lola-1234 Опубликовано 15 августа, 2021 Поделиться Опубликовано 15 августа, 2021 Девочке 9 лет. Обнаружила на передних резцах кариес. Причём зубы заставляю чистить как положено 2 раза в день. Сама проверяю чтобы налёта на зубах не оставалось. Нитью не пользовались. Вот теперь печальный результат Теперь нужно только сверлить? Или есть в нашем случае менее инвазивные методы лечения? Ссылка на комментарий
St. Опубликовано 15 августа, 2021 Поделиться Опубликовано 15 августа, 2021 Добрый день. Да, нужно сверлить и ставить пломбы. По поводу гигиены нужно улучшать, т.к.даже по этому фото видно что зубы в мягком налете. Попробуйте для контроля периодически пользоваться индикатором налета в растворе или в таблетках, он подсказывает каким местам при чистке уделять больше внимания. Зубная нить тоже нужна 2 2 Ссылка на комментарий
Марья Моревна Опубликовано 15 августа, 2021 Поделиться Опубликовано 15 августа, 2021 Присоединяюсь к мнению доктора! Вы же сами понимаете, что с нитью недоработка. Есть мнение, что до 10 лет детям должны чистить зубы родители. По крайней мере, сходите к врачу, чтобы обучил и показал, как правильно чистить. Убрать из рациона сладкие газированные напитки.Отдельная посуда для питья ребенку. Чаще мыть руки, не грызть ногти, ручки и т.д. Меньше сладостей, больше белка, овощей, молочных продуктов. Все остальные зубы тоже проверить надо. 2 1 Ссылка на комментарий
lola-1234 Опубликовано 15 августа, 2021 Автор Поделиться Опубликовано 15 августа, 2021 (изменено) 28 минут назад, Марья Моревна сказал: Присоединяюсь к мнению доктора! Вы же сами понимаете, что с нитью недоработка. Есть мнение, что до 10 лет детям должны чистить зубы родители. По крайней мере, сходите к врачу, чтобы обучил и показал, как правильно чистить. Убрать из рациона сладкие газированные напитки.Отдельная посуда для питья ребенку. Чаще мыть руки, не грызть ногти, ручки и т.д. Меньше сладостей, больше белка, овощей, молочных продуктов. Все остальные зубы тоже проверить надо. Я очень слежу за питанием, стараюсь рыбу морскую покупать, в ней фосфора много и чтобы побольше молочных продуктов ела. Мясо вообще каждый день обязательно ест. Газировку и всякие чипы не едим. Сладкое конечно любит, сложно запретить ребёнку. Обычно 1-2раза в день что-то сладкое съедает. Скорей всего за гигиеной не уследила. Очень сожалею. ? У неё ещё скачек роста, за год на 10 см вытянулась. Не знаю, может быть это тоже как-то связано. Изменено 15 августа, 2021 пользователем lola-1234 1 Ссылка на комментарий
lola-1234 Опубликовано 15 августа, 2021 Автор Поделиться Опубликовано 15 августа, 2021 1 час назад, St. сказал: Добрый день. Да, нужно сверлить и ставить пломбы. По поводу гигиены нужно улучшать, т.к.даже по этому фото видно что зубы в мягком налете. Попробуйте для контроля периодически пользоваться индикатором налета в растворе или в таблетках, он подсказывает каким местам при чистке уделять больше внимания. Зубная нить тоже нужна Я её днем фотографировала. Между чистками, налёт уже успел видимо снова появиться. Про индикаторы налёта, это интересная идея. Спасибо. Ссылка на комментарий
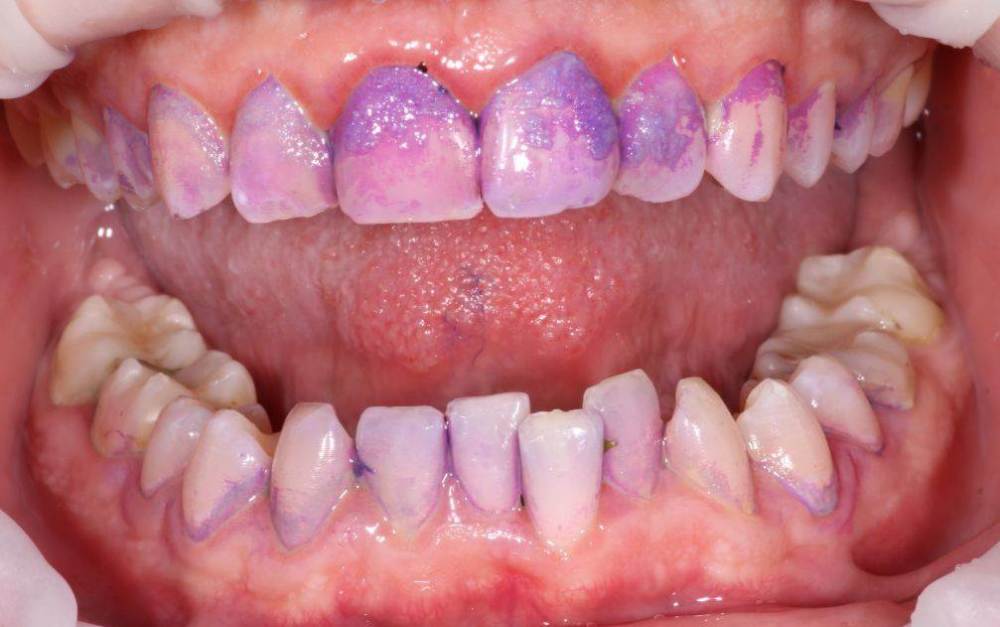
St. Опубликовано 15 августа, 2021 Поделиться Опубликовано 15 августа, 2021 Выглядит примерно так. То есть налет на зубах прокрашивается, причем у некоторых фирм есть градация окраски налета от его давности(об этом пишут в инструкции). Губы и язык в случае таблеток тоже могут окрашиватся, не пугайтесь, они потом смываются. И очень аккуратно, по принципу пищевых красителей если попадет на ткань или на пористые поверхности мебели может плохо смываться. Удобнее всего или в жидком смочить ватную палочку или сухую таблетку разделить и часть(четверть или чуть меньше) растворить в капельке воды в какой-то емкости и потом так точно окунуть ватную палочку и провести по зубам. Если разжевывать - во первых перерасход, во вторых язык и губы потом тоже прокрасятся временно. Запоминаете а еще лучше фотографируете где накапливается налет. После окраски идете чистить зубы обычной щеткой- пастой. Потом через неделю например красите после чистки и проверяете качество самостоятельной гигиены, при необходимости дочищаете. 1 Ссылка на комментарий
lola-1234 Опубликовано 15 августа, 2021 Автор Поделиться Опубликовано 15 августа, 2021 А какой фирмы индикаторы для налёта посоветуете? Или это не важно? Ссылка на комментарий
St. Опубликовано 19 августа, 2021 Поделиться Опубликовано 19 августа, 2021 Не сильно важно, какой найдете Ссылка на комментарий
Рекомендуемые сообщения
Для публикации сообщений создайте учётную запись или авторизуйтесь
Вы должны быть пользователем, чтобы оставить комментарий
Создать аккаунт
Зарегистрируйте новый аккаунт в нашем сообществе. Это очень просто!
Регистрация нового пользователяВойти
Уже есть аккаунт? Войти в систему.
Войти