Перейти к содержанию
Стоматология для всех

Что на рентгене?


linockaster

Рекомендуемые сообщения

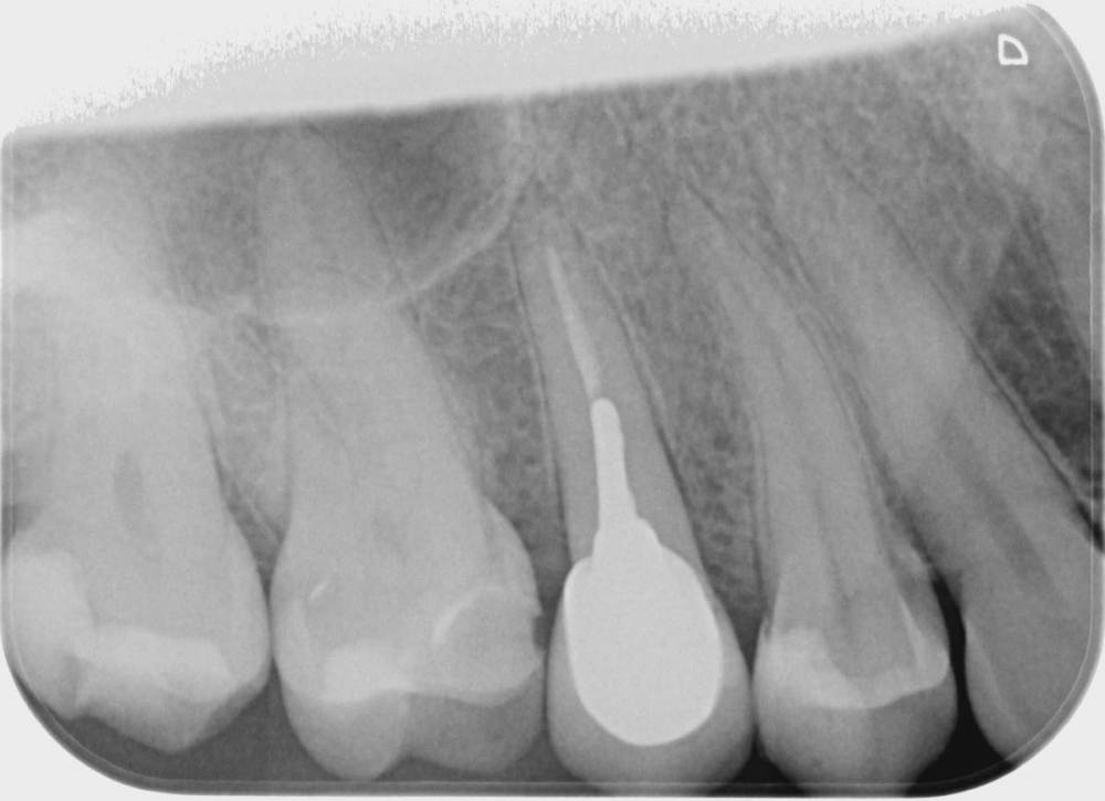
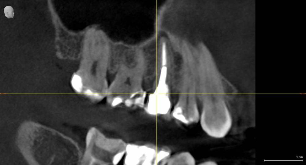
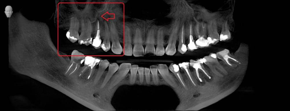
Три месяца назад стала болеть десна верхнего зуба возле коронки (пятый), только с внутренней стороны , но при этом все время языком хотелось трогать соседний зуб( 4). Врач ничего не увидела, сказала полоскать. На давление, холод, постукивания зуб с коронкой и соседние не реагировали. Через какое то время возникло ощущение что 4 верний зуб как будто вырос и немного подвижет, на что врач ответил что я выдумываю, предложил поменять пломбы на соседних зубах, но лучше не стало. Сделала КТ, опять ничего не видят. Ко всему этому добавилась головная боль и усталость. на десне, с внутренней стороны, выше к нёбу между 6 и 7 зубами  выскочила шишка,если сильно нажать то болит, а так нет, выделений нет.  сделали рентген, опять мне говорят, что все ок. На мой вопрос , что это за круги на рентгене, ничего не ответили, к сожалению забыла взять последнюю фото, но на первом прицельном фото этот круг уже виден, на новом больше кругов и они распространились дальше на 6, 7   зубы. На панорамме видно как новооброзование. Погите понять что это?

Прицельное фото в марте  делала, КТ в мае. А новое фото забыла взять.

Iljaseviciene_Lina_Leuchtkasten(1)_Intraoral_20210226_121907.jpg

Panorama.jpg

Iljaseviciene_Lina_3D-обследование(1)_VO1_20210507_090920_Трансверсальная проекция.jpg

Iljaseviciene_Lina_3D examination(3)_VO1_20210507_090920_Longitudinal.jpg

Ссылка на комментарий

Для публикации сообщений создайте учётную запись или авторизуйтесь

Вы должны быть пользователем, чтобы оставить комментарий

Создать аккаунт

Зарегистрируйте новый аккаунт в нашем сообществе. Это очень просто!

Регистрация нового пользователя

Войти

Уже есть аккаунт? Войти в систему.

Войти
×
×
  • Создать...
Вверх