YnA Опубликовано 28 июня, 2021 Поделиться Опубликовано 28 июня, 2021 Добрый день! Хочу сохранить как можно больше зубов. Но 3 хирурга, у которых консультировалась сказали удалять кучу зубов((( Посмотрите, пожалуйста, Кт, дайте оценку. https://disk.yandex.ru/d/0rv54TX9XGxvwQ Ссылка на комментарий
wladdX Опубликовано 28 июня, 2021 Поделиться Опубликовано 28 июня, 2021 (изменено) Пожалуй, кое-что стоит удалить на в\челюсти и слева и справа Изменено 28 июня, 2021 пользователем wladdX Ссылка на комментарий
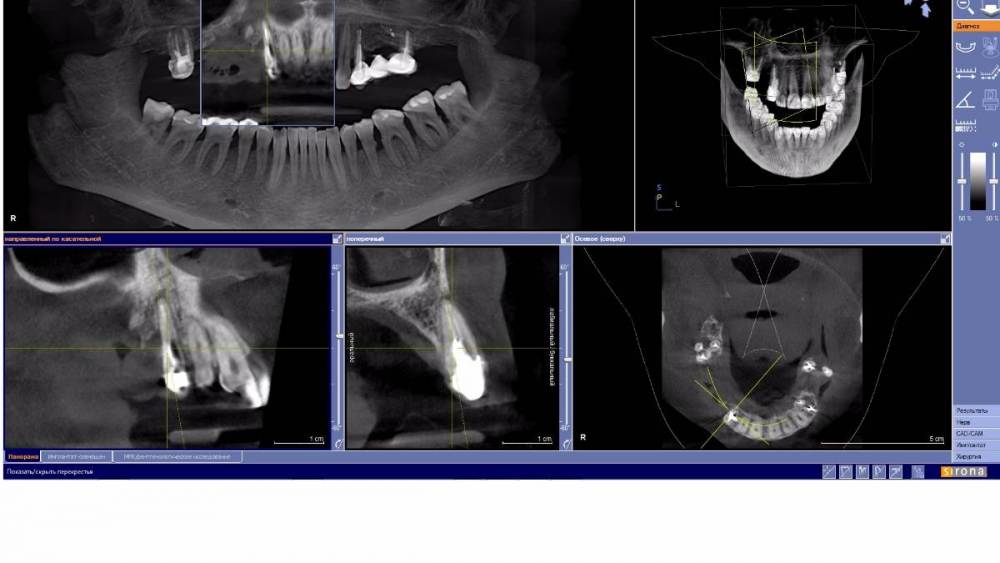
YnA Опубликовано 29 июня, 2021 Автор Поделиться Опубликовано 29 июня, 2021 wladdX, спасибо, что не прошли мимо! А конкретно что нужно удалить? Мне говорят 13,17,24,26. Ставить 7 имплантов. А на 17 и 26 есть воспаление? Можно ли делать синус лифтинг вместе с имплантами? Ссылка на комментарий
wladdX Опубликовано 29 июня, 2021 Поделиться Опубликовано 29 июня, 2021 Именно 13,17,24,26. Да, в области корней зубов 17 и 26 есть хронический воспалительный процесс. Да, во многих случаях возможно проведение имплантации при синус-лифтинге. В любом случае, принимать решение будет оперирующий Вас хирург. 1 Ссылка на комментарий
YnA Опубликовано 30 июня, 2021 Автор Поделиться Опубликовано 30 июня, 2021 Спасибо! А 13 и 24 тоже под удаление? Ссылка на комментарий
wladdX Опубликовано 30 июня, 2021 Поделиться Опубликовано 30 июня, 2021 Скорее всего. Ссылка на комментарий
Рекомендуемые сообщения
Для публикации сообщений создайте учётную запись или авторизуйтесь
Вы должны быть пользователем, чтобы оставить комментарий
Создать аккаунт
Зарегистрируйте новый аккаунт в нашем сообществе. Это очень просто!
Регистрация нового пользователяВойти
Уже есть аккаунт? Войти в систему.
Войти