Перейти к содержанию
Стоматология для всех

Неисчерпаемая тема про... сосочки


Карен  Аванесов

Рекомендуемые сообщения

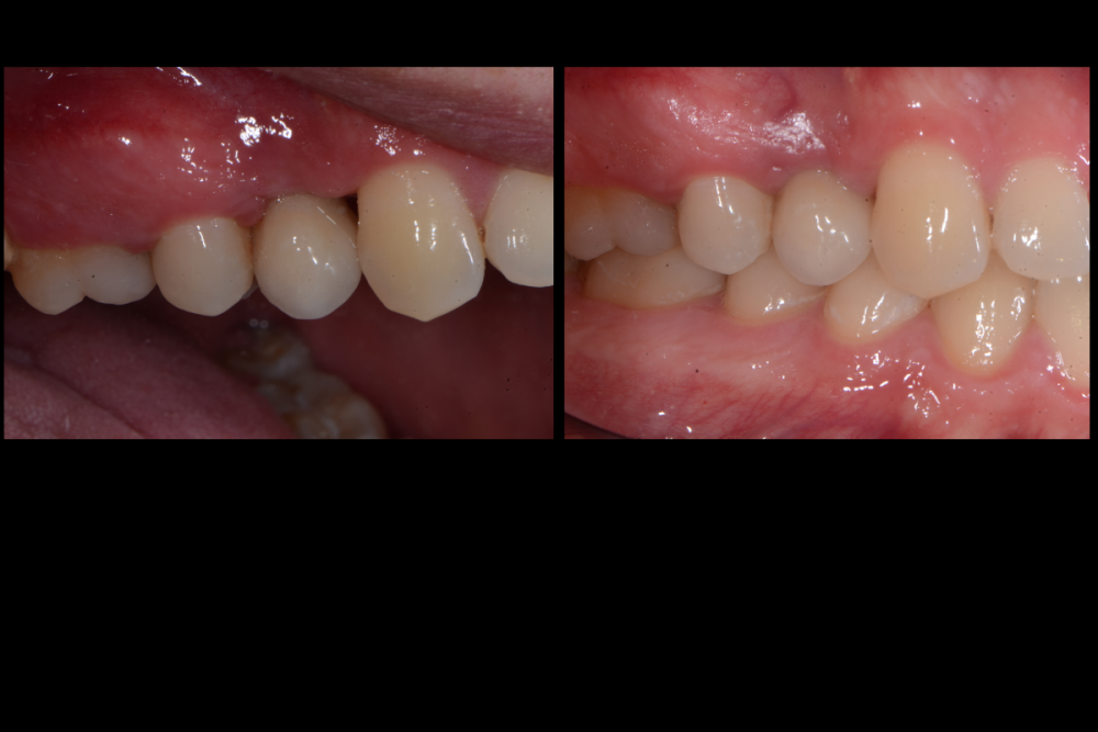
  Иногда, надо просто подождать. По кейсу, одномоментная имплантация, без каких либо усложнений. Зубной техник отлично справился с задачей, учитывая дистанционный формат общения. Первое фото: сразу после фиксации коронки на имплантате 2.4 зуба, второе фото, первый случайный осмотр через 3 года. Когда провожу аналогию с техосмотром машины раз в полгода (ну там колодки тормозные, ну там маслице моторное, антифриз че там еще? а! "помыться")  и необязательностью стоматологических чекапов, пациенты понимающе кивают и улыбаются, если нет проблем, зачем приходить? Действительно дурацкий вопрос))))))))))) Это я о гарантиях в медицине.

2021-06-04 (3).png

Изменено пользователем Карен Аванесов
  • Like 4
  • Поддерживаю 2
Ссылка на комментарий

Для публикации сообщений создайте учётную запись или авторизуйтесь

Вы должны быть пользователем, чтобы оставить комментарий

Создать аккаунт

Зарегистрируйте новый аккаунт в нашем сообществе. Это очень просто!

Регистрация нового пользователя

Войти

Уже есть аккаунт? Войти в систему.

Войти
×
×
  • Создать...
Вверх