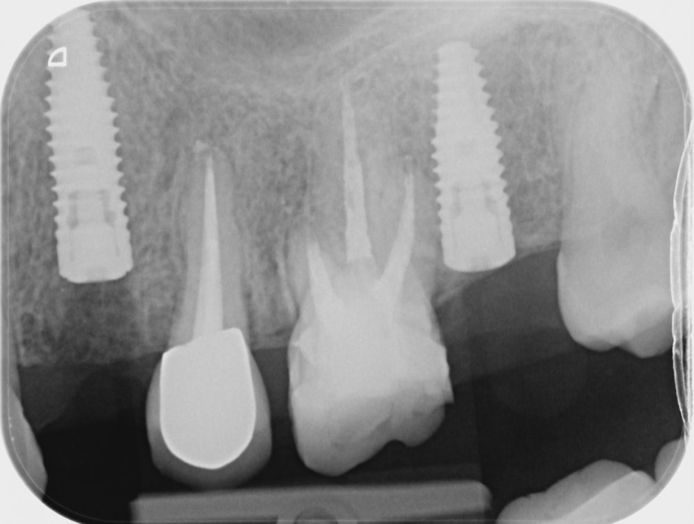
lola-1234 Опубликовано 22 июля, 2021 Поделиться Опубликовано 22 июля, 2021 Здравствуйте, дорогие доктора! Очень нуждаюсь в вашем мнении. Поставили мне сегодня два импланта. Когда увидела снимок установленных имплантов, засомневалась правильно ли врач их установил. Четверка была удалена 2 месяца назад, корни зуба были такой же длинны, что и у пятерки. 1. Как мне кажется, врач установил имплат очень глубоко,под самую гайморовую пазуху. Врач сказал, так как у меня было воспаление после удаление зуба, , поэтому он врутил поглубже, там кость "получше" . Не разумней было бы, просто подождать с имплантацией пару месяцев, и затем вкрутить имплант не столь инвазивно? имплант был 12мм, радиус 4 2. хорошо ли стоит имплант вместо 7ки? Всем спасибо :) Ссылка на комментарий
lola-1234 Опубликовано 22 июля, 2021 Автор Поделиться Опубликовано 22 июля, 2021 я кажется не в тот раздел написала ? Ссылка на комментарий
kramer Опубликовано 22 июля, 2021 Поделиться Опубликовано 22 июля, 2021 Все нормально 1 Ссылка на комментарий
lola-1234 Опубликовано 22 июля, 2021 Автор Поделиться Опубликовано 22 июля, 2021 19 минут назад, kramer сказал: Все нормально вы бы так же поступили? Ссылка на комментарий
dentikl Опубликовано 22 июля, 2021 Поделиться Опубликовано 22 июля, 2021 нет.Я бы не перепроверял бы врача,которому доверил свое здоровье.Это-нехорошо 2 Ссылка на комментарий
lola-1234 Опубликовано 22 июля, 2021 Автор Поделиться Опубликовано 22 июля, 2021 (изменено) 25 минут назад, dentikl сказал: нет.Я бы не перепроверял бы врача,которому доверил свое здоровье.Это-нехорошо Я же не за нравоучениями сюда написала. Мне важно мнение других врачей касательно моей операции. Изменено 22 июля, 2021 пользователем lola-1234 1 Ссылка на комментарий
Рекомендуемые сообщения
Для публикации сообщений создайте учётную запись или авторизуйтесь
Вы должны быть пользователем, чтобы оставить комментарий
Создать аккаунт
Зарегистрируйте новый аккаунт в нашем сообществе. Это очень просто!
Регистрация нового пользователяВойти
Уже есть аккаунт? Войти в систему.
Войти