lola-1234 Опубликовано 28 октября, 2021 Автор Поделиться Опубликовано 28 октября, 2021 1 час назад, Irouil сказал: Если имплант интегрирован, то его удаление уже действительно ничего не даст По поводу судьбы зуба лучше спросить в терапевтической ветке форума Спасибо, я спрошу в другой ветке. Но может быть вы подскажите, что могло пойти не так? Наверно у вас тоже есть своя точка зрения. Просто я уже не знаю, что и думать. Ссылка на комментарий
Irouil Опубликовано 28 октября, 2021 Поделиться Опубликовано 28 октября, 2021 Я не могу сказать что пошло не так, ситуация действительно не очевидная покажите снимок, который Вы упомянули в предыдущем сообщении Я бы все равно не стал депульпировать зуб: цель этой процедуры состоит в том, чтобы очистить внутреннюю полость зуба от инфицированных тканей, из которых бактерии дальше распространяются за пределы зуба и вызывают воспаление в связке, из-за чего становится больно на зуб накусывать В Вашем же случае весь процесс выглядит развивающимся «наоборот» - есть периодонтальные симптомы, но при этом нет признаков некроза пульпы. Скорее всего, ее удаление ничего не даст Возможно, имеет смысл провести свежее КТ 1 Ссылка на комментарий
annda Опубликовано 29 октября, 2021 Поделиться Опубликовано 29 октября, 2021 (изменено) Хронический пульпит клыка это называется. Зуб еще жив, но не жилец в отдаленной перспективе.Ну нравится вам терпеть, ну терпите ,пока пульпа сама не развалится, и в периодонт и кость все это не поплывет рекой.Травма причина. Что- то прямо сказка про белого бычка, на колу мочало. Не при делах ваш имплантат. А , да. Когда пульпа помрет, боли и в самом деле пройдут, настанет долгожданное облегчение. Но начнет разрушаться кость вокруг клыка. Как народ любит говорить, начнет расти « киста».Зато не болит, какое облегчение. Пока « флюс» не вырастет или зуб не сломается. Изменено 29 октября, 2021 пользователем annda 1 Ссылка на комментарий
lola-1234 Опубликовано 29 октября, 2021 Автор Поделиться Опубликовано 29 октября, 2021 (изменено) 2 часа назад, annda сказал: Хронический пульпит клыка это называется. Зуб еще жив, но не жилец в отдаленной перспективе.Ну нравится вам терпеть, ну терпите ,пока пульпа сама не развалится, и в периодонт и кость все это не поплывет рекой.Травма причина. Что- то прямо сказка про белого бычка, на колу мочало. Не при делах ваш имплантат. А , да. Когда пульпа помрет, боли и в самом деле пройдут, настанет долгожданное облегчение. Но начнет разрушаться кость вокруг клыка. Как народ любит говорить, начнет расти « киста».Зато не болит, какое облегчение. Пока « флюс» не вырастет или зуб не сломается. Так я спрашивала про трещины на эмали. Ну трещинки конечно есть, но ничего криминального. Они на всех зубах у меня есть. Правда доктор не в микроскоп смотрела, а в бинокуляры. Или нужно всё же чтобы с микроскопом доктор посмотрел? Изменено 29 октября, 2021 пользователем lola-1234 Ссылка на комментарий
annda Опубликовано 29 октября, 2021 Поделиться Опубликовано 29 октября, 2021 да уже без разницы, кто и как будет смотреть.Ваши жалобы говорят сами за себя.Вам уже прикусывать больно на зуб.Там либо гангрена уже, либо гноя мешок.Вы на время антибиотиками только глушите слегка процесс, потом все заново. 1 Ссылка на комментарий
lola-1234 Опубликовано 29 октября, 2021 Автор Поделиться Опубликовано 29 октября, 2021 Всем большое спасибо, что отвечаете. Пойду теперь к эндодонту. Потом отпишусь. Ссылка на комментарий
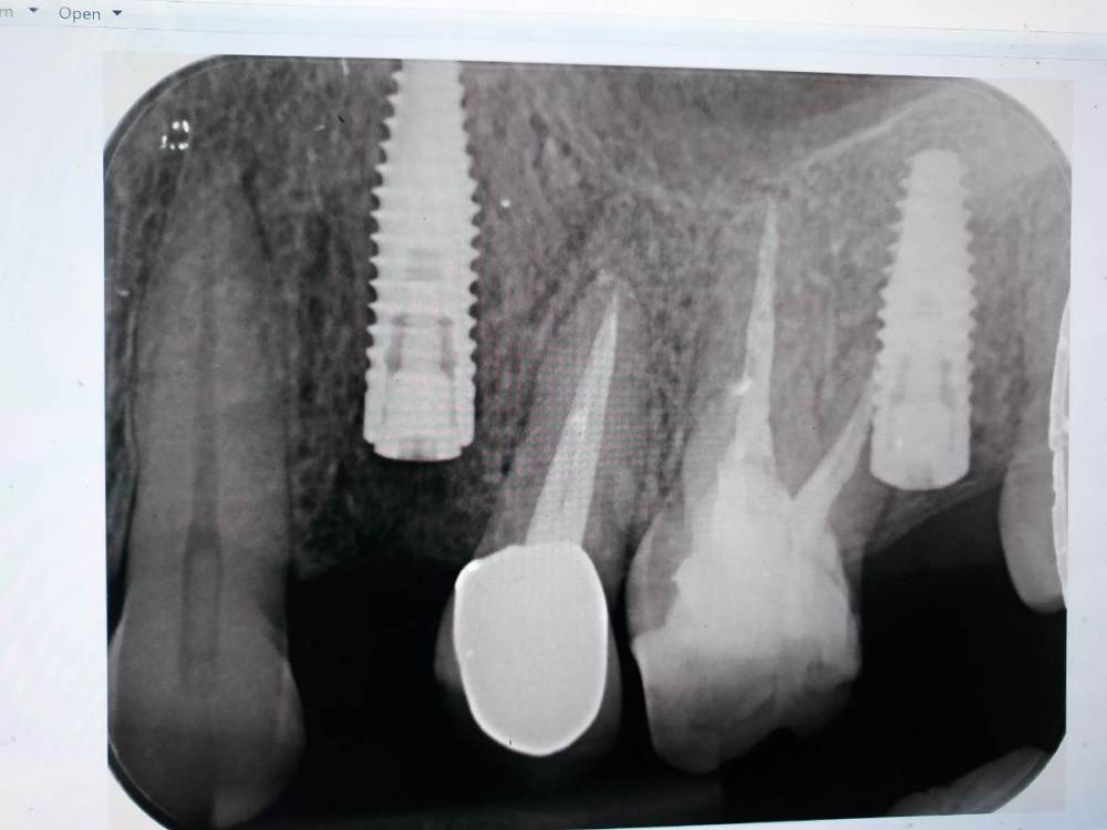
lola-1234 Опубликовано 29 октября, 2021 Автор Поделиться Опубликовано 29 октября, 2021 (изменено) 23 часа назад, Irouil сказал: Я не могу сказать что пошло не так, ситуация действительно не очевидная покажите снимок, который Вы упомянули в предыдущем сообщении Да вот тот же снимок, новый пока не делали. P.S. Спасибо Irouil, что поделились своими мыслями Изменено 29 октября, 2021 пользователем lola-1234 Ссылка на комментарий
lola-1234 Опубликовано 8 декабря, 2021 Автор Поделиться Опубликовано 8 декабря, 2021 (изменено) Была я у эндодонта. Снова сделали снимок. Врач сказала,что не видит причин трогать зуб. Ищите проблему в имплантате. Может быть все же нерв повредили. Короче, это прикол как-будто какой-то. Куда теперь идти и что делать? Честно, знала бы что всё так будет, ни за что бы не поставила себе имплант. Изменено 8 декабря, 2021 пользователем lola-1234 Ссылка на комментарий
Irouil Опубликовано 8 декабря, 2021 Поделиться Опубликовано 8 декабря, 2021 А имплант Ваш точно интегрирован? Не хочется искать чёрную кошку в темной комнате, но этот снимок нравится мне меньше предыдущих Ссылка на комментарий
lola-1234 Опубликовано 8 декабря, 2021 Автор Поделиться Опубликовано 8 декабря, 2021 (изменено) Ну мой хирург, сказал что прижился. Он же мне формирователь ставил. Кстати, со стороны импланта тухловатый привкус немного есть. А что со снимком не так? Изменено 8 декабря, 2021 пользователем lola-1234 Ссылка на комментарий
Irouil Опубликовано 8 декабря, 2021 Поделиться Опубликовано 8 декабря, 2021 Я бы посоветовал попробовать ещё одну консультацию на стороне получить - теперь, когда формирователь уже установлен, очный осмотр даст больше возможности для диагностики. Ссылка на комментарий
lola-1234 Опубликовано 9 декабря, 2021 Автор Поделиться Опубликовано 9 декабря, 2021 11 часов назад, Irouil сказал: Я бы посоветовал попробовать ещё одну консультацию на стороне получить - теперь, когда формирователь уже установлен, очный осмотр даст больше возможности для диагностики. Поняла. Пойду ещё к одному хирургу. Ссылка на комментарий
Bier Опубликовано 12 декабря, 2021 Поделиться Опубликовано 12 декабря, 2021 крутаните имплантат на 40Нсм в любую сторону скорее всего он выкрутится. Ссылка на комментарий
Doc Опубликовано 13 декабря, 2021 Поделиться Опубликовано 13 декабря, 2021 08.12.2021 в 22:32, lola-1234 сказал: Была я у эндодонта. Снова сделали снимок. Врач сказала,что не видит причин трогать зуб. Ищите проблему в имплантате. Может быть все же нерв повредили. Короче, это прикол как-будто какой-то. Куда теперь идти и что делать? Честно, знала бы что всё так будет, ни за что бы не поставила себе имплант. Делаете характерную ошибку. Не нужно винить во всем имплантат, он то при чем?! Миллионы людей по всему миру нормально жуют исключительно благодаря имплантации. Если вы поскользнулись на льду, то виновата не зима, а дворник либо вы сами. 1 Ссылка на комментарий
lola-1234 Опубликовано 13 декабря, 2021 Автор Поделиться Опубликовано 13 декабря, 2021 (изменено) 56 минут назад, Doc сказал: Делаете характерную ошибку. Не нужно винить во всем имплантат, он то при чем?! Миллионы людей по всему миру нормально жуют исключительно благодаря имплантации. Если вы поскользнулись на льду, то виновата не зима, а дворник либо Знаете ,мне очень не хочется лишиться импланта, потому что ходить без зуба в зоне улыбки так себе удовольствие. Но и с воспалением и болью жить тоже не радостно. Два стоматолога (из них эндодонтист) сказали, что удалять нерв из зуба не нужно. Если это не зуб, значит проблема в импланте. Все логично. Мне очень печально от того, что что-то пошло не так. Скоро пойду к своему хирургу, будем решать,что делать. Изменено 13 декабря, 2021 пользователем lola-1234 Ссылка на комментарий
lola-1234 Опубликовано 13 декабря, 2021 Автор Поделиться Опубликовано 13 декабря, 2021 11 часов назад, Bier сказал: крутаните имплантат на 40Нсм в любую сторону скорее всего он выкрутится. Это как, самой что-ли? ? Ссылка на комментарий
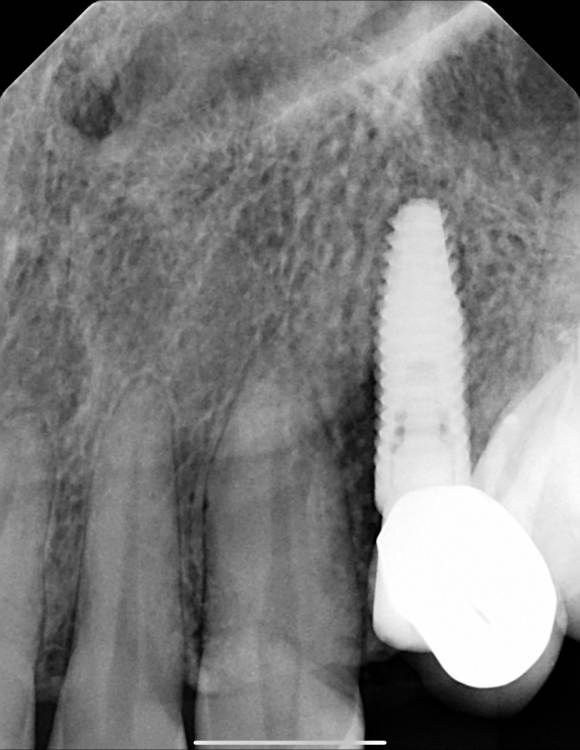
lola-1234 Опубликовано 13 декабря, 2021 Автор Поделиться Опубликовано 13 декабря, 2021 08.12.2021 в 23:13, Irouil сказал: Я бы посоветовал попробовать ещё одну консультацию на стороне получить - теперь, когда формирователь уже установлен, очный осмотр даст больше возможности для диагностики. Была у ещё одного хирурга, он сказал что по снимку видно буд-то от импланта отошла кость. Имплант не шатается. Возможно имплант можно ещё спасти, пролечить воспаление. Но это нужно снимать формирователь и смотреть. Пойду скоро к своему хирургу. Ссылка на комментарий
Bier Опубликовано 13 декабря, 2021 Поделиться Опубликовано 13 декабря, 2021 не надо спасать имплантат пусть хирург снимет формирователь и даст нормальный торк на выкручивание 2 Ссылка на комментарий
Irouil Опубликовано 13 декабря, 2021 Поделиться Опубликовано 13 декабря, 2021 (изменено) @lola-1234 Я хочу сказать, что Ваш снимок (последний) выглядит неоднозначно. Есть выраженная радиопрозрачность (потемнение на снимке) между зубом и имплантом, что может говорить о его «неполной» интеграции. Проверить это можно только так, как описывает @Bier - попробовать его выкрутить с определенным усилием. Если имплант его не выдерживает, то спасать там нечего - он все равно Вас подведёт, лучше раньше, чем позже. Очень часто врачи не проверяют интеграцию имплантов инструментально (так, как описано выше) и очень редко, но могут быть ложно-отрицательные результаты - имплант вроде стоит крепко, не шатается, но после протезирования через короткое время подводит. Именно поэтому мы тут обсуждаем эту важную, но очень маленькую деталь - проверку «торком». Тем не менее, на этом же снимке вдоль шейки зуба со стороны импланта видна костная ткань, что может говорить о простом артефакте снимка в том месте, которое выглядит как «отошедшая кость» - возможно, что и имплант интегрирован, и все вообще там здорово. Тогда нужно будет его протезировать, смысла удалять его уже не будет, скорее всего он проблем не вызывает. Но, в такой ситуации, до протезирования я бы сходил на Вашем месте к неврологу и поискал бы вместе с доктором причину болей. Изменено 13 декабря, 2021 пользователем Irouil 1 Ссылка на комментарий
lola-1234 Опубликовано 13 декабря, 2021 Автор Поделиться Опубликовано 13 декабря, 2021 Я поняла. А от торка кость не сломается? Кстати, мне Врач-эндодонтист тоже говорила, что возможно задели какой-то нерв. Поэтому могут быть эти боли. А так вообще все врачи у которых я была говорят, что ситуация не однозначная. Ссылка на комментарий
Irouil Опубликовано 13 декабря, 2021 Поделиться Опубликовано 13 декабря, 2021 @lola-1234 от такого, о котором идёт речь (35-40 Н*см) здоровая кость не пострадает, это для неё несущественная нагрузка. Вообще, в верхней челюсти в области установленного импланта нет магистральных нервов, повреждение которых способно вызывать подобную симптоматику. 1 Ссылка на комментарий
lola-1234 Опубликовано 13 декабря, 2021 Автор Поделиться Опубликовано 13 декабря, 2021 (изменено) Всем неравнодушным спасибо )) Может быть у меня иммунитет бунтует. Просто странно это всё Изменено 13 декабря, 2021 пользователем lola-1234 Ссылка на комментарий
Bier Опубликовано 17 декабря, 2021 Поделиться Опубликовано 17 декабря, 2021 челюсть не сломается даже на торке 300. Вообще я бы удалил вам имплантат, чем уже полгода вести эту тему. 1 Ссылка на комментарий
Рекомендуемые сообщения
Для публикации сообщений создайте учётную запись или авторизуйтесь
Вы должны быть пользователем, чтобы оставить комментарий
Создать аккаунт
Зарегистрируйте новый аккаунт в нашем сообществе. Это очень просто!
Регистрация нового пользователяВойти
Уже есть аккаунт? Войти в систему.
Войти