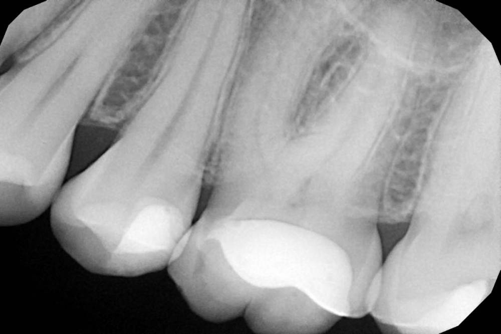
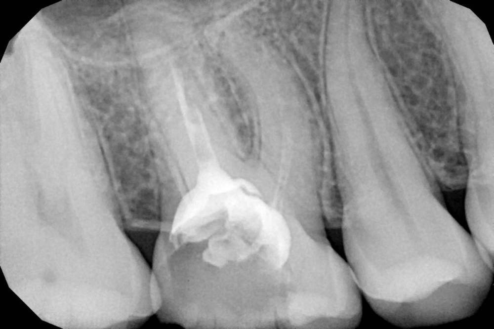
Женька Опубликовано 23 июня, 2021 Поделиться Опубликовано 23 июня, 2021 Коллеги, приветствую. Пришла пациентка с направлением на удаление 1.6-2.6 по ортодонтическим показаниям. Расспросив узнал, что принял решение такое ортодонт, тк премоляры интактны, а вот 1.6 эндодонтически пролечен. 2.6 с пломбой. Вопрос, оправдан ли такой подход? Есть лишь реконструкция КТ. Зубы я конечно не удалил, тк о таком подходе слышу впервые. Связавшись с ортодонтом узнал, что нестандартное удаление... Что думаете? p/s мудрые почему-то пока не удаляем... Ссылка на комментарий
red_butler Опубликовано 24 июня, 2021 Поделиться Опубликовано 24 июня, 2021 11 часов назад, Женька сказал: Вопрос, оправдан ли такой подход? да Ссылка на комментарий
Женька Опубликовано 24 июня, 2021 Автор Поделиться Опубликовано 24 июня, 2021 Поговорил с коллегой-ортодонтом из Перми. Сказала, что случаи удаления 6 это один на миллион?♂️ Ортовинтов в этом случае не будет, сроки лечения без дополнительных опор будут большие, верно? 1 час назад, red_butler сказал: да 1 Ссылка на комментарий
annda Опубликовано 1 июля, 2021 Поделиться Опубликовано 1 июля, 2021 Слышала об удалении 7к, но не 6х. Ссылка на комментарий
Женька Опубликовано 1 июля, 2021 Автор Поделиться Опубликовано 1 июля, 2021 Коллега мне сказала, что мезиализировать 7 до контакта будет практически нереально, а без доп опор сроки лечения растянутся лет так на 5... Но это норма в нашем захолустье... все ходят по 3-5 лет (я не ортодонт, это может норма, я не знаю?) Ссылка на комментарий
Рекомендуемые сообщения
Для публикации сообщений создайте учётную запись или авторизуйтесь
Вы должны быть пользователем, чтобы оставить комментарий
Создать аккаунт
Зарегистрируйте новый аккаунт в нашем сообществе. Это очень просто!
Регистрация нового пользователяВойти
Уже есть аккаунт? Войти в систему.
Войти