lola-1234 Опубликовано 12 августа, 2021 Автор Поделиться Опубликовано 12 августа, 2021 39 минут назад, annda сказал: За эти две недели найдите врача с микроскопом ,пусть хорошо посмотрят.Расскажите про травмы. Я тоже к имплантатам отношусь как к расходному материалу.Но должен же быть какой-то здравый смысл в любом действии.От того,что вам выкрутят имплантат этот,ваш зуб не придет в себя обратно,это однозначно.Так зачем себя и свой организм обрекать на дополнительные нагрузки,мягко так скажем?Какой в этом смысл сакральный? Я о таком даже подумать не могла. Постараюсь найти такого специалиста, у которого микроскоп есть. Ссылка на комментарий
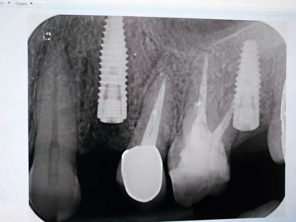
lola-1234 Опубликовано 12 августа, 2021 Автор Поделиться Опубликовано 12 августа, 2021 (изменено) Я прям заморочилась, нашла снимок 2017 года. И эта штука в зубе уже была. Но к счастью, больше камень не стал за это время. Изменено 12 августа, 2021 пользователем lola-1234 Ссылка на комментарий
annda Опубликовано 13 августа, 2021 Поделиться Опубликовано 13 августа, 2021 (изменено) Если честно, глядя на снимок, на фото зуба( на его цвет) , ваши жалобы и ваш анамнез( то , что вы сказали про травму), я вообще сомневаюсь , что клык был живой к моменту имплантации. Скорее всего, там уже был периодонтит,то есть мертвый он давно и безнадежно. А операция, манипуляции рядом с ним( удаление, сверление, установка имплантата) просто спровоцировали обострение хронического периодонтита в клыке, вот и все. Цвет одного клыка и другого, с противоположной стороны, одинаковый? Изменено 13 августа, 2021 пользователем annda Ссылка на комментарий
lola-1234 Опубликовано 13 августа, 2021 Автор Поделиться Опубликовано 13 августа, 2021 (изменено) 2 часа назад, annda сказал: Если честно, глядя на снимок, на фото зуба( на его цвет) , ваши жалобы и ваш анамнез( то , что вы сказали про травму), я вообще сомневаюсь , что клык был живой к моменту имплантации. Скорее всего, там уже был периодонтит,то есть мертвый он давно и безнадежно. А операция, манипуляции рядом с ним( удаление, сверление, установка имплантата) просто спровоцировали обострение хронического периодонтита в клыке, вот и все. Цвет одного клыка и другого, с противоположной стороны, одинаковый? Да, второй клык тоже желтовытый. У меня вообще клыки чуть желтее остальных зубов. Зуб реагирует на холодное, значит жив ещё. Изменено 13 августа, 2021 пользователем lola-1234 Ссылка на комментарий
annda Опубликовано 14 августа, 2021 Поделиться Опубликовано 14 августа, 2021 (изменено) Чтобы не получилось так, что соседний зуб реагирует на холодное , а вы думаете.что это он.При основных жалобах очень нехарактерно, что он еще на холодное реагирует, но совсем исключать нельзя , конечно. Нужна термопроба или ЭОД. Про цвет.Клыки всегда более насыщенного цвета. В вашем случае важно, чтобы они были одинаковыми по цвету. Изменено 14 августа, 2021 пользователем annda 1 Ссылка на комментарий
lola-1234 Опубликовано 14 августа, 2021 Автор Поделиться Опубликовано 14 августа, 2021 4 часа назад, annda сказал: Чтобы не получилось так, что соседний зуб реагирует на холодное , а вы думаете.что это он.При основных жалобах очень нехарактерно, что он еще на холодное реагирует, но совсем исключать нельзя , конечно. Нужна термопроба или ЭОД. Про цвет.Клыки всегда более насыщенного цвета. В вашем случае важно, чтобы они были одинаковыми по цвету. Спасибо большое. Обязательно пойду к врачу с микроскопом. Потом здесь отпишусь. Ссылка на комментарий
lola-1234 Опубликовано 14 августа, 2021 Автор Поделиться Опубликовано 14 августа, 2021 10 часов назад, annda сказал: Чтобы не получилось так, что соседний зуб реагирует на холодное , а вы думаете.что это он. ну так стоматолог же тест проводил, ватку чем то побрызгал и в зуб ткнул. Ссылка на комментарий
Bier Опубликовано 26 августа, 2021 Поделиться Опубликовано 26 августа, 2021 я так то не уверен, что зуб мертвый. Депульпирование - необратимый процесс, если зуб живой, то получится невосполнимый вред. Я за удаление имплантата. Новый всегда можно поставить, а вот нерв в зубе снова не появится. Ссылка на комментарий
lola-1234 Опубликовано 28 августа, 2021 Автор Поделиться Опубликовано 28 августа, 2021 27.08.2021 в 01:05, Bier сказал: я так то не уверен, что зуб мертвый. Депульпирование - необратимый процесс, если зуб живой, то получится невосполнимый вред. Я за удаление имплантата. Новый всегда можно поставить, а вот нерв в зубе снова не появится. Зуб точно живой. Несколько врачей сказали, так же тестировали на холод. Удалять нерв пока не буду точно. Это только самый крайний случай. Просто я раньше соглашалась на удаление нервов из зубов. Вообще не знала о последствиях такой процедуры. Кстати тройка стала болеть меньше. Это радует. Я ещё чувствую дискомфорт, но уже лучше. Мой хирург сказал, что это кость из-за импланта давит на соседний зуб. Так как кость на верхней челюсти пористая, а лунка для импланта тоньше, чем сам имплант. Посмотрим, что будет дальше Ссылка на комментарий
dentikl Опубликовано 28 августа, 2021 Поделиться Опубликовано 28 августа, 2021 13.08.2021 в 08:39, lola-1234 сказал: Да, второй клык тоже желтовытый. . а покажете фото обоих клыков? Ссылка на комментарий
lola-1234 Опубликовано 25 сентября, 2021 Автор Поделиться Опубликовано 25 сентября, 2021 Кому интересно, рассказываю как у меня дела Боль в зубе поутихла, но совсем не прошла. Она тупая, а если на зуб не давить, то вроде бы так и не болит. Просто на последнем приёме врач сказал, что на снимке всё хорошо и если мы удалим сейчас его (а удалять будут трипаном ?), мы потеряем много кости и потом при новой постановке импланта, нужно будет ставить коронку глубже. Эстетически-это уже будет ни так красиво. Я так что-то подумала, и решила снова ждать с моря погоды. Вдруг лучше станет. Может я зря теряю время? Ссылка на комментарий
Irouil Опубликовано 25 сентября, 2021 Поделиться Опубликовано 25 сентября, 2021 Очень маловероятно, что имплант с верхней челюсти через 2 месяца придётся удалять травматично. Подобное происходит только если имплант уже интегрирован, но в таком случае и ждать больше было бы нечего - его можно было бы раскрывать и протезировать. Скорее всего, имплант на этом этапе ещё можно просто выкрутить тем же инструментом, которым его установили. Я считаю описанный Вами аргумент несостоятельным. Надо проверять зуб на витальность и я бы рекомендовал сделать прицельный рентген снимок в области импланта: если зуб болит только при накусывании на него - либо болит не он, а кость вокруг импланта, либо зуб уже мёртв и болит его связка (в таком случае тест на витальность будет отрицательным) Ссылка на комментарий
Bier Опубликовано 29 сентября, 2021 Поделиться Опубликовано 29 сентября, 2021 зуб проверили же. витальный. Ссылка на комментарий
lola-1234 Опубликовано 7 октября, 2021 Автор Поделиться Опубликовано 7 октября, 2021 (изменено) В пятницу сделали новый снимок имплантов. У меня не получается доктора убедить достать имплант. Он считает, что все нормально и уже 26го октября можно ставить формировать. Каждый раз объясняет причины того, что болит зуб,чем-то новым. Похоже он сам не знает. Сказал, что возможно заглушка у импланта на месте четвёртого зуба выкрутилась, это видно даже на снимке.Это вызывает воспаление. Мол как только заглушку он вынет, и вкрутит формировать боли пройдут. Мол 95 процентов все будет хорошо. А у меня надкостница вся от зуба болит, я уже сама лёд к зубу приложила, не чувствует уже ничего ? Я незнаю, может мне к другому хирургу идти и доставать имплант? Или уже поздно? Или всё же нужно своему хирургу довериться? Изменено 7 октября, 2021 пользователем lola-1234 Ссылка на комментарий
Irouil Опубликовано 7 октября, 2021 Поделиться Опубликовано 7 октября, 2021 На снимках явных проблем не видно Вы до сих пор предпочитали терпеть дискомфорт и/или боли, прошло уже целых 3 месяца. Скорее всего, за оставшиеся несколько недель ничего необратимого уже не произойдёт Ссылка на комментарий
lola-1234 Опубликовано 7 октября, 2021 Автор Поделиться Опубликовано 7 октября, 2021 (изменено) 1 час назад, Irouil сказал: 1 час назад, Irouil сказал: 1 час назад, Irouil сказал: На снимках явных проблем не видно Вы до сих пор предпочитали терпеть дискомфорт и/или боли, прошло уже целых 3 месяца. Скорее всего, за оставшиеся несколько недель ничего необратимого уже не произойдёт да просто доктор, все время говорит- Ну вы подождите 2 недельки боль пройдёт. Не прошло? Ну ничего, это наверно из-за этого-этого, давайте ещё подождём две недельки, всё потом будет хорошо. опять болит? Потом прописал антибиотики, опять ждём, чтобы стало хорошо.... Вот почти три месяца прошло. Всё надеюсь, что будет хорошо И сейчас вот говорит, что нужно до 26 числа подождать и поставить формировать и боль пройдёт, 95 процентов. Удалять не хочет, я уже много раз просила. Мило улыбается и говорит нужно подождать. Изменено 7 октября, 2021 пользователем lola-1234 Ссылка на комментарий
red_butler Опубликовано 7 октября, 2021 Поделиться Опубликовано 7 октября, 2021 1 час назад, Irouil сказал: На снимках явных проблем не видно +1 Ссылка на комментарий
lola-1234 Опубликовано 7 октября, 2021 Автор Поделиться Опубликовано 7 октября, 2021 (изменено) У меня вопрос, как формировать поможет устранить боль? Или мой хирург просто так тянет время? Изменено 7 октября, 2021 пользователем lola-1234 Ссылка на комментарий
red_butler Опубликовано 7 октября, 2021 Поделиться Опубликовано 7 октября, 2021 Во время установки формирователя проверяется интеграция импланта, если он не интегрирован то его удалят 1 Ссылка на комментарий
lola-1234 Опубликовано 7 октября, 2021 Автор Поделиться Опубликовано 7 октября, 2021 (изменено) можно глупый вопрос? Внутри импланта между заглушкой есть какая-то жидкость? Может быть из импланта что-то подтекает и вызывает воспаление? Изменено 7 октября, 2021 пользователем lola-1234 Ссылка на комментарий
red_butler Опубликовано 7 октября, 2021 Поделиться Опубликовано 7 октября, 2021 1 час назад, lola-1234 сказал: Внутри импланта между заглушкой есть какая-то жидкость? нет Ссылка на комментарий
lola-1234 Опубликовано 13 октября, 2021 Автор Поделиться Опубликовано 13 октября, 2021 Я обошла ещё двух врачей. Один молодой парень сказал, что по снимкам всё хорошо. И прописал снова антибиотики попить. Второй дедушка, очень внимательный оказался. Спросил о всех симптомах, я рассказала что болит зуб и надкостница над зубом. О том что ещё появились странные ощущение в хрящу носа. Не боль, но очень не приятно. Такого раньше не было. Он сказал, что похоже на инфекцию. Но и удалять имплант не стал рекомендовать, потому что в кости останется большая дырка. И уже как раньше имплант не поставишь. В общем ситуация не простая. Тоже сказал, что нужно поставить формировать. Там видно будет. Придётся ждать 26го числа. Ссылка на комментарий
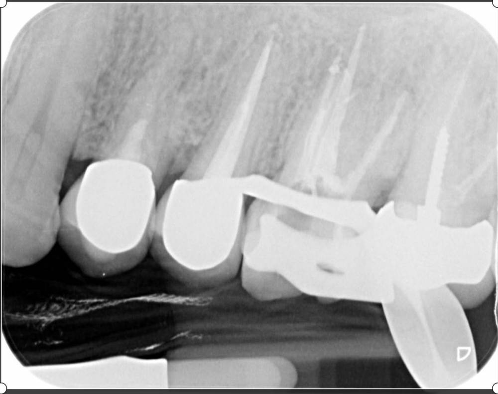
lola-1234 Опубликовано 28 октября, 2021 Автор Поделиться Опубликовано 28 октября, 2021 (изменено) Снова пишу вам на форум. Уже не знаю,что делать. Рассказываю. Установили мне формирователи, импланты оба прижились. А вот моя проблемма никуда не делась ? Зуб так и болит, причём дергающая боль по ощущением там где заканчивается кончик корня. На зуб укусить не возможно, больно. Мой хирург не верит, что болит из-за импланта. Говорит,что стоит хорошо, далеко от зуба. Имплант прижился, значит инфекции нет. Кстати как оказалось, зуб ещё живой. Мне опять его протестировали на холод. Видимо я тогда рано запаниковала. Но на снимке возле корня уже видно затемнение. Но что вызвало его воспаление не понятно. Мне врач предлагает удалять нерв. А там посмотрим. Если будет болеть дальше, то тогда выкручивать уже имплант придётся. А если мы выкрутим сначала имплант, а зуб так и будет болеть, то это худший сценарий. А мне так жалко клык. Он же тогда мертвый станет. ? Так и живу с болью, не решаюсь зуб депульпировать. Никто из врачей мне точно не может сказать что делать. Похоже ситуация не стандартная, и врачи сами не знают в чём причина. Изменено 28 октября, 2021 пользователем lola-1234 Ссылка на комментарий
lola-1234 Опубликовано 28 октября, 2021 Автор Поделиться Опубликовано 28 октября, 2021 (изменено) И ещё, врач предполагает,что возможно после удаления зуба осталась в кости инфекция. И она теперь перешла на зуб. Но это все только догадки. Как мне поступить? Как лечиться? Пожалуйста посоветуйте. Изменено 28 октября, 2021 пользователем lola-1234 Ссылка на комментарий
Irouil Опубликовано 28 октября, 2021 Поделиться Опубликовано 28 октября, 2021 Если имплант интегрирован, то его удаление уже действительно ничего не даст По поводу судьбы зуба лучше спросить в терапевтической ветке форума Ссылка на комментарий
Рекомендуемые сообщения
Для публикации сообщений создайте учётную запись или авторизуйтесь
Вы должны быть пользователем, чтобы оставить комментарий
Создать аккаунт
Зарегистрируйте новый аккаунт в нашем сообществе. Это очень просто!
Регистрация нового пользователяВойти
Уже есть аккаунт? Войти в систему.
Войти