rivezico Опубликовано 30 июля, 2021 Поделиться Опубликовано 30 июля, 2021 Добрый день! Пациент около 10 лет назад ставил имплантат. Решили переделать коронку. У пациента было в плане из той клиники написано "имплантат impro". В итоге решили взять для имплантиума слепочный трансфер. В дентал гуру сказали, что они взаимозаменяемы. Но трансфер сел, а вот винт не прикручивается. Скинули прицел имплантата в дентал гуру, нам сказали, что это не impro... Пациент пытается выяснить в той клинике, но того доктора уже нет и непонятно, получится ли выяснить спасибо) Ссылка на комментарий
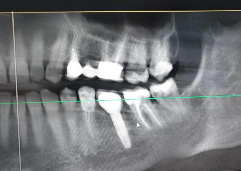
Irouil Опубликовано 30 июля, 2021 Поделиться Опубликовано 30 июля, 2021 Похоже на осстем Ссылка на комментарий
Doc Опубликовано 30 июля, 2021 Поделиться Опубликовано 30 июля, 2021 20 минут назад, Irouil сказал: Похоже на осстем Похоже. Отвертка от Астры должна подойти тогда. Ссылка на комментарий
Irouil Опубликовано 30 июля, 2021 Поделиться Опубликовано 30 июля, 2021 8 минут назад, Doc сказал: Похоже. Отвертка от Астры должна подойти тогда. А формик будто и есть астровский Ссылка на комментарий
Doc Опубликовано 30 июля, 2021 Поделиться Опубликовано 30 июля, 2021 А фото формирователя нет? Астру и Осстем сразу можно узнать. Ссылка на комментарий
АнтонТЛТ Опубликовано 30 июля, 2021 Поделиться Опубликовано 30 июля, 2021 Xive это, только формирователь не от него 1 Ссылка на комментарий
Irouil Опубликовано 31 июля, 2021 Поделиться Опубликовано 31 июля, 2021 Xive с конусом? И где полированная фаска? Ссылка на комментарий
АнтонТЛТ Опубликовано 31 июля, 2021 Поделиться Опубликовано 31 июля, 2021 1 час назад, Irouil сказал: Xive с конусом? И где полированная фаска? Без конуса, то что конусный фдм туда прикрутили, не значит, что сам интерфейс имплантата конусный) Фаска выше линии замера 2 Ссылка на комментарий
Doc Опубликовано 31 июля, 2021 Поделиться Опубликовано 31 июля, 2021 13 часов назад, АнтонТЛТ сказал: Xive это, только формирователь не от него А что, так можно было? :))) Ссылка на комментарий
АнтонТЛТ Опубликовано 31 июля, 2021 Поделиться Опубликовано 31 июля, 2021 (изменено) Можно и не такое) Изменено 31 июля, 2021 пользователем АнтонТЛТ 1 Ссылка на комментарий
rivezico Опубликовано 1 августа, 2021 Автор Поделиться Опубликовано 1 августа, 2021 30.07.2021 в 19:03, Doc сказал: А фото формирователя нет? Астру и Осстем сразу можно узнать. нету. это старого абатмента фото, и трансфера, который сел , но винт где не закручивался 31.07.2021 в 00:50, АнтонТЛТ сказал: Xive это, только формирователь не от него спасибо, будем пробовать) скажу ортопеду Ссылка на комментарий
АнтонТЛТ Опубликовано 1 августа, 2021 Поделиться Опубликовано 1 августа, 2021 Абатмент xive)) 1 Ссылка на комментарий
Рекомендуемые сообщения
Для публикации сообщений создайте учётную запись или авторизуйтесь
Вы должны быть пользователем, чтобы оставить комментарий
Создать аккаунт
Зарегистрируйте новый аккаунт в нашем сообществе. Это очень просто!
Регистрация нового пользователяВойти
Уже есть аккаунт? Войти в систему.
Войти