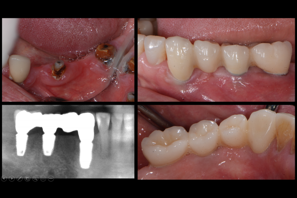
Карен Аванесов Опубликовано 3 августа, 2021 Поделиться Опубликовано 3 августа, 2021 (изменено) 1 визит хирургический протокол 2 визит оттиски 3 визит фиксация моста Какой бы нибыл приятный в общении пациент, частые встречи утомляют, думаю это обоюдно и со стороны пациентов (бесконечные хождения), так вот, если можно сократить количество визитов, почему бы это не сделать? Изменено 3 августа, 2021 пользователем Карен Аванесов 5 1 1 Ссылка на комментарий
NickBulin Опубликовано 14 августа, 2021 Поделиться Опубликовано 14 августа, 2021 Здравствуйте! Во время операций делаете ли r-снимки с пинами для контроля направления и заглубления? В данной работе хирургический протокол включал работу с мягкими тканями? Ссылка на комментарий
dentikl Опубликовано 14 августа, 2021 Поделиться Опубликовано 14 августа, 2021 03.08.2021 в 13:29, Карен Аванесов сказал: 1 визит хирургический протокол 2 визит оттиски 3 визит фиксация моста Какой бы нибыл приятный в общении пациент, частые встречи утомляют, думаю это обоюдно и со стороны пациентов (бесконечные хождения), так вот, если можно сократить количество визитов, почему бы это не сделать? здравствуйте.На что клеили (если клеили)циркон?(если циркон). Ссылка на комментарий
Карен Аванесов Опубликовано 30 августа, 2021 Автор Поделиться Опубликовано 30 августа, 2021 14.08.2021 в 08:49, NickBulin сказал: Здравствуйте! Во время операций делаете ли r-снимки с пинами для контроля направления и заглубления? В данной работе хирургический протокол включал работу с мягкими тканями? Здравствуйте. Нет снимков не делал, после удаления и установкм имплантата в область клыка это был ориентир и пластику мягкотканную не использовал в данном ситуации. 14.08.2021 в 18:21, dentikl сказал: здравствуйте.На что клеили (если клеили)циркон?(если циркон). Здравствуйте. Да, Вы правы все циркон, циркон к циркону фиксирюю на жидклтекучий композит, после спиртовой ватки, пока ничего не "отлетало". Ссылка на комментарий
dentikl Опубликовано 30 августа, 2021 Поделиться Опубликовано 30 августа, 2021 9 часов назад, Карен Аванесов сказал: Здравствуйте. Да, Вы правы все циркон, циркон к циркону фиксирюю на жидклтекучий композит, после спиртовой ватки, пока ничего не "отлетало". Циркон к циркону под десной на жидкотекучий-просто Вы фартовый Ссылка на комментарий
Карен Аванесов Опубликовано 28 сентября, 2021 Автор Поделиться Опубликовано 28 сентября, 2021 30.08.2021 в 23:03, dentikl сказал: Циркон к циркону под десной на жидкотекучий-просто Вы фартовый Механическая ретенция при идеально выполненом моделировании, как говорится хоть на сопли, ну и расположение уступа абатмента на уровне десны, не затрудняет устранение излишков цемента. Ссылка на комментарий
dentikl Опубликовано 28 сентября, 2021 Поделиться Опубликовано 28 сентября, 2021 4 часа назад, Карен Аванесов сказал: Механическая ретенция при идеально выполненом моделировании, как говорится хоть на сопли, ну и расположение уступа абатмента на уровне десны, не затрудняет устранение излишков цемента. Я не про излишки.Что такое-жидкотекучий?На какой именно? Ссылка на комментарий
Карен Аванесов Опубликовано 29 сентября, 2021 Автор Поделиться Опубликовано 29 сентября, 2021 28.09.2021 в 16:17, dentikl сказал: Я не про излишки.Что такое-жидкотекучий?На какой именно? Композит жидкий, революшн. Ссылка на комментарий
dentikl Опубликовано 29 сентября, 2021 Поделиться Опубликовано 29 сентября, 2021 вдвойне фартовый Ссылка на комментарий
Дмитрий Л. Опубликовано 1 октября, 2021 Поделиться Опубликовано 1 октября, 2021 ))) Ссылка на комментарий
Рекомендуемые сообщения
Для публикации сообщений создайте учётную запись или авторизуйтесь
Вы должны быть пользователем, чтобы оставить комментарий
Создать аккаунт
Зарегистрируйте новый аккаунт в нашем сообществе. Это очень просто!
Регистрация нового пользователяВойти
Уже есть аккаунт? Войти в систему.
Войти