Перейти к содержанию
Стоматология для всех

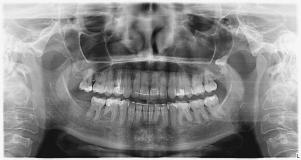
Почему стоматологи Петербурга (и по России) всегда обязуют делать панорамный снимок, но при лечении кариеса он абсолютно не информативный?


Jule Hune

Рекомендуемые сообщения

Добрый день!

Вопрос к специалистам.

Зачем делать каждый раз панорамный снимок, но когда нужно лечить кариес и важно как раз иметь рентгеновские снимки, чтобы увидеть, что происходит под пломбами, на панорамных снимках ничего не видно толком, врач по ним ничего относительно кариеса под старыми пломбами судить не может.

1. Посмотрите, пожалуйста, мой свежий панорамный снимок! Пожалуйста, подскажите, какие на какие области следует обратить внимание и какие требуют лечения в первую очередь.

2. Прикладываю прицельный снимок.

Можно ли по нему оценить ситуацию с кариозными областями? Или качество этого снимка оставляет желать лучшего?

Если качество прицельного снимка не очень, то тогда объясните мне, пожалуйста, для чего их делают вообще при лечении кариеса.

Американские и канадские врачи делают прицельные снимки и именно по ним приходят к окончательному выводу, где локализуется скрытый кариес (например как раз под старыми пломбами), почему у нас не так?

3. Прикрепляю КТ той же области (сделан print screen).

Врач недавно (неделю назад) лечила 7ку сверху, область обведена зеленым, но не видела и не затронула область под старой пломбой на 6ке - только на КТ видна эта область под старой пломбой.

На следующий прием стоматолог приглашала уже лечить другие зубу и 6ка была оставлена без всякого внимания! Если бы не сделанное КТ совсем по другому случаю.

 

как так? Зачем вообще тогда эти все панорамные снимки, которые запрашивает любая теперь средней и высшей категории стоматология в г. Санкт-Петербург, а по факту лечат зубы "вслепую"?

БЕЛЯВСКАЯ^ЕКАТЕРИНА_ДМИТРИЕВНА_000.JPG

Прицельный снимок.jpg

Белявская ЕД_М2.jpg

b66280e2-88b2-4395-b88f-69a66f7f67df.JPG

Ссылка на комментарий

Для публикации сообщений создайте учётную запись или авторизуйтесь

Вы должны быть пользователем, чтобы оставить комментарий

Создать аккаунт

Зарегистрируйте новый аккаунт в нашем сообществе. Это очень просто!

Регистрация нового пользователя

Войти

Уже есть аккаунт? Войти в систему.

Войти
×
×
  • Создать...
Вверх