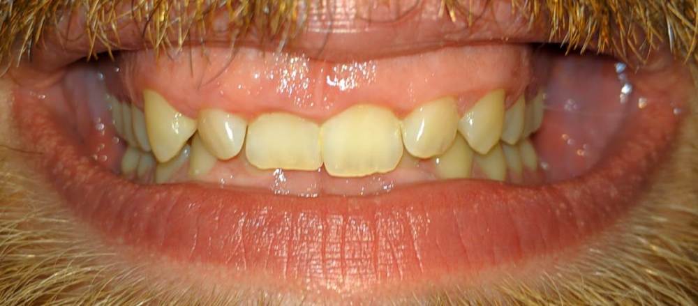
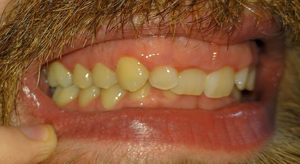
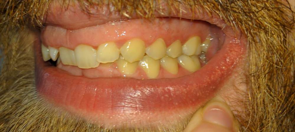
krivozyb Опубликовано 19 августа, 2021 Поделиться Опубликовано 19 августа, 2021 Здравствуйте. Есть 2 проблемы, которые мучают уже давно: кривые зубы и десневая улыбка. Решил, что пришло время это все исправлять. В голове каша, буду очень благодарен, если поможете разобраться. 1) Гуглил, но толком не понял, к какому врачу нужно обращаться с проблемой десневой улыбки? Ортодонт? 2) Я так понимаю в моем случае десневая улыбка вызвана тем, что десна слишком разрослась и тут поможет гингивэктомия? 3) Сначала начинать с исправления десневой улыбки, а потом брекеты или нет разницы в каком порядке? 4) Можно ли после брекетов и коррекции десневой улыбки поставить виниры? Ссылка на комментарий
АнтонТЛТ Опубликовано 19 августа, 2021 Поделиться Опубликовано 19 августа, 2021 У Вас могут быть проблемы с установкой брекетов/элайнеров. Сначала нужно будет сделать гингивэктомию, потом ортодонтия, а потом уже думать о винирах. 3 Ссылка на комментарий
Марья Моревна Опубликовано 19 августа, 2021 Поделиться Опубликовано 19 августа, 2021 (изменено) ИМХО. После лечения брекетами десна нередко оказывается не там, где была до (рецессии). Возможно, есть смысл провести эктомию при постортодонтическом положении зубов и десны. Зафиксировать брекет-систему сразу на обе челюсти не получится. Начинать надо с верхней, возможно, использовать интрузионную дугу. Позже подключать нижнюю. Когда зубки выравняются, и десну подкорректируют (хирург), виниры можно ставить. А можно и не ставить) Обратитесь к ортодонту за консультацией. Изменено 19 августа, 2021 пользователем Марья Моревна 1 Ссылка на комментарий
Bier Опубликовано 24 августа, 2021 Поделиться Опубликовано 24 августа, 2021 Сначала хирургическое удлинение зубов (то что вы назвали гингивэктомией) потом ортодонтия, потом виниры. Ссылка на комментарий
krokomot Опубликовано 25 августа, 2021 Поделиться Опубликовано 25 августа, 2021 Немного объясню, сперва делается диагностика, потом на основании ее составляется план ортодонтического лечения, затем для правильного позиционирования брекет системы необходимо провести гингивотомию, чем угодно, скальпелем или лазером или еще чем)). после проведения ортодонтического лечения проводится ортопедическое лечение, безметалловыми конструкциями, виниры или коронки, по выбору ортопеда. По поводу рецессии при ортодонтическом лечении, то с вашим биотипом десны её вероятность критически мала. Ссылка на комментарий
krivozyb Опубликовано 1 сентября, 2021 Автор Поделиться Опубликовано 1 сентября, 2021 Всем спасибо за помощь❤️ 1 Ссылка на комментарий
Рекомендуемые сообщения
Для публикации сообщений создайте учётную запись или авторизуйтесь
Вы должны быть пользователем, чтобы оставить комментарий
Создать аккаунт
Зарегистрируйте новый аккаунт в нашем сообществе. Это очень просто!
Регистрация нового пользователяВойти
Уже есть аккаунт? Войти в систему.
Войти