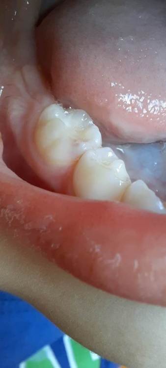
ОльгаЮрьевна Опубликовано 10 июня, 2021 Поделиться Опубликовано 10 июня, 2021 Здравствуйте. Подскажите что это за пятно сероватое на пятом коренном? Появилось быстро. Не болит, жевать не больно. Ссылка на комментарий
red_butler Опубликовано 11 июня, 2021 Поделиться Опубликовано 11 июня, 2021 это кариес Ссылка на комментарий
ОльгаЮрьевна Опубликовано 11 июня, 2021 Автор Поделиться Опубликовано 11 июня, 2021 Спасибо за ответ. Ссылка на комментарий
сирена Опубликовано 11 июня, 2021 Поделиться Опубликовано 11 июня, 2021 Скрытый кариес на контактной поверхности,скорее всего.Надо снимок сделать. Ссылка на комментарий
Рекомендуемые сообщения
Для публикации сообщений создайте учётную запись или авторизуйтесь
Вы должны быть пользователем, чтобы оставить комментарий
Создать аккаунт
Зарегистрируйте новый аккаунт в нашем сообществе. Это очень просто!
Регистрация нового пользователяВойти
Уже есть аккаунт? Войти в систему.
Войти