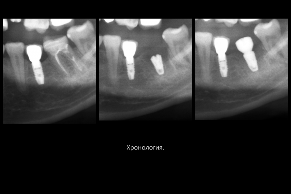
Карен Аванесов Опубликовано 16 июля, 2021 Поделиться Опубликовано 16 июля, 2021 Вариант герметизации послеоперационной раны, когда, хочется установить имплантат и сократить для пациента сроки реабилитации. Итак, "Астра" отличные имплантаты при хороших условиях работают, при экстремальных ситуациях выбор калибров сильно страдает и суживает возможности оператора (очевидно менеджерам не интересно будущее системы, эксклюзивная цацка профайл и маркетинговое продвижение на "озоне" это не то), как по мне, раздутый, абсолютно не удобный хирургический набор, не разделяю восторгов относительно эксклюзивности и предписуемым волшебным свойства, кость наросла! это только на "астре" так или только на анкилозе! На любой системе можно получать результаты. Представляю клинические случаи с одинаковыми условиями, но разными системами, там где "астра" не захотела первичной стабильности, в виду недостаточно широкой талии, "дентиум" диаметром 6мм встал бы на ура, но "астра" такой заказ ортопеда. 8 1 1 3 Ссылка на комментарий
koreandr Опубликовано 22 июля, 2021 Поделиться Опубликовано 22 июля, 2021 Еще пост не прочитал. Немного выпал из трендов. Но астратек на озоне... Там внатуре астра продается... Вот так прикол. Интересно смогут ли пациенты приносить имплантаты и просить поставить ? Ссылка на комментарий
Irouil Опубликовано 22 июля, 2021 Поделиться Опубликовано 22 июля, 2021 Да, уже где-то полгода они продают винты на озоне Ссылка на комментарий
koreandr Опубликовано 22 июля, 2021 Поделиться Опубликовано 22 июля, 2021 2 минуты назад, Irouil сказал: Да, уже где-то полгода они продают винты на озоне Так я и говорю что выпал из трендов) Раньше было модно на ебэй китайский аналог штрауманн продавать, теперь вот это вот все. Ссылка на комментарий
annda Опубликовано 22 июля, 2021 Поделиться Опубликовано 22 июля, 2021 Ну принесут они мне в ладошке Астру .И что? У меня ни набора,ни протокола,ничего. Скажу им:Приобретайте на Озоне физик,набор,большое зеркало,воду в аптеке ,скальпель побольше,и алга,удачи...Что получится,отпишись,друг. Неужели кто-то думает,что суть в титановом винте с Озона. 2 Ссылка на комментарий
koreandr Опубликовано 22 июля, 2021 Поделиться Опубликовано 22 июля, 2021 28 минут назад, annda сказал: Ну принесут они мне в ладошке Астру .И что? У меня ни набора,ни протокола,ничего. Скажу им:Приобретайте на Озоне физик,набор,большое зеркало,воду в аптеке ,скальпель побольше,и алга,удачи...Что получится,отпишись,друг. Неужели кто-то думает,что суть в титановом винте с Озона. а у вас среди пациентов не было ребят которые начинали рассказывать про накрутки стоматологов, закупочные цены на импланты и в таком духе? Я вроде как даже на форуме видел как доктору пациент какие-то саморезы приносил и просил вкрутить ? Ссылка на комментарий
annda Опубликовано 22 июля, 2021 Поделиться Опубликовано 22 июля, 2021 (изменено) Были,но очень давно.Сейчас эта тема даже не обсуждается в кругу моих пациентов.Даже намеками. Изменено 22 июля, 2021 пользователем annda Ссылка на комментарий
koreandr Опубликовано 22 июля, 2021 Поделиться Опубликовано 22 июля, 2021 3 минуты назад, annda сказал: Были,но очень давно.Сейчас эта тема даже не обсуждается в кругу моих пациентов.Даже намеками.Когда ждут записи по 4-5 месяцев,не до выяснений закупочных цен на имплантаты:) Но было же! Я больше в том плане удивлен, что во всех инструкциях к имплантатам указано что только для специалистов, и дилеры говорили что с частными лицами дел не ведут. А тут то озон. Или может там какая то верификация нужна для стоматологов. Ссылка на комментарий
annda Опубликовано 22 июля, 2021 Поделиться Опубликовано 22 июля, 2021 Да сомневаюсь я,что верификация нужна.Плевать Озону на это все,это просто маркетплейс,им надо продавать,и чем больше,тем лучше. Отличился Дентсплай,конечно...Видать,все плохо в консерватории. Ссылка на комментарий
Bier Опубликовано 22 июля, 2021 Поделиться Опубликовано 22 июля, 2021 я выберу астру Ссылка на комментарий
Карен Аванесов Опубликовано 23 июля, 2021 Автор Поделиться Опубликовано 23 июля, 2021 11 часов назад, Bier сказал: я выберу астру Замечательно! Олег, а ты еще работаешь стоматологом? Мне понравился твой подход про "копить" на образование для детей, это не новость, но разумно и то что ты подписку платную сделал в свой зарытый раздел, хороший бизнес план. Как ты эту тему начал развивать, много стоматологов куда то делось, в инвесторы наверно подались и это с гуманитарным складом ума, рискованно все же. Так что тебя еще можно считать санитаром леса)))) 1 Ссылка на комментарий
Bier Опубликовано 27 июля, 2021 Поделиться Опубликовано 27 июля, 2021 23.07.2021 в 13:36, Карен Аванесов сказал: Замечательно! Олег, а ты еще работаешь стоматологом? Мне понравился твой подход про "копить" на образование для детей, это не новость, но разумно и то что ты подписку платную сделал в свой зарытый раздел, хороший бизнес план. Как ты эту тему начал развивать, много стоматологов куда то делось, в инвесторы наверно подались и это с гуманитарным складом ума, рискованно все же. Так что тебя еще можно считать санитаром леса)))) Карен, это типа стеб? Я работаю, если что Поехал Астру крутить 1 Ссылка на комментарий
Карен Аванесов Опубликовано 29 июля, 2021 Автор Поделиться Опубликовано 29 июля, 2021 27.07.2021 в 09:53, Bier сказал: Карен, это типа стеб? Я работаю, если что Поехал Астру крутить Олег и да и нет. Приходилось иметь дело с лудоманами, просто дерево, при этом проблем не признают, реальные наркоманы. У тебя все хорошо расписано и честно, я рад, что ты открыл для себя и не только, второе дыхание, на стыке взросления, переходного возраста, это нормальная эволюция современного человека и всячески желаю тебе благополучия, наработает Олег материала и уедет на острова с семьей например. Читать для общего развития, то что ты пишешь, это интересно для меня, но не более. А лудоманы (коих ты наплодить можешь), руководствуются большей степенью одноименным фильмом с Ди Каприо, от явного скудоумия, эти ж новоиспеченные брокеры и инвесторы, они и дрочат и нюхают порошки, все как в фильме... а результат один и он плачевный как правило... Это так флуд, но согласись, у "Астры" возможности уже. 1 Ссылка на комментарий
Bier Опубликовано 30 июля, 2021 Поделиться Опубликовано 30 июля, 2021 29.07.2021 в 19:30, Карен Аванесов сказал: Олег и да и нет. Приходилось иметь дело с лудоманами, просто дерево, при этом проблем не признают, реальные наркоманы. У тебя все хорошо расписано и честно, я рад, что ты открыл для себя и не только, второе дыхание, на стыке взросления, переходного возраста, это нормальная эволюция современного человека и всячески желаю тебе благополучия, наработает Олег материала и уедет на острова с семьей например. Читать для общего развития, то что ты пишешь, это интересно для меня, но не более. А лудоманы (коих ты наплодить можешь), руководствуются большей степенью одноименным фильмом с Ди Каприо, от явного скудоумия, эти ж новоиспеченные брокеры и инвесторы, они и дрочат и нюхают порошки, все как в фильме... а результат один и он плачевный как правило... Это так флуд, но согласись, у "Астры" возможности уже. я собственно всем говорю, что трейдинг для большинства - слив денег. Инвестиции - доход. Я веду один публичный портфель, состоящий только из дивидендных акций РФ и облигаций, уже 1,5 года. Внес 100000р и больше вообще не добавлял. Эксперимент на 10 лет. Сейчас портфель стоит 141000р ) Практически ничего не делаю с ним. Редко небольшие ребалансировки. Для меня возможность закрутить пассивно - огромный плюс ) Ссылка на комментарий
Карен Аванесов Опубликовано 2 августа, 2021 Автор Поделиться Опубликовано 2 августа, 2021 30.07.2021 в 22:23, Bier сказал: я собственно всем говорю, что трейдинг для большинства - слив денег. Инвестиции - доход. Я веду один публичный портфель, состоящий только из дивидендных акций РФ и облигаций, уже 1,5 года. Внес 100000р и больше вообще не добавлял. Эксперимент на 10 лет. Сейчас портфель стоит 141000р ) Практически ничего не делаю с ним. Редко небольшие ребалансировки. Для меня возможность закрутить пассивно - огромный плюс ) так большинство и играет, а кто то и шибко втягивается. Ссылка на комментарий
Карен Аванесов Опубликовано 21 февраля, 2022 Автор Поделиться Опубликовано 21 февраля, 2022 Дозрела костна ткань. Возвращаясь к вопросу о "волшебстве" брендовых систем.... Безусловно, молодому специалисту, через сопливый нос бубнить на консультации что от СТАВИТ страуманн, мобель или аштру, поднимает самомнение, окрыляет, иногда и до звездной болезни, помогает быстрее "заматереть,"но сути не меняет. Кость "подрастает" не только аштре например, что иногда демонстрируют с восторгом, но и на отстойном дентиуме тоже, и думаю и на отстойной альфа-био и т.д., т.е. все-же от условий зависит, пациента и конечно техника, что там как и дальше будет. Соберу кейс покажу вошебный рост на голых витках корейского народного ширпотреба)))) 1 Ссылка на комментарий
Карен Аванесов Опубликовано 21 февраля, 2022 Автор Поделиться Опубликовано 21 февраля, 2022 22.07.2021 в 19:21, annda сказал: Ну принесут они мне в ладошке Астру .И что? У меня ни набора,ни протокола,ничего. Скажу им:Приобретайте на Озоне физик,набор,большое зеркало,воду в аптеке ,скальпель побольше,и алга,удачи...Что получится,отпишись,друг. Неужели кто-то думает,что суть в титановом винте с Озона. К сожалению подавляющее большинство так и думает. Кстати, если все быстро, аккуратно (без разрезов) и с последующим мягким и безболезненным послоперационным периодом, то некоторые воспринимают это аномально, плохо значит сделана работа, мол типа, а где отек, боль, страдание, короче прошлое садо-мазо??? Некоторые видно хотят усложнения, что бы долго и больно, качественно))) 1 Ссылка на комментарий
Xamik68 Опубликовано 21 февраля, 2022 Поделиться Опубликовано 21 февраля, 2022 1 час назад, Карен Аванесов сказал: Некоторые видно хотят усложнения, что бы долго и больно, качественно))) Чем более горькая и противная таблетка, чем больнее укол, тем эффективнее)) 1 Ссылка на комментарий
Карен Аванесов Опубликовано 21 февраля, 2022 Автор Поделиться Опубликовано 21 февраля, 2022 2 часа назад, Xamik68 сказал: Чем более горькая и противная таблетка, чем больнее укол, тем эффективнее)) лекарство сладким не бывает Ссылка на комментарий
TIGER Опубликовано 23 февраля, 2022 Поделиться Опубликовано 23 февраля, 2022 @Карен Аванесов круто Карен?всё чётко и словом и делом)есть подобные кейсы тоже 1 Ссылка на комментарий
Рекомендуемые сообщения
Для публикации сообщений создайте учётную запись или авторизуйтесь
Вы должны быть пользователем, чтобы оставить комментарий
Создать аккаунт
Зарегистрируйте новый аккаунт в нашем сообществе. Это очень просто!
Регистрация нового пользователяВойти
Уже есть аккаунт? Войти в систему.
Войти