Перейти к содержанию
Стоматология для всех

Пузырек во рту


Ekaterina19

Рекомендуемые сообщения

Всем здравствуйте!

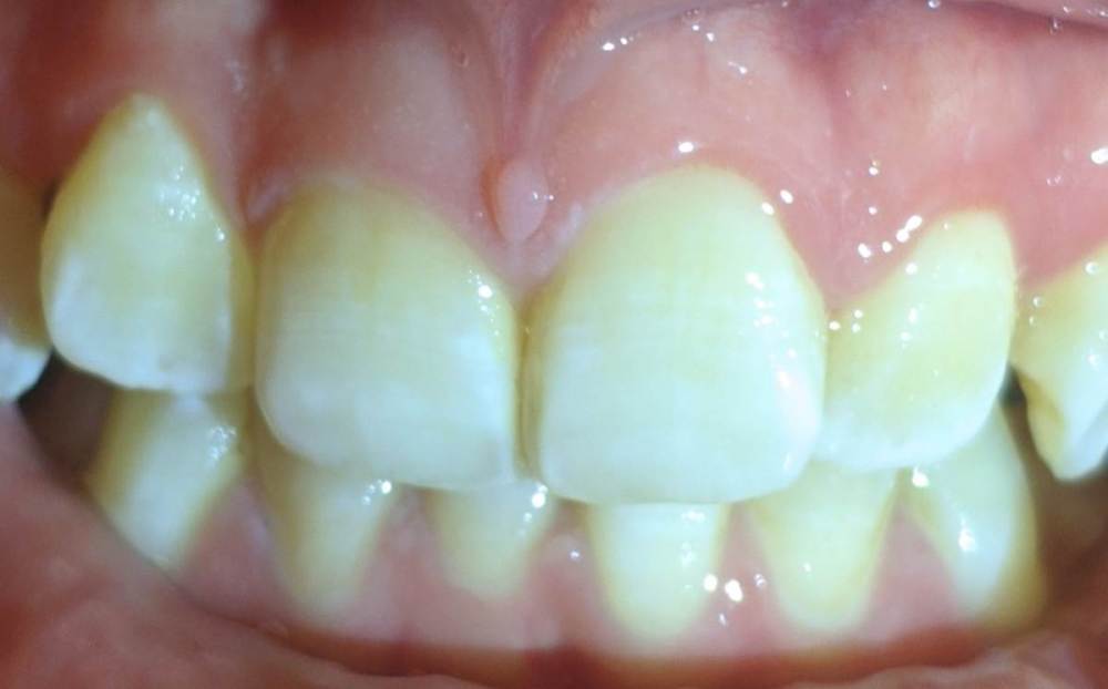
Появился небольшой пузырек под уздечкой губы год назад. Сначала был маленький, потом начал расти. Вскоре появился еще один пузырек на десне за 47 зубом (48 не прорезался). Фотографию центрального пузырька прилагаю.

Также заметила появление небольшого пузырька и на нижней десне по центру (на фото его тоже видно)

Ходила к 3-м стоматологам, никто не может понять в чем причина и что это такое.IMG_20210613_015658.thumb.jpg.8d8a83f63a1fdadd0051717352712206.jpg

Изменено пользователем Ekaterina19
Корректировка нумерации зубов
Ссылка на комментарий

Для публикации сообщений создайте учётную запись или авторизуйтесь

Вы должны быть пользователем, чтобы оставить комментарий

Создать аккаунт

Зарегистрируйте новый аккаунт в нашем сообществе. Это очень просто!

Регистрация нового пользователя

Войти

Уже есть аккаунт? Войти в систему.

Войти
×
×
  • Создать...
Вверх