибо огромное, что отвечаете!!! Ваши ответы очень ценны! Но мучают вопросы, зачем ребёнку высверлили такую большую дырку, при мизерном кариесе, ведь это коренной зуб и могло бы КТ 3д подтвердить то, что нет необходимости столько высверливать? Лечили зуб в дорогой клинике Москвы, сложилось впечатление, что специально высверлили так много что бы повысить ценник лечения. Почему нельзя было почистить зуб на уровне эмали и обойтись маленькой пломбочкой и потом загерметизировать зуб? Получается нет доказательств того, что была необходимость в такой большой пломбе, на рентген снимке ведь вроде все чистое. рекомендую вам так не переживать. доверьтесь доктору, который все сделал правильно, все отвечающие на форуме подвердили эту правоту. КТ часто дает шумовые помехи при просмотре и ставить диагноз Кариес по нему нельзя. прицельный снимок в этом отношении более информативен. если вас беспокоят потраченные деньги, не нужно их жалеть - доктор провел работу для вашего ребёнка качественно, надел коффердам и работал с микроскопом. по поводу маленького кариеса и большой полости, специально для вас нарисовал схему распространения кариеса. дентин всегда поражается кариесом быстрее (а у детей - вдвойне), чем эмаль. поэтому часто приходится сносить ползуба даже когда на зубе маленькая черная полосочка. 1 Ссылка на комментарий
dentikl Опубликовано 1 сентября, 2021 Поделиться Опубликовано 1 сентября, 2021 31.08.2021 в 15:20, Svetlana Koveshnikova сказал: зачем ребёнку высверлили такую большую дырку, а Ваша версия какая? Ссылка на комментарий
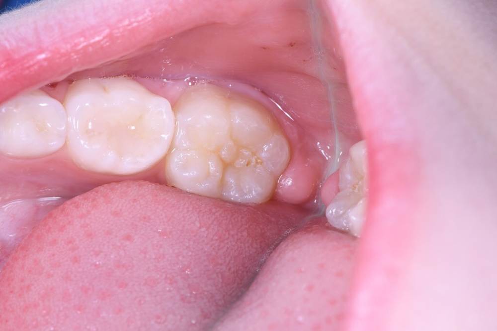
St. Опубликовано 1 сентября, 2021 Поделиться Опубликовано 1 сентября, 2021 Наверное из любви к искусству)) Я слабо представляю чтоб доктор от нечего делать что-то там пилил, тем более непоседливым детям.. У Вас же есть вся информация и даже фото до-после. Все сделано хорошо и качественно, по показаниям. Относитесь к этому проще: да, это расходы и да, кариес "съел" какую то часть зуба, но ведь хорошо что заметили сейчас (мог "съесть" и гораздо больше! и даже до нерва), и хорошо что качественно полечили. Поверьте, так будет надежнее и долговечнее. Чаще в практике встречается обратная ситуация, когда ребенок сидит плохо, ему кое как что смогли и успели попилили и закрыли сверху пломбой, а потом о-па! и через пару лет рецидив или того хуже пульпит. Ссылка на комментарий
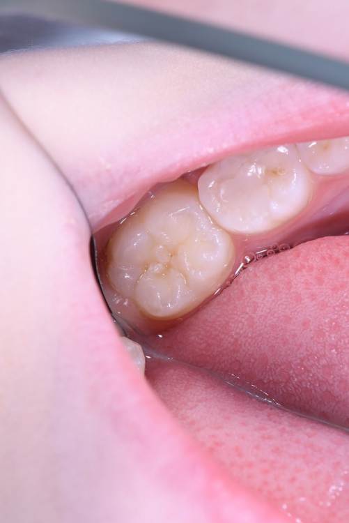
Svetlana Koveshnikova Опубликовано 21 марта, 2022 Автор Поделиться Опубликовано 21 марта, 2022 Уважаемые врачи! Подскажите пожалуйста, сбоку на этом зубе как то странно загерметизировали слепую ямку сбоку зуба , в ней кариеса не было, ее на мой взгляд не понятно по какой причине раскрыли аксидом алюминия и закрыли композитным материалом Estelit. В будущем что будет с зубом в этом месте, придётся если композит отойдёт зуб в этом месте сверлить и ставить пломбу или так как поверхность не жевательная есть вероятность что он будет стоять очень много лет и не придётся сверлить? Скорее всего вообще не стоило герметизировать в этом месте зуб, получается герметик равно в будущем пломба? Ссылка на комментарий
red_butler Опубликовано 21 марта, 2022 Поделиться Опубликовано 21 марта, 2022 все правильно сделано, слепая ямка такой же восприимчивый для кариеса участок как и фиссуры, успокойтесь и отпустите ситуацию, гипер контроль доведет до депрессии Ссылка на комментарий
Svetlana Koveshnikova Опубликовано 22 марта, 2022 Автор Поделиться Опубликовано 22 марта, 2022 Спасибо за ответ!!! А что будет потом с этой слепой ямкой, получается туда поставили обычную пломбу, она не долговечна, когда начнёт отходить придётся сверлить и ставить пломбу? Получается зачем было трогать место где не было кариеса, если потом сверлить придётся. Ссылка на комментарий
red_butler Опубликовано 22 марта, 2022 Поделиться Опубликовано 22 марта, 2022 2 минуты назад, Svetlana Koveshnikova сказал: Спасибо за ответ!!! А что будет потом с этой слепой ямкой, получается туда поставили обычную пломбу, она не долговечна, когда начнёт отходить придётся сверлить и ставить пломбу? Получается зачем было трогать место где не было кариеса, если потом сверлить придётся. герметик даст эмали "созреть", ребенок выработает навыки индивидуальной гигиены и в будущем пломба не понадобиться Ссылка на комментарий
Svetlana Koveshnikova Опубликовано 22 марта, 2022 Автор Поделиться Опубликовано 22 марта, 2022 Но боковую ямку сбоку зуба если увеличили пескоструем (рондофлексом), никак не пойму зачем это сделал врач? По протоколу при герметизации сначала обычная чистка, потом обработка кислотой без пескоструя, если там нет кариеса, а там сбоку зуба его не было, что в этом случае? Ведь герметик - это та же пломба, в нашем случае там даже не герметик, а жидкий Estelit, тоже по непонятной мне причине установили, она же все равно будет отходить со временем? Придётся все же высверливать ещё больше, что бы потом прикрепить новый материал? И это в одной из крупнейших клиник Москвы работают такие врачи? 1 Ссылка на комментарий
Рекомендуемые сообщения
Для публикации сообщений создайте учётную запись или авторизуйтесь
Вы должны быть пользователем, чтобы оставить комментарий
Создать аккаунт
Зарегистрируйте новый аккаунт в нашем сообществе. Это очень просто!
Регистрация нового пользователяВойти
Уже есть аккаунт? Войти в систему.
Войти