lola-1234 Опубликовано 22 июля, 2021 Поделиться Опубликовано 22 июля, 2021 Здравствуйте, дорогие доктора! Очень нуждаюсь в вашем мнении. Поставили мне сегодня два импланта. Когда увидела снимок установленных имплантов, засомневалась правильно ли врач их установил. Четверка была удалена 2 месяца назад, корни зуба были такой же длинны, что и у пятерки. 1. Как мне кажется, врач установил имплат очень глубоко,под самую гайморовую пазуху. Врач сказал, так как у меня было воспаление после удаление зуба, , поэтому он врутил поглубже, там кость "получше" . Не разумней было бы, просто подождать с имплантацией пару месяцев, и затем вкрутить имплант не столь инвазивно? имплант был 12мм, радиус 4 2. хорошо ли стоит имплант вместо 7ки? Всем спасибо Ссылка на комментарий
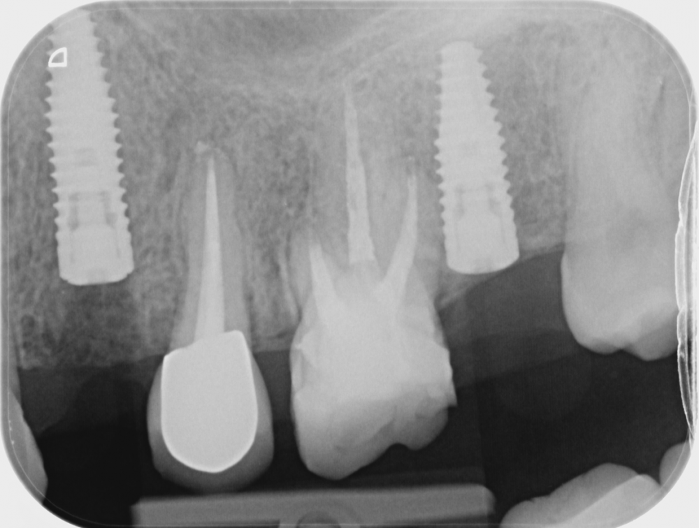
Bier Опубликовано 22 июля, 2021 Поделиться Опубликовано 22 июля, 2021 все отлично, на месте 7ки можно было чуть глубже. Ссылка на комментарий
lola-1234 Опубликовано 2 августа, 2021 Автор Поделиться Опубликовано 2 августа, 2021 Bier спасибо за внимание к моему посту Меня на самом деле беспокоит непроходящая боль в клыке. Она появилась после имплантации и до сих пор не проходит. Болит при накусывании, в области кости болит, дёргает немного. А так зуб живой и здоровый, без пломб. Ходила сегодня на приём к врачу, он сделал снимок, и сказал что все выглядит хорошо. Сделал тест на холод на тройке, вроде реагирует , но слабо как-то. Врач говорит, мол всё ок, должно пройти. А я вот чувствую, что что-то не то. Ну не может же зуб без причины так болеть. А у меня ещё как назло, поездка важная через два дня, уезжаю месяца на 1,5 . К врачу соответственно своему не смогу попасть. Очень боюсь потерять тройку. У меня только передние в нормальном состоянии зубы. Хочется хоть их до старости сберечь. Что мне делать с зубом? Ссылка на комментарий
lola-1234 Опубликовано 2 августа, 2021 Автор Поделиться Опубликовано 2 августа, 2021 implant.tiff Ссылка на комментарий
red_butler Опубликовано 3 августа, 2021 Поделиться Опубликовано 3 августа, 2021 по снимку все нормально, нужно очно смотреть Ссылка на комментарий
lola-1234 Опубликовано 3 августа, 2021 Автор Поделиться Опубликовано 3 августа, 2021 (изменено) ещё гайморовую пазуху со стороны импланта стало закладывать. Как будто там что-то застряло. И как будто ноздря левая хуже дышать стала. Прям печалька ? Но больше всего меня беспокоит именно соседний зуб. Изменено 3 августа, 2021 пользователем lola-1234 Ссылка на комментарий
lola-1234 Опубликовано 3 августа, 2021 Автор Поделиться Опубликовано 3 августа, 2021 1 час назад, red_butler сказал: по снимку все нормально, нужно очно смотреть Да с виду зуб как зуб . Но нажимать на него очень больно. Если не нажимать на него, то все равно постоянный дискомфорт, боль тупая, ноющая. Надкостница тоже побаливает при нажатии. Зуб вроде не шатается. реагирует на холодное, но слабо. Что посоветуете делать? С чем это может быть связано. Спасибо. Ссылка на комментарий
lola-1234 Опубликовано 5 августа, 2021 Автор Поделиться Опубликовано 5 августа, 2021 ну есть же тут знающие люди? 1 Ссылка на комментарий
Irouil Опубликовано 5 августа, 2021 Поделиться Опубликовано 5 августа, 2021 Знающие есть. Ясновидцев нет. Снимки выглядят адекватно, при наличии описанных Вами жалоб нужны клинические тесты и пробы, которые проводятся на очном осмотре - что и сказал выше мой коллега @red_butler Ссылка на комментарий
lola-1234 Опубликовано 6 августа, 2021 Автор Поделиться Опубликовано 6 августа, 2021 (изменено) 05.08.2021 в 11:36, Irouil сказал: Знающие есть. Ясновидцев нет. Снимки выглядят адекватно, при наличии описанных Вами жалоб нужны клинические тесты и пробы, которые проводятся на очном осмотре - что и сказал выше мой коллега @red_butler В общем сходила, я к другому врачу на консультацию чтобы он меня очно посмотрел. Мне постучали по нему, опять проверили на реакцию на холод. Потом врач, посмотрел на снимок и сказал , что стоит имплантат хорошо. Назвал две возможные причины болей в соседнем от имплантата зубе: Первый вариант. Возможно имплантат задел нерв соседнего зуба, так как имплантат стоит довольно глубоко. Хотя это маловероятно, потому что между имплантом и зубом 3 мм кости. Но все же этот вариант нельзя исключать. ( надеюсь я правильно все поняла) Второй вариант ( более вероятный). Это то что к имплантату присоединилась инфекция. От имплантата идёт воспаление, поэтому соседний зуб реагирует. На вопрос, как быть дальше, сказал- попробуйте попить антибиотики. Мой же стоматолог не хочет убирать имплант, хотя я уже сама ему это предложила, т.к. устала терпеть боль. Он категорически против и тоже сказал мне пить антибиотики. В общем пью теперь ударную дозу антибиотика в надежде , что воспаление пройдёт. Плохо только то, что у меня грудной ребёнок и кроме груди он ничего не ест, смесь не стал пить, плачет ? P.S. Антибиотики после имплантации не пила, так как кормлю грудью. Врач тогда сказал, что можно и без них . Изменено 6 августа, 2021 пользователем lola-1234 Ссылка на комментарий
lola-1234 Опубликовано 9 августа, 2021 Автор Поделиться Опубликовано 9 августа, 2021 (изменено) 05.08.2021 в 09:32, lola-1234 сказал: Четвёртый день пью амоксиклав 1000 мг 2 раза в день. Чуть полегче боль стала, но совсем не ушла. Связалась с врачем, он сказал, что имплант тут не причём, он хорошо стоит.А зуб нужно дипульпировать, ему уже ничего не поможет. неужели это правильное решение? Зуб жалко, здоровый был Я пока отказалась от удаления нерва, решила здесь сначала спросить. Изменено 9 августа, 2021 пользователем lola-1234 Ссылка на комментарий
Irouil Опубликовано 10 августа, 2021 Поделиться Опубликовано 10 августа, 2021 Если имплант инфицировался, то его лучше удалять сейчас. Антибиотики принесут облегчение и предовратят осложнения, но причина останется. Бывает, что боли в тканях появляются из-за неинфекционного воспаления. В такой ситуации они держатся пару недель, а потом проходят, но зачастую это приводит к потере импланта в отдалённой перспективе, поэтому я в таких ситуациях предпочитаю импланты удалять (но это не абсолютное показание). Ну и спешить депульпировать зуб я бы не стал, конечно. Это не хирургу такие решения принимать. 1 Ссылка на комментарий
lola-1234 Опубликовано 10 августа, 2021 Автор Поделиться Опубликовано 10 августа, 2021 3 часа назад, Irouil сказал: lrouil, спасибо за совет Ссылка на комментарий
annda Опубликовано 10 августа, 2021 Поделиться Опубликовано 10 августа, 2021 На снимке в пульпарной камере клыка рентгенпозитивное образование.Похоже на петрификат пульпы,в народе называемое камнем.Возможно,он вызывает такое раздражение в нерве. Ссылка на комментарий
lola-1234 Опубликовано 10 августа, 2021 Автор Поделиться Опубликовано 10 августа, 2021 1 час назад, annda сказал: На снимке в пульпарной камере клыка рентгенпозитивное образование.Похоже на петрификат пульпы,в народе называемое камнем.Возможно,он вызывает такое раздражение в нерве. Ничего себе . А от куда этот камень там взялся? Это плохо? Ссылка на комментарий
lola-1234 Опубликовано 10 августа, 2021 Автор Поделиться Опубликовано 10 августа, 2021 (изменено) 05.08.2021 в 09:32, lola-1234 сказал: 14 часов назад, Irouil сказал: Если имплант инфицировался, то его лучше удалять сейчас. Антибиотики принесут облегчение и предовратят осложнения, но причина останется. Бывает, что боли в тканях появляются из-за неинфекционного воспаления. В такой ситуации они держатся пару недель, а потом проходят, но зачастую это приводит к потере импланта в отдалённой перспективе, поэтому я в таких ситуациях предпочитаю импланты удалять (но это не абсолютное показание). Ну и спешить депульпировать зуб я бы не стал, конечно. Это не хирургу такие решения принимать. Так мой врач об удалении импланта ничего слышать не хочет, говорит у вас в третьем зубе инфекция и нужно зуб открыть чтобы "снять с него напряжение". И сказал, что нужно потом месяца 2 еще подождать, посмотреть, что да как. А от куда в здоровом зубе инфекция взялась, мне не понятно. Врач тоже ничего не смог объяснить. Но сказал, что ситуация не стандартная. Изменено 10 августа, 2021 пользователем lola-1234 Ссылка на комментарий
lola-1234 Опубликовано 10 августа, 2021 Автор Поделиться Опубликовано 10 августа, 2021 (изменено) 8 минут назад, lola-1234 сказал: Изменено 10 августа, 2021 пользователем lola-1234 Ссылка на комментарий
annda Опубликовано 12 августа, 2021 Поделиться Опубликовано 12 августа, 2021 Зуб стерт.Возможно,на травму на хроническуюНа температуру.Пульпа так реагирует на любые виды раздражений.Процесс хронический,длительный.Но однажды выстреливает в виде пульпита. Ссылка на комментарий
lola-1234 Опубликовано 12 августа, 2021 Автор Поделиться Опубликовано 12 августа, 2021 (изменено) 2 часа назад, annda сказал: Зуб стерт.Возможно,на травму на хроническуюНа температуру.Пульпа так реагирует на любые виды раздражений.Процесс хронический,длительный.Но однажды выстреливает в виде пульпита. Ясно. спасибо у меня маленькие дети, они часто мне по зубам давали, аж искры из глаз не специально конечно. Бывает посадишь ребёнка на колени, чтобы одеть сандалик.А он ни с того ни с сего, затылком мне по зубам как стукнет. Не всегда увернуться успеваешь. Вроде как игра такая у него или протест. Изменено 12 августа, 2021 пользователем lola-1234 Ссылка на комментарий
lola-1234 Опубликовано 12 августа, 2021 Автор Поделиться Опубликовано 12 августа, 2021 (изменено) Снова сходила к своему хирургу на приём, Он предложил подпилить немного зуб, чтобы снизить на него давление. Я отказалась, потому что я на этот зуб и так не кусаю так как больно на него надавливать ,не то что кусать. Потом он опять предложил удалить нерв в зубе, я отказалась, аргументировав тем,что зуб болеть у меня начал после установки импланта. А после удаления и вообще когда там еще зуб был не совсем здоровый, клык не беспокоил вообще никак. Он спорить не стал. Сказал придти ещё через 2 недели. Если боль не уменьшится, будем решать что делать дальше. Он надеется, что боль уменьшится. Да и отпуск у него на 2 недели с понедельника. Ещё 2 недели... капец просто. Столько терпеть. Скажите, какие могут быть у этого последствия? Изменено 12 августа, 2021 пользователем lola-1234 Ссылка на комментарий
annda Опубликовано 12 августа, 2021 Поделиться Опубликовано 12 августа, 2021 Нерв погибнет сам,в канале будет инфекция,которая пойдет в окружающую кость.Уже сейчас есть реакция со стороны периодонта у клыка. Ссылка на комментарий
lola-1234 Опубликовано 12 августа, 2021 Автор Поделиться Опубликовано 12 августа, 2021 1 час назад, annda сказал: Нерв погибнет сам,в канале будет инфекция,которая пойдет в окружающую кость.Уже сейчас есть реакция со стороны периодонта у клыка. Блин, вообще печаль. Все люди как люди, а у меня постоянные проблемы с зубами. ? Скажите, а можно еще как-то зуб реанимировать пока он окончателно не помер? Потому что он без пломб, и эмаль прям до дентина не стерлась. Снаружи он вполне себе цел. Может ли воспаление от импланта убить нерв в зубе? Большое спасибо за внимание, к моей проблеме Ссылка на комментарий
annda Опубликовано 12 августа, 2021 Поделиться Опубликовано 12 августа, 2021 (изменено) Нет,не может.На снимке у вас вообще нет никакого воспаления вокруг имплантата.Имплантат очень биоинертная штука,пока закрыта от внешней среды,то ничего не вызывает,никаких реакций. Прямую связь с имплантатом установить очень проблематично,только если временную(заболел следом за имплантацией,ну что же,с таким камнем в пульпе вполне имеет право). Скорее всего,никто ведь на ваш клык в микроскоп не смотрел.Раз говорите,что по зубу как следует получали ,да не один раз,то скорее всего трещины есть,в эмали и дентине.Через них инфекция в пульпу и пришла.Камень является результат сопротивления инфекции,пульпа защищается таким образом.Вам бы надо молиться не о том,чтобы нерв остался живым,а чтобы трещин на корне и цементе корня не было.Тогда вы вообще без зуба останетесь,трещины корней никто не лечит,это невозможно. Скорее,воспаление от зуба убьет ваш имплантат. Изменено 12 августа, 2021 пользователем annda Ссылка на комментарий
lola-1234 Опубликовано 12 августа, 2021 Автор Поделиться Опубликовано 12 августа, 2021 7 минут назад, annda сказал: Нет,не может.На снимке у вас вообще нет никакого воспаления вокруг имплантата.Имплантат вообще очень биоинертная штука,пока закрыта от внешней среды,то ничего не вызывает,никаких реакций. Прямую связь с имплантатом установить очень проблематично,только если временную(заболел следом за имплантацией,ну что же,с таким камнем в пульпе вполне имеет право). Скорее всего,никто ведь на ваш клык в микроскоп не смотрел.Раз говорите,что по зубу как следует получали ,да не один раз,то скорее всего трещины есть,в эмали и дентине.Через них инфекция в пульпу и пришла,камень как результат сопротивления инфекции,пульпа защищается таким образом.Вам бы надо молиться не о том,чтобы нерв остался живым,а чтобы трещин на корне и цементе корня не было.Тогда вы вообще без зуба останетесь. Скорее,воспаление от зуба убьет ваш имплантат. Спасибо. Да имплант железяка, ещё поставлю если нужно будет. А вот зуб новый уже не вырастит. Ссылка на комментарий
annda Опубликовано 12 августа, 2021 Поделиться Опубликовано 12 августа, 2021 (изменено) За эти две недели найдите врача с микроскопом ,пусть хорошо посмотрят.Расскажите про травмы. Я тоже к имплантатам отношусь как к расходному материалу.Но должен же быть какой-то здравый смысл в любом действии.От того,что вам выкрутят имплантат этот,ваш зуб не придет в себя обратно,это однозначно.Так зачем себя и свой организм обрекать на дополнительные нагрузки,мягко так скажем?Какой в этом смысл сакральный? Изменено 12 августа, 2021 пользователем annda 1 Ссылка на комментарий
Рекомендуемые сообщения
Для публикации сообщений создайте учётную запись или авторизуйтесь
Вы должны быть пользователем, чтобы оставить комментарий
Создать аккаунт
Зарегистрируйте новый аккаунт в нашем сообществе. Это очень просто!
Регистрация нового пользователяВойти
Уже есть аккаунт? Войти в систему.
Войти