ivan_serg Опубликовано 18 июня, 2021 Поделиться Опубликовано 18 июня, 2021 Здравствуйте! Мне удалили зуб и поставили имплант, с соседнего зуба сняли старую коронку и обточили по новую. Сделали две мк коронки (на зуб и имплант) но они не подходят мне по цвету. Коронка на имплант не устраивает меня по прикусу... я ее не чувствую, ощущение пустоты, зуб не стучит об соседний, копирка не показывает четких пунктов, ощущаю прикус на соседних зубах. Врач говорит все в порядке, со временем ощущения пройдут, говорит что потом можно будет поправить, предлагает нанести пломбу на зуб который в контакте с коронкой и т.д. Говорит, что корректировать больше нельзя т.к. будет хуже, керамику нельзя запекать несколько раз... Я отказался фиксировать эти коронки, т.к. они меня не устраивают и врач предложил мне вернуть предоплату и прекратить лечение, сказал чтобы я думал что делать дальше и отпустил меня не записывая на следующий прием. Сейчас я хожу с заглушкой на импланте и обточенным зубом без временной коронки т.к. у врача не было времени ее изготавливать. Подскажите пожалуйста, что мне делать в такой ситуации. Вся работа проводилась в одной клинике одним специалистом. Спасибо. Ссылка на комментарий
It'sGeorgy Опубликовано 18 июня, 2021 Поделиться Опубликовано 18 июня, 2021 Добрый день. 1 час назад, ivan_serg сказал: Подскажите пожалуйста, что мне делать в такой ситуации. Обратиться к главному врачу той клиники, в которой вы проходите лечение, и совместно найти решение ситуации. Ссылка на комментарий
dentikl Опубликовано 18 июня, 2021 Поделиться Опубликовано 18 июня, 2021 2 часа назад, ivan_serg сказал: Здравствуйте! ...они не подходят мне по цвету. ну,не знаю,насколько принципиален цвет коронок 6 и 7 нижних зубов,учитывая,что заказана металлокерамика.У меня ,например,коронки на нижние импланты в области моляров всегда белее из за необходимости корректного изготовления металлического каркаса. Ссылка на комментарий
ivan_serg Опубликовано 18 июня, 2021 Автор Поделиться Опубликовано 18 июня, 2021 3 часа назад, It'sGeorgy сказал: Добрый день. Обратиться к главному врачу той клиники, в которой вы проходите лечение, и совместно найти решение ситуации. Мой врач и есть главный врач и он же владелец клиники... Ссылка на комментарий
It'sGeorgy Опубликовано 18 июня, 2021 Поделиться Опубликовано 18 июня, 2021 Тогда ситуация сложнее. 5 часов назад, ivan_serg сказал: Коронка на имплант не устраивает меня по прикусу... я ее не чувствую, ощущение пустоты, зуб не стучит об соседний, копирка не показывает четких пунктов, ощущаю прикус на соседних зубах. Сложность в том, что мы знаем ситуацию только с вашей стороны. Возможен вариант, что ваше чувство, действительно, субъективно: имплантат имеет гораздо меньшую подвижность при жевании, чем свой зуб. В связи с этим, он может чувствоваться при жевании иначе. Но если объективно коронка на имплантате не кусает с верхним антагонистом - ее надо переделывать. Копирку мы через форум, к сожалению, не видим. В любом случае, закончить лечение в клинике, где ставили имплантат - гораздо лучше, чем уходить на протезирование в другую клинику. Ибо, при возникновении гарантийной ситуации, вас могут отправить из клиники, где ставили имплантат, в клинику, где вы ставили коронку и наоборот. Плюс важно понимать, что любому имплантату необходимы осмотры, совмещенные с проф. гигиеной, раз в пол года и где вы будете это делать - тоже вопрос. 1 2 Ссылка на комментарий
dentikl Опубликовано 18 июня, 2021 Поделиться Опубликовано 18 июня, 2021 25 минут назад, ivan_serg сказал: Мой врач и есть главный врач и он же владелец клиники... фото верхних зубов сможете сделать7 1 Ссылка на комментарий
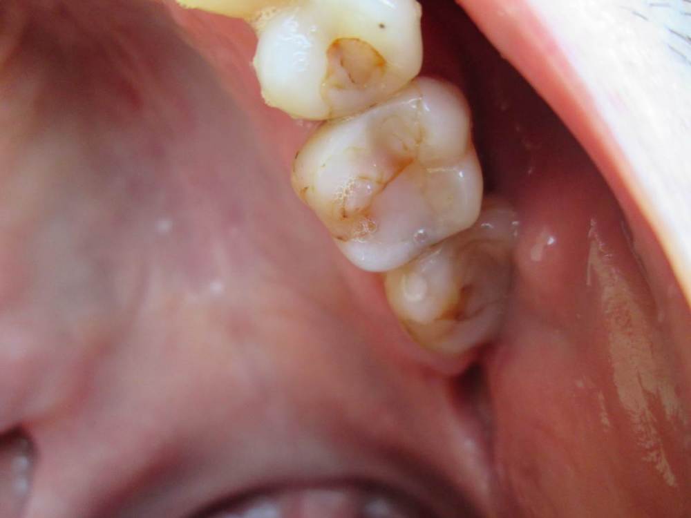
ivan_serg Опубликовано 19 июня, 2021 Автор Поделиться Опубликовано 19 июня, 2021 17 часов назад, dentikl сказал: фото верхних зубов сможете сделать7 Вот фото... на нижних зубах раньше стояли коронки и было все отлично с прикусом, а теперь новые не подходят... Ссылка на комментарий
dentikl Опубликовано 19 июня, 2021 Поделиться Опубликовано 19 июня, 2021 закончить где начали-самый правильный выбор Ссылка на комментарий
ivan_serg Опубликовано 19 июня, 2021 Автор Поделиться Опубликовано 19 июня, 2021 17 часов назад, It'sGeorgy сказал: В любом случае, закончить лечение в клинике, где ставили имплантат - гораздо лучше, чем уходить на протезирование в другую клинику. Ибо, при возникновении гарантийной ситуации, вас могут отправить из клиники, где ставили имплантат, в клинику, где вы ставили коронку и наоборот. Плюс важно понимать, что любому имплантату необходимы осмотры, совмещенные с проф. гигиеной, раз в пол года и где вы будете это делать - тоже вопрос. Я это сказал врачу, он со мной согласился. Но предложения с его стороны или ставьте как есть или забирайте деньги. Меня это как то расстроило и удивило, разве это подход к работе... Еще он говорит что это в любое время поправимо, если что "нальем" пломбу на верхний зуб. Говорит что он хочет как лучше, ведь коронки нельзя корректировать и запекать несколько раз, это скажется на качестве изделий и мне от этого будет хуже. Ссылка на комментарий
It'sGeorgy Опубликовано 19 июня, 2021 Поделиться Опубликовано 19 июня, 2021 (изменено) Ваш врач не отрицает, что коронка не в прикусе, я правильно понял? Если не отрицает и предлагает зафиксировать коронку, которая не кусает с верхним зубом - это плохая идея. Лепить залепухи из композита на верхнем зубе, что ввести его в контакт с нижним - так же плохая идея. Если отрицает - мы не сможем вам помочь без очного осмотра. 22 минуты назад, ivan_serg сказал: ведь коронки нельзя корректировать и запекать несколько раз, это скажется на качестве изделий и мне от этого будет хуже. вас, как пациента в этой ситуации, не должны волновать технические этапы изготовления коронок. Коронку можно в любой момент переделать с нуля, а не корректировать, запекать и пр. Вы пришли за зубом, а не чтобы думать о повторным запекании коронок. Изменено 19 июня, 2021 пользователем It'sGeorgy 2 Ссылка на комментарий
ivan_serg Опубликовано 19 июня, 2021 Автор Поделиться Опубликовано 19 июня, 2021 47 минут назад, It'sGeorgy сказал: Ваш врач не отрицает, что коронка не в прикусе, я правильно понял? Я и сам его не понимаю... я чувствую что он просто хочет сдать мне эти коронки под любым предлогом или чтоб я забрал деньги и ушел, вроде как я так решил добровольно и к клинике претензий нет. Думаю, я обращусь в клинику с просьбой довести работу до конца. Если скажут нет, то попрошу написать претензию с требованием переделать изделия и завершить работу, а мне пусть дадут письменный отказ. Потом буду думать что делать дальше, но в любом случае, я думаю, надо как то верно оформить эту ситуацию, ведь я не знаю что будет с моими зубами дальше. Вроде как клиника должна хоть какую то ответственность нести в данном случае. Как вы думаете, это будет верный шаг с моей стороны, на данном этапе? Ссылка на комментарий
It'sGeorgy Опубликовано 19 июня, 2021 Поделиться Опубликовано 19 июня, 2021 Так спросите напрямую: "Доктор, а у меня коронка с зубом смыкается?" Да либо Нет. Повторюсь, все зависит от этого. Вы можете смыкание зубы и имплантата чувствовать иначе, чем двух своих зубов. Возможно, вы просите переделать нормальную коронку. Ссылка на комментарий
dentikl Опубликовано 19 июня, 2021 Поделиться Опубликовано 19 июня, 2021 (изменено) 2 часа назад, ivan_serg сказал: с просьбой довести работу до конца. До какого конца?Вы будете просить переделывать эти коронки до тех пор пока они не будут по ощущения как те предыдущие,на своих зубах?Пока металлокерамика не будет идентична соседнему зубу с огромной пломбой и пока техник не нарисует на ней налет? Или пока имплант,у которого отсутствует проприорецепторный аппарат не станет чувствовать ?Вы хотите гиперконтакт на импланте?Чтобы коронка или побыстрее скололась или раскрутилась? Изменено 19 июня, 2021 пользователем dentikl Ссылка на комментарий
ivan_serg Опубликовано 19 июня, 2021 Автор Поделиться Опубликовано 19 июня, 2021 3 часа назад, It'sGeorgy сказал: Так спросите напрямую: "Доктор, а у меня коронка с зубом смыкается?" Да либо Нет. Повторюсь, все зависит от этого. Вы можете смыкание зубы и имплантата чувствовать иначе, чем двух своих зубов. Возможно, вы просите переделать нормальную коронку. Доктор говорит что все хорошо смыкается, но при этом предлагает все то что я ранее написал... Разве доктор скажет "у вас зубы не смыкаются", в этом и проблема что разногласия возникли и я не согласен с мнением врача. Мне кажется должен быть плотный распределенный контакт, что бы зуб жевал. Мы эту коронку даже не корректировали по прикусу, прикрутили и все... что не было зуба что есть, после длительного отсутствия зуба должно же что то ощущается. Разве коронка на имплант не должна стучать об антагонист? 7ка стучит, а 6ка нет. Еще я просил врача снять слепок с прикуса и посмотреть на оттиск, но он отказался это делать... Ссылка на комментарий
ivan_serg Опубликовано 19 июня, 2021 Автор Поделиться Опубликовано 19 июня, 2021 2 часа назад, dentikl сказал: До какого конца?Вы будете просить переделывать эти коронки до тех пор пока они не будут по ощущения как те предыдущие,на своих зубах?Пока металлокерамика не будет идентична соседнему зубу с огромной пломбой и пока техник не нарисует на ней налет? Или пока имплант,у которого отсутствует проприорецепторный аппарат не станет чувствовать ?Вы хотите гиперконтакт на импланте?Чтобы коронка или побыстрее скололась или раскрутилась? Что вы посоветуете, как мне поступить? Ссылка на комментарий
It'sGeorgy Опубликовано 19 июня, 2021 Поделиться Опубликовано 19 июня, 2021 37 минут назад, ivan_serg сказал: Доктор говорит что все хорошо смыкается, но при этом предлагает все то что я ранее написал... Разве доктор скажет "у вас зубы не смыкаются", в этом и проблема что разногласия возникли и я не согласен с мнением врача. Мне кажется должен быть плотный распределенный контакт, что бы зуб жевал. Мы эту коронку даже не корректировали по прикусу, прикрутили и все... что не было зуба что есть, после длительного отсутствия зуба должно же что то ощущается. Разве коронка на имплант не должна стучать об антагонист? 7ка стучит, а 6ка нет. Еще я просил врача снять слепок с прикуса и посмотреть на оттиск, но он отказался это делать... Сходите на консультацию в другую клинику и попросите, чтобы ортопед проверил вам контакт. Ссылка на комментарий
chervoncevdaniil Опубликовано 20 июня, 2021 Поделиться Опубликовано 20 июня, 2021 7 часов назад, It'sGeorgy сказал: Сходите на консультацию в другую клинику и попросите, чтобы ортопед проверил вам контакт. ТОлько одно но:это возможно сделать,если коронка уже во рту 2 Ссылка на комментарий
It'sGeorgy Опубликовано 20 июня, 2021 Поделиться Опубликовано 20 июня, 2021 13 минут назад, chervoncevdaniil сказал: ТОлько одно но:это возможно сделать,если коронка уже во рту ???не подумал чего-то Ссылка на комментарий
dentikl Опубликовано 20 июня, 2021 Поделиться Опубликовано 20 июня, 2021 8 часов назад, It'sGeorgy сказал: Сходите на консультацию в другую клинику и попросите, чтобы ортопед проверил вам контакт. Вы бы проверили? Ссылка на комментарий
It'sGeorgy Опубликовано 20 июня, 2021 Поделиться Опубликовано 20 июня, 2021 29 минут назад, dentikl сказал: Вы бы проверили? Ну как выше отметил Даниил, проверять там нечего, ибо коронки не зафиксированы. Но если вы имеете ввиду в целом подобную ситуацию - да. 1 Ссылка на комментарий
ivan_serg Опубликовано 20 июня, 2021 Автор Поделиться Опубликовано 20 июня, 2021 Еще один момент меня смутил, коронка на 7ку болтается на зубе, не плотно садится, а как то шатается во все стороны. Врач сказал это ОК, там будет цемент... Изначально эта коронка не встала на зуб как следует и врач сразу отправил ее на коррекцию. Подкорректировали, говорит норм, но она болтается... Это нормально? Ссылка на комментарий
dentikl Опубликовано 20 июня, 2021 Поделиться Опубликовано 20 июня, 2021 посмотрел я все ваши посты,Иван Сергеевич и получается следующая хронология-сначала пост-имплант стоит криво...-ответ форумчан -по фото имплант стоит нормально...далее пост -коронка на примерке болтается-ответ -ничего страшного,затем пост -коронку можно ли допечь и т.д. Нельзя высказывать такую подозрительность к специалисту,не продуктивно это.По поводу предыдущей коронки ,которая была удобна по прикусу-это вы о штампованной ,которая на фото? PS этот пост адресован не только к вам но и к коллегам,которые искренне желают помочь Ссылка на комментарий
ivan_serg Опубликовано 20 июня, 2021 Автор Поделиться Опубликовано 20 июня, 2021 3 часа назад, dentikl сказал: посмотрел я все ваши посты,Иван Сергеевич и получается следующая хронология-сначала пост-имплант стоит криво...-ответ форумчан -по фото имплант стоит нормально...далее пост -коронка на примерке болтается-ответ -ничего страшного,затем пост -коронку можно ли допечь и т.д. Нельзя высказывать такую подозрительность к специалисту,не продуктивно это.По поводу предыдущей коронки ,которая была удобна по прикусу-это вы о штампованной ,которая на фото? PS этот пост адресован не только к вам но и к коллегам,которые искренне желают помочь Не совсем понял в чем контекст вашего поста, но в любом случае спасибо за ответ. Коронки стояли цельнолитые... Ссылка на комментарий
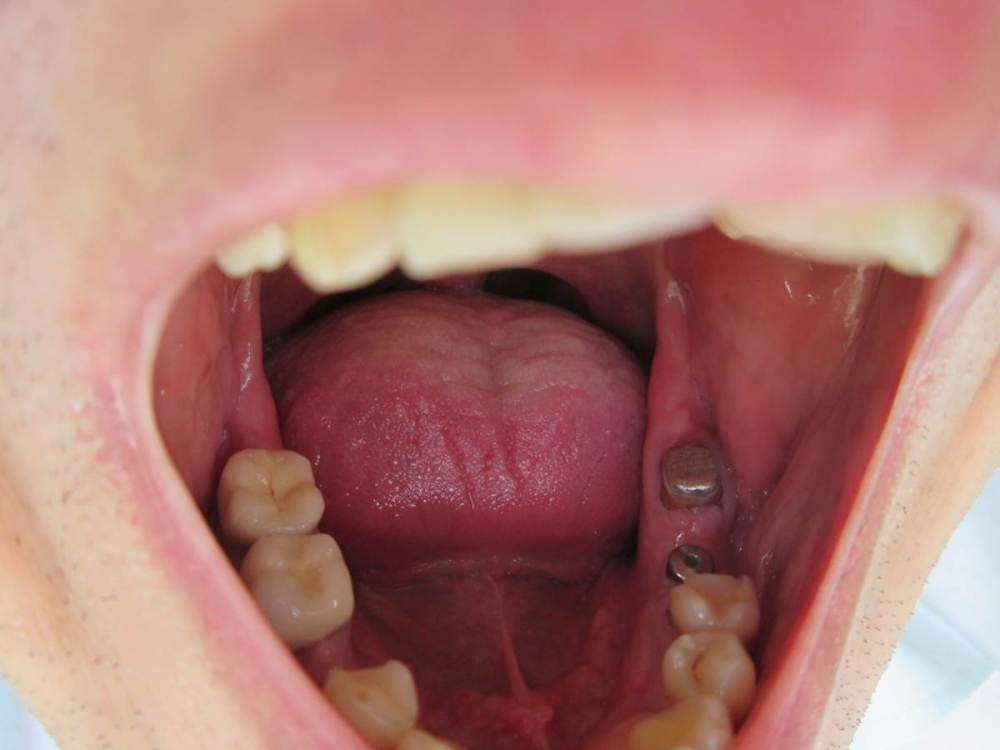
annda Опубликовано 21 июня, 2021 Поделиться Опубликовано 21 июня, 2021 На зубах верхней челюсти пломбы надо менять, с целью придать им нормальную анатомию для функции жевания. Даже на форто видно, что пломбы сильно стерты и по краю уже пошло прокрашивание. Если нет доверия к врачу, деньги забрать и идти в другую клинику.Работать вы никого не научите.И мы не научим. Ищите , где вам сделают нормальную работу. Тогда и зуб , и имплантат будут стоять долго.Не стоит искать подешевле и побыстрее, это путь в никуда. Смысла доводить эту работу до цветового идеала фронтальных зубов тоже не стоит, не тот сегмент. Но прикус на имплантате и прилегание на коронке на зубе должны быть адекватными. 1 Ссылка на комментарий
ivan_serg Опубликовано 21 июня, 2021 Автор Поделиться Опубликовано 21 июня, 2021 1 час назад, annda сказал: На зубах верхней челюсти пломбы надо менять, с целью придать им нормальную анатомию для функции жевания. Даже на форто видно, что пломбы сильно стерты и по краю уже пошло прокрашивание. Если нет доверия к врачу, деньги забрать и идти в другую клинику.Работать вы никого не научите.И мы не научим. Ищите , где вам сделают нормальную работу. Тогда и зуб , и имплантат будут стоять долго.Не стоит искать подешевле и побыстрее, это путь в никуда. Смысла доводить эту работу до цветового идеала фронтальных зубов тоже не стоит, не тот сегмент. Но прикус на имплантате и прилегание на коронке на зубе должны быть адекватными. Спасибо за развернутый ответ. К своему врачу мне даже обращаться больше не хочется, но возьмется ли другой врач доделывать уже начатую работу и как это скажется на гарантии. Мне тут советуют продолжать работу где начал. У меня такое ощущение что если уйду то вообще без зубов останусь, а если продолжу то только через письменные претензии и по любому сделают плохо. Ситуация крайняя ? Ссылка на комментарий
Рекомендуемые сообщения
Для публикации сообщений создайте учётную запись или авторизуйтесь
Вы должны быть пользователем, чтобы оставить комментарий
Создать аккаунт
Зарегистрируйте новый аккаунт в нашем сообществе. Это очень просто!
Регистрация нового пользователяВойти
Уже есть аккаунт? Войти в систему.
Войти