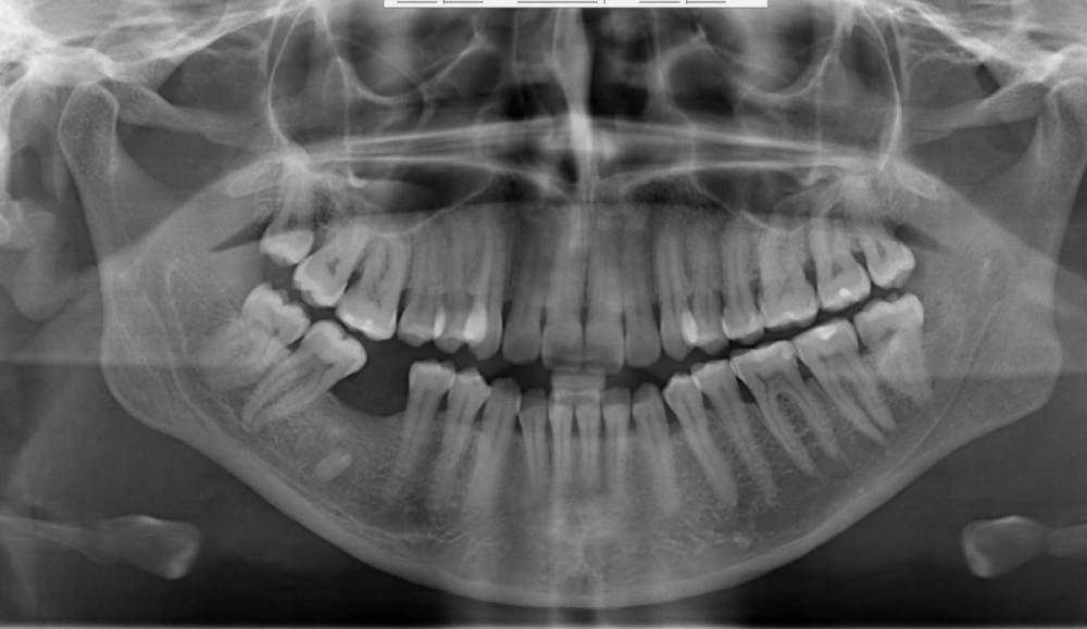
indie Опубликовано 14 июня, 2021 Поделиться Опубликовано 14 июня, 2021 Пациентка 35 лет, жалобы на боли в шеи, горло, ухо, болевые точки за ухом, челюстях, слева, которые появились около месяца назад. Умеренные, не имеют причинного фактора, возникающие в разное время суток. Говорит, что не обращала бы внимания на них, но волнуется нет ли чего-то опасного. Стоматолога порекомендовал врач что бы исключить зубную причину. Холодовые тесты все - зубы витальные. Перкуссия без боли. Только на панораме смутило затемнение канала нижнеальвеолярного нерва слева. Это проблема или артефакт или проекционное какое-то наложение ? Нужно КТ? Ссылка на комментарий
kramer Опубликовано 14 июня, 2021 Поделиться Опубликовано 14 июня, 2021 Исключить на всякий случай синдром Игла (Eagle's syndrome) Ссылка на комментарий
wladdX Опубликовано 14 июня, 2021 Поделиться Опубликовано 14 июня, 2021 Думаю, что никакого затемнения в нижнечелюстном канале нет. Неудачно сделанный снимок: венечных отростков "нет". Ссылка на комментарий
Рекомендуемые сообщения
Для публикации сообщений создайте учётную запись или авторизуйтесь
Вы должны быть пользователем, чтобы оставить комментарий
Создать аккаунт
Зарегистрируйте новый аккаунт в нашем сообществе. Это очень просто!
Регистрация нового пользователяВойти
Уже есть аккаунт? Войти в систему.
Войти