Перейти к содержанию
Стоматология для всех

Боль 18 дней после имплантации! HELP!


Рекомендуемые сообщения

Уважаемые доктора!  Очень прошу вашего мнения!  Жить так больше невозможно, боль дикая, началась сразу после установки импланта 35 с одномоментным удалением зуба, который просто сломался от косточки вишни., там были тонкие стенки и пломба. Неделю я пила в огромных дозах кетонал, потом пошла на прием. Там сделали снимок, на котором им все понравилось. Нерв далеко. Вкололи дексаметазон (для снятия внутрикостнного отека). Эффекта хватило на полтора дня и боли вернулись. Кетонал перестал помогать вообще. Попробовала нурофен,  он хотя-бы на пару часов, но облегчал состояние. В день выпиваю штук 8.  И так уже 18 дней!  Последние три ночи уже не могу спать, просто ад. Своему врачу сообщила позавчера, что больше сил моих нет. Он сказал - до понедельника, пока очень занят или в отъезде. Ждать я не могла, вчера поехала в другую клинику просто на консультацию, где по новым снимкам доктор  уверенно предположил воспаление в зоне импланта и также соседнего 34 зуба(причина -имплант), а еще подвижность этого зуба и боль при постукивании. Вердикт - имплант срочно удалять. Соседний 34 под вопросом. Пока назначил пропить антибиотик и идти к своему врачу. Тогда я приезжаю в свою клинику, где мне это все делали, и присутствующий там терапевт, поговорив по телефону с моим хирургом, решил депульпировать 34, по его словам оттуда сразу потечет ручьем и снимется напряжение. Я согласилась. Но ничего не потекло при вскрытии вопреки предположениям, и также вопреки первоначальному решению оставить полость открытой канал заполнили лекарством  и заделали времянкой. На мой взгляд это была бесполезная процедура, убили здоровый зуб.  Когда отошла анестезия, к старой пульсирущей разрывающей боли добавилась новая от этого "пролеченного" зуба, до которого теперь больно даже просто дотрагиваться, и не дай бог стукнуть при жевании, боль отдает в нижний челюстной нерв, как кажется.

Также этот врач, что лечил зуб, еще обратил внимание на отечную и воспаленную связку в месте между щекой и десной. И мне из-за этого рот невозможно скривить вправо вниз, там твердо все и больно. 

Мой имплантолог отказывается признавать, что боль вызвана имплантом, просто советует пропить дексаметазон курсом неделю. Я не знаю, что делать. Настаивать на удалении? И поможет ли теперь это? Я не могу больше терпеть эту адскую боль. Посоветуйте, пожалуйста!!!

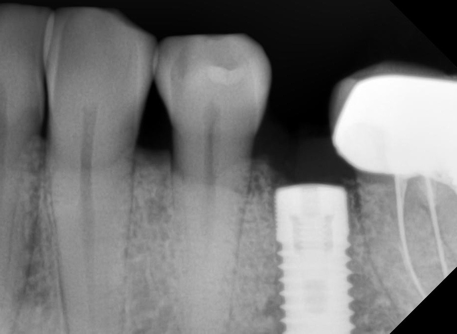
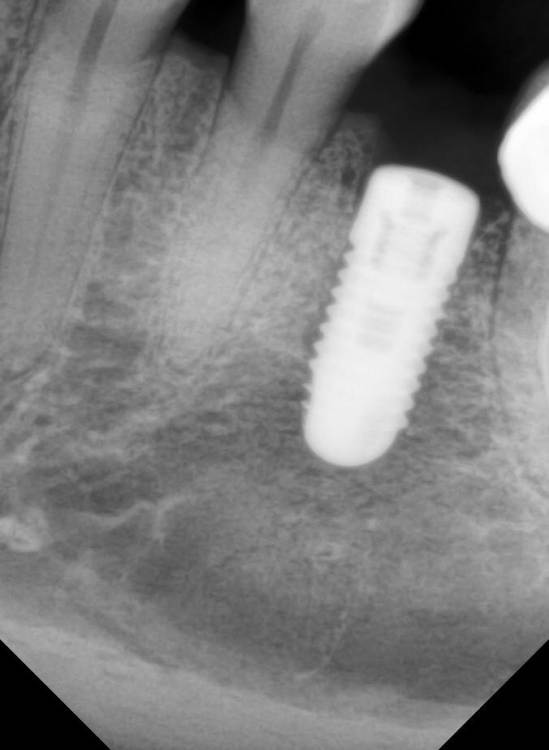
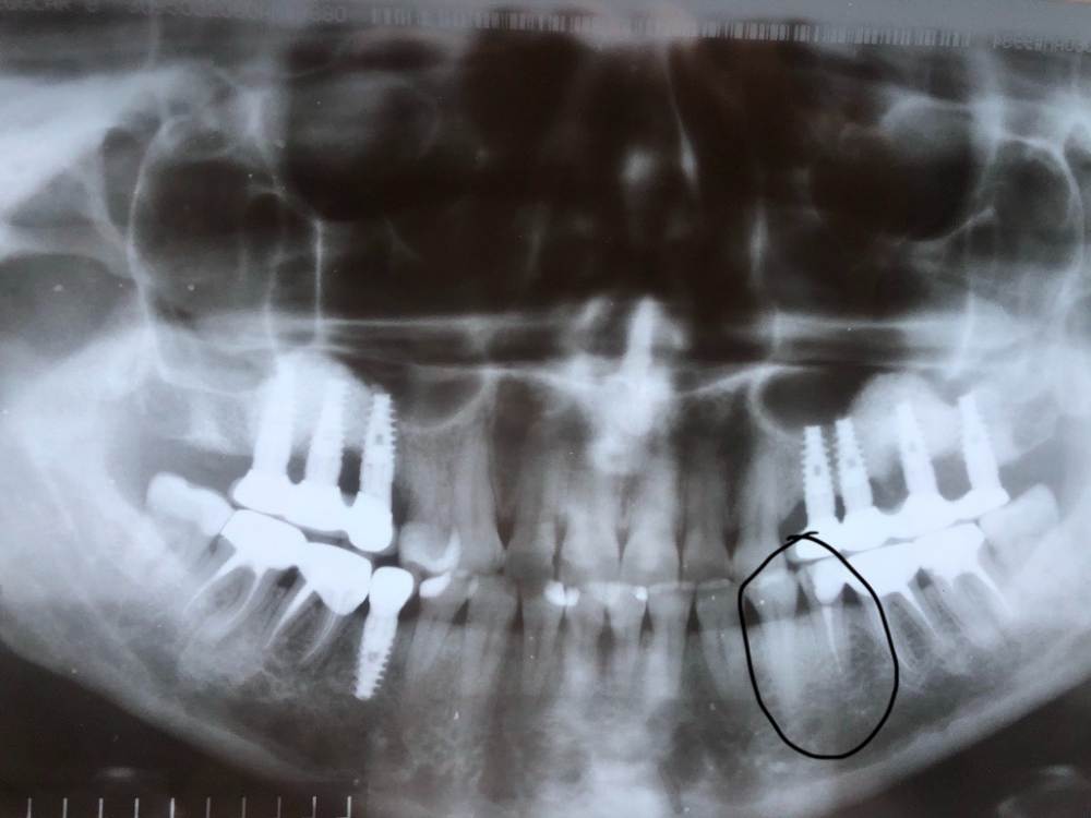
Панорама до удаления и установки импланта. Прицельные сделали вчера до депульпирования 34. 

 

И еще вопрос по модели импланта, мне сказали, что немецкий. Можно как-то определить по снимку?

C8E3E456-AB83-4B2F-975D-BE3A7789F648_1_105_c.thumb.jpeg.9bcf16b2519361de1dc38d0fde99d908.jpegB6994BE2-FC9F-4778-8F05-1BA16A6E1E42_1_201_a.jpeg.88b6954f0f53371200d2aa4561ab5e7a.jpeg980F8392-58C3-468C-99DD-5D6A7E6A7EED_1_201_a.thumb.jpeg.e2d977877e78e53b10ac729974d11bfb.jpegB8FB6373-CE3E-4302-BB3C-75C2988C0B74_1_201_a.jpeg.fdd8e6035593ecc4b6d0155e31a8bf7f.jpeg

Изменено пользователем Vendi
Ссылка на комментарий

Зуб 3.5, а не 4.6, понять по снимку немецкий или нет сложно (желательно знать конкретную марку), по снимкам ничего криминального нет, но если причина болей в импланте то снимки ещё недели две ничего и не покажут.

я бы удалял без раздумий т.к. эта железка не стоит того, чтобы терпеть из-за неё столько мучений

Ссылка на комментарий
16 минут назад, Irouil сказал:

Зуб 3.5, а не 4.6, понять по снимку немецкий или нет сложно (желательно знать конкретную марку), по снимкам ничего криминального нет, но если причина болей в импланте то снимки ещё недели две ничего и не покажут.

я бы удалял без раздумий т.к. эта железка не стоит того, чтобы терпеть из-за неё столько мучений

Спасибо за быстрый ответ! Исправила в теме номера зубов. А что-нибудь можете сказать про 34 зуб по снимкам? Есть ли там пародонтоз, как мне сказали, и что это из-за него возникли боли. Что когда установили имлантат, то организм включил иммунные процессы и в этом зубе активизировались боли из-за пародонтита( которого никогда не ощущала раньше)

Ссылка на комментарий

Решение о депульпировании принимается скорее на основании клинического осмотра, снимки тут имеют вспомогательное значение 

 

судя по предоставленным снимкам явных причин депульпировать 3.4 зуб я не вижу 

Ссылка на комментарий
12 минут назад, Irouil сказал:

Решение о депульпировании принимается скорее на основании клинического осмотра, снимки тут имеют вспомогательное значение 

 

судя по предоставленным снимкам явных причин депульпировать 3.4 зуб я не вижу 

Понятно..  Ну сделали наобум значит?

Ссылка на комментарий

Для публикации сообщений создайте учётную запись или авторизуйтесь

Вы должны быть пользователем, чтобы оставить комментарий

Создать аккаунт

Зарегистрируйте новый аккаунт в нашем сообществе. Это очень просто!

Регистрация нового пользователя

Войти

Уже есть аккаунт? Войти в систему.

Войти
×
×
  • Создать...
Вверх